Abusive head trauma
| Abusive head trauma | |
|---|---|
|
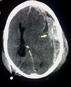
Subdural hematoma (arrow), bleeding between the dura mater of the meninges and the brain, commonly occurs in abusive head trauma | |
| Classification and external resources | |
| ICD-9-CM | 995.55 |
| MedlinePlus | 007578 |
| MeSH | D038642 |
Abusive head trauma (AHT), also known as shaken baby syndrome (SBS), is a constellation of medical findings (often referred to as a "triad"): subdural hematoma, retinal bleeding, and brain swelling which some physicians have used to infer child abuse caused by violent shaking. In a majority of cases there is no visible sign of external injury. It is a subset of the broader form of child abuse.[1] The Centers for Disease Control and Prevention identifies SBS as "an injury to the skull or intracranial contents of an infant or young child (< 5 years of age) due to inflicted blunt impact and/or violent shaking".[2]
The Crown Prosecution Service for England and Wales recommended in 2011 that the term shaken baby syndrome be avoided and the term non accidental head injury (NAHI) be used instead.[3] In 2009, the American Academy of Pediatrics recommended the use of the term abusive head trauma to replace SBS.[4]
SBS is often fatal and can cause severe brain damage, resulting in lifelong disability. Estimated death rates (mortality) among infants with SBS range from 15% to 38%; the median is 20%–25%. Up to half of deaths related to child abuse are reportedly due to shaken baby syndrome.[5] Nonfatal consequences of SBS include varying degrees of visual impairment (including blindness), motor impairment (e.g. cerebral palsy) and cognitive impairments.[6]
Signs and symptoms
Characteristic injuries associated with AHT include retinal bleeds, multiple fractures of the long bones, and subdural hematomas (bleeding in the brain).[7] These signs have evolved through the years as the accepted and recognized signs of child abuse and the shaken baby syndrome. Medical professionals strongly suspect shaking as the cause of injuries when a baby or small child presents with retinal bleed, fractures, soft tissue injuries or subdural hematoma, that cannot be explained by accidental trauma or other medical conditions.[8]
Retinal bleeds occur in around 85% of AHT cases; the type of retinal bleeds are particularly characteristic of this condition, making the finding very useful in establishing the diagnosis.[9] While there are many other causes of retinal bleeds besides AHT, there are usually additional findings (ocular and/or systemic) which make the alternative diagnoses apparent.
Fractures of the vertebrae, long bones, and ribs may also be associated with AHT.[10] Dr. John Caffey reported in 1972 that metaphyseal avulsions (small fragments of bone had been torn off where the periosteum covering the bone and the cortical bone are tightly bound together) and "bones on both the proximal and distal sides of a single joint are affected, especially at the knee".[11]
Additional effects of SBS are diffuse axonal injury, oxygen deprivation and swelling of the brain,[12] which can raise pressure inside the skull and damage delicate brain tissue. Victims of SBS may display irritability, failure to thrive, alterations in eating patterns, lethargy, vomiting, seizures, bulging or tense fontanels (the soft spots on an infant's head), increased size of the head, altered breathing, and dilated pupils.[13]
Risk factors
Caregivers that are at risk for becoming abusive often have unrealistic expectations of the child and may display "role reversal", expecting the child to fulfill the needs of the caregiver.[14] Substance abuse and emotional stress, resulting for example from financial troubles, are other risk factors for aggression and impulsiveness in caregivers.[14] Both males and females can inflict SBS.[14] Although it had been previously speculated that SBS was an isolated event, evidence of prior child abuse is a common finding in cases of SBS.[14] In an estimated 33–40% of cases, evidence of prior head injuries, such as old intracranial bleeds, is present.[14]
Mechanism
Rotational injury is especially damaging and likely to occur in shaking trauma.[15] The type of injuries caused by shaking injury are usually not caused by falls and impacts from normal play, which are mostly linear forces.[15] It has been suggested that the mechanism of ocular abnormalities is related to vitreoretinal traction, with movement of the vitreous contributing to development of the characteristic retinal bleeds, although this has been challenged.[16] These ocular findings correlate well with intracranial abnormalities.[17]
Force
There has been controversy regarding the amount of force required to produce the brain damage seen in shaken baby syndrome. While there is broad agreement, even amongst skeptics, that shaking of an infant is dangerous and can be fatal,[18][19][20] the amount of force required to cause injury remains unknown.
A biomechanical analysis published in 2005 reported that "forceful shaking can severely injure or kill an infant, this is because the cervical spine would be severely injured and not because subdural hematomas would be caused by high head rotational accelerations... an infant head subjected to the levels of rotational velocity and acceleration called for in the SBS literature, would experience forces on the infant neck far exceeding the limits for structural failure of the cervical spine. Furthermore, shaking cervical spine injury can occur at much lower levels of head velocity and acceleration than those reported for SBS." [21] Other authors were critical of the mathematical analysis by Bandak, citing concerns about the calculations the author used concluding "In light of the numerical errors in Bandak’s neck force estimations, we question the resolute tenor of Bandak’s conclusions that neck injuries would occur in all shaking events."[22] Other authors critical of the model proposed by Bandak concluding "the mechanical analogue proposed in the paper may not be entirely appropriate when used to model the motion of the head and neck of infants when a baby is shaken."[23] Bandak responded to the criticism in a letter to the editor published in Forensic Science International in February 2006.[24]
Diagnosis
Triad
While the findings of SBS are complex and many,[25] they are often referred to as a "triad".[26] The process of inferring violent or abusive shaking from the clinical findings in the SBS diagnosis has also been referred to as a hypothesis.[27][28]
In 2000, Rob Parish, Deputy Director of the National Center on Shaken Baby Syndrome, summarized the "triad" as follows:
Often referred to as the “triad”, the consensus continues to be that a collection of (1)damage to the brain, evidenced by severe brain swelling and/or diffuse traumatic axonal injury; (2) bleeding under the membranes which cover the brain, usually subdural and/or subarachnoid bleeding; and, (3) bleeding in the layers of the retina, often accompanied by other ocular damage, when seen in young children or infants, is virtually diagnostic of severe, whiplash shaking of the head.[29]
SBS may be misdiagnosed, underdiagnosed, and overdiagnosed,[30] and caregivers may lie or be unaware of the mechanism of injury.[14] Commonly, there are no externally visible signs of the condition.[14] Examination by an experienced ophthalmologist is often critical in diagnosing shaken baby syndrome, as particular forms of ocular bleeding are quite characteristic.[31] Magnetic resonance imaging may also depict retinal bleeds;[32] this may occasionally be useful if an ophthalmologist examination is delayed or unavailable. Conditions that must be ruled out include hydrocephalus, sudden infant death syndrome (SIDS), seizure disorders, and infectious or congenital diseases like meningitis and metabolic disorders.[15][33] CT scanning and magnetic resonance imaging are used to diagnose the condition.[14] Conditions that may accompany SBS include bone fractures, injury to the cervical spine (in the neck), retinal bleeding, cerebral bleed or atrophy, hydrocephalus, and papilledema (swelling of the optic disc).[12]
The terms non-accidental head injury or inflicted traumatic brain injury have been suggested instead of "SBS".[34]
-

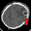
A skull fracture from abusive head trauma in an infant
-

An intraparenchymal bleed with overlying skull fracture from abusive head trauma
-

3D CT reconstruction showing a skull fracture in an infant
-

3D CT reconstruction showing a skull fracture in an infant
Differential diagnosis
Vitamin C deficiency
Some authors have suggested that certain cases of suspected shaken baby syndrome may result from vitamin C deficiency.[35][36][37] This contested hypothesis is based upon a speculated marginal, near scorbutic condition or lack of essential nutrient(s) repletion and a potential elevated histamine level. However, symptoms consistent with increased histamine levels, such as low blood pressure and allergic symptoms, are not commonly associated with scurvy as clinically significant vitamin C deficiency. A literature review of this hypothesis in the journal Pediatrics International concluded the following: "From the available information in the literature, concluded that there was no convincing evidence to conclude that vitamin C deficiency can be considered to be a cause of shaken baby syndrome."[38]
The proponents of such hypotheses often question the adequacy of nutrient tissue levels, especially vitamin C,[39][40] for those children currently or recently ill, bacterial infections, those with higher individual requirements, those suffering from environmental challenges (e.g. allergies), and perhaps transient vaccination-related stresses.[41] At the time of this writing, infantile scurvy in the United States is practically nonexistent.[42] No cases of scurvy mimicking SBS or sudden infant death syndrome have been reported, and scurvy typically occurs later in infancy, rarely causes death or intracranial bleeding, and is accompanied by other changes of the bones and skin and invariably an unusually deficient dietary history.[43][44]
In one study vaccination was shown not associated with retinal hemorrhages.[45]
Gestational problems
Gestational problems affecting both mother and fetus, the birthing process, prematurity and nutritional deficits can accelerate skeletal and hemorrhagic pathologies that can also mimic SBS, even before birth.[46][47][48][49]
Treatment
Treatment involves monitoring intracranial pressure (the pressure within the skull), draining fluid from the cerebral ventricles, and, if an intracranial hematoma is present, draining the blood collection.[12]
Prognosis
Prognosis depends on severity and can range from total recovery to severe disability to death when the injury is severe.[12] One third of these patients die, one third survives with a major neurological condition, and only one third survives in good condition. The most frequent neurological impairments are learning disabilities, seizure disorders, speech disabilities, hydrocephalus, cerebral palsy, and visual disorders.[15]
Epidemiology
Small children are at particularly high risk for the abuse that causes SBS given the large difference in size between the small child and an adult.[14] SBS usually occurs in children under the age of two but may occur in those up to age five.[14]
History
In 1971, Norman Guthkelch proposed that whiplash injury caused subdural bleeding in infants by tearing the veins in the subdural space.[50][51] The term "whiplash shaken infant syndrome" was introduced by Dr. John Caffey, a pediatric radiologist, in 1973,[52] describing a set of symptoms found with little or no external evidence of head trauma, including retinal bleeds and intracranial bleeds with subdural or subarachnoid bleeding or both.[11] Development of computed tomography and magnetic resonance imaging techniques in the 1970s and 1980s advanced the ability to diagnose the syndrome.[14]
Legal issues
The President's Council of Advisers on Science and Technology (PCAST) noted in its September 2016 report that there are concerns regarding the scientific validity of forensic evidence of abusive head trauma that "require urgent attention." [53]
In July 2005, the Court of Appeals in the United Kingdom heard four appeals of SBS convictions: one case was dropped, the sentence was reduced for one, and two convictions were upheld.[54] The court found that the classic triad of retinal bleeding, subdural hematoma, and acute encephalopathy are not 100% diagnostic of SBS and that clinical history is also important. In the Court's ruling, they upheld the clinical concept of SBS but dismissed one case and reduced another from murder to manslaughter.[54] In their words: "Whilst a strong pointer to NAHI [non-accidental head injury] on its own we do not think it possible to find that it must automatically and necessarily lead to a diagnosis of NAHI. All the circumstances, including the clinical picture, must be taken into account."[55]
The court invalidated the "unified hypothesis", proposed by British physician J. F. Geddes and colleagues, as an alternative mechanism for the subdural and retinal bleeding found in suspected cases of SBS.[54] The unified hypothesis proposed that the bleeding was not caused by shearing of subdural and retinal veins but rather by cerebral hypoxia, increased intracranial pressure, and increased pressure in the brain's blood vessels.[54] The court reported that "the unified hypothesis [could] no longer be regarded as a credible or alternative cause of the triad of injuries": subdural haemorrhage, retinal bleeding and encephalopathy due to hypoxemia (low blood oxygen) found in suspected SBS.[54]
On January 31, 2008, the Wisconsin Court of Appeals granted Audrey A. Edmunds a new trial based on "competing credible medical opinions in determining whether there is a reasonable doubt as to Edmunds's guilt." Specifically, the appeals court found that "Edmunds presented evidence that was not discovered until after her conviction, in the form of expert medical testimony, that a significant and legitimate debate in the medical community has developed in the past ten years over whether infants can be fatally injured through shaking alone, whether an infant may suffer head trauma and yet experience a significant lucid interval prior to death, and whether other causes may mimic the symptoms traditionally viewed as indicating shaken baby or shaken impact syndrome."[56][57]
In 2012, A. Norman Guthkelch, the neurosurgeon often credited with "discovering" the diagnosis of SBS,[58] published an article "after 40 years of consideration," which is harshly critical of shaken baby prosecutions based solely on the triad of injuries.[28] Again, in 2012, Dr. Guthkelch stated in an interview, "I think we need to go back to the drawing board and make a more thorough assessment of these fatal cases, and I am going to bet . . . that we are going to find in every - or at least the large majority of cases, the child had another severe illness of some sort which was missed until too late."[59] Furthermore, in 2015, Dr. Guthkelch went so far as to say, "I was against defining this thing as a syndrome in the first instance. To go on and say every time you see it, it's a crime...It became an easy way to go into jail."[60]
On the other hand, Teri Covington, who runs the National Center for Child Death Review Policy and Practice, worries that such caution has led to a growing number of cases of child abuse in which the abuser is not punished.[58]
In March 2016, Waney Squier, a paediatric neuropathologist who has served as an expert witness in many shaken baby trials, was struck off the medical register for misconduct.[61] The Medical Practitioners Tribunal Service (MPTS) found Dr. Squier's testimony regarding alternative explanations for the findings to be "deliberately misleading...irresponsible...and dishonest." The discrediting of Dr. Squier "could have far-reaching consequences for past and future cases of people accused of inflicting serious and fatal injuries on babies."[62] Shortly after her conviction, Dr. Squier was given the "champion of justice" award by the International Innocence Network for her efforts to free those wrongfully convicted of shaken baby syndrome.[63]
Squier denied the allegations and appealed the decision to strike her off the medical register.[64] As her case was heard by the High Court of England and Wales in October 2016, an open letter to the British Medical Journal questioning the decision to strike off Dr. Squier, was signed by 350 doctors, scientists, and attorneys.[65] On 3 November 2016, the court published a judgment which concluded that "the determination of the MPT is in many significant respects flawed".[66] The judge found that she had committed serious professional misconduct but was not dishonest. She was reinstated to the medical register but is not allowed to give expert evidence in court for three years.[67]
Adults
Case reports of a similar syndrome has been reported in adults.[68]
References
- ↑ Christian, CW; Block, R; Committee on Child Abuse and, Neglect; American Academy of, Pediatrics (May 2009). "Abusive head trauma in infants and children.". Pediatrics. 123 (5): 1409–11. doi:10.1542/peds.2009-0408. PMID 19403508.
- ↑ Parks, SE; Annest JL; Hill HA; Karch DL (2012). "Pediatric Abusive Head Trauma: Recommended Definitions for Public Health Surveillance and Research".
- ↑ Non Accidental Head Injury Cases (NAHI, formerly referred to as Shaken Baby Syndrome Prosecution Approach
- ↑ Abusive Head Trauma: A New Name for Shaken Baby Syndrome
- ↑ "Incidence of Pediatric Abusive Head Trauma". A Train Education. Retrieved 28 October 2014.}
- ↑ Zhang, Yawei (2008). Encyclopedia of Global Health, Volume 1. SAGE Publications. p. 382.
- ↑ "NINDS Shaken Baby Syndrome information page". National Institute of Neurological Disorders and Stroke. 2014-02-14.
- ↑ B.G.Brogdon,Tor Shwayder,Jamie Elifritz Child Abuse and its Mimics in Skin and Bone
- ↑ Levin AV (November 2010). "Retinal hemorrhage in abusive head trauma". Pediatrics. 126 (5): 961–70. doi:10.1542/peds.2010-1220. PMID 20921069.
- ↑ Kempe CH, Silverman FN, Steele BF, Droegemueller W, Silver HK (July 1962). "The battered-child syndrome". JAMA. 181: 17–24. doi:10.1001/jama.1962.03050270019004. PMID 14455086.
- 1 2 Caffey J (August 1972). "On the theory and practice of shaking infants. Its potential residual effects of permanent brain damage and mental retardation". American Journal of Diseases of Children. 124 (2): 161–9. doi:10.1001/archpedi.1972.02110140011001. PMID 4559532.
- 1 2 3 4 "Shaken Baby Syndrome". Journal of Forensic Nursing. Retrieved 2011-04-27.
- ↑ Types of brain injury: Shaken baby syndrome. Brain Injury Association of America. Retrieved on September 24, 2007.
- 1 2 3 4 5 6 7 8 9 10 11 American Academy of Pediatrics: Committee on Child Abuse and Neglect (July 2001). "Shaken baby syndrome: rotational cranial injuries-technical report". Pediatrics. 108 (1): 206–10. doi:10.1542/peds.108.1.206. PMID 11433079.
- 1 2 3 4 Oral R (August 2003). "Intentional head trauma in infants: Shaken baby syndrome". Virtual Children's Hospital. Archived from the original (Archived) on 2005-02-14. Retrieved 2006-10-09.
- ↑ Vitreoretinal traction is a major factor in causing the haemorrhagic retinopathy of abusive head injury? – No Eye, Clarke M.P.
- ↑ Post Mortem Findings
- ↑ The Royal College of Pathologists. "Report Of A Meeting On The Pathology Of Traumatic Head Injury In Children" (PDF). Archived from the original (PDF) on 2013-06-02.
- ↑ Findley KA, Barnes PD, Moran DA, Squier W (April 30, 2012). "Shaken Baby Syndrome, Abusive Head Trauma, and Actual Innocence: Getting It Right". Houston Journal of Health Law and Policy.
- ↑ Squier W. ""Shaken Baby Syndrome" and Forensic Pathology". Forensic Science , Medicine and Pathology. 10 (2): 248–250. doi:10.1007/s12024-014-9533-z.
- ↑ Bandak FA (2005). "Shaken Baby Syndrome: A biomechanical analysis of injury mechanisms". Forensic Science International. 151: 71–79. doi:10.1016/j.forsciint.2005.02.033.
- ↑ Margulies S, Prange M, Myers BS, et al. (December 2006). "Shaken baby syndrome: a flawed biomechanical analysis". Forensic Science International. 164 (2–3): 278–9; author reply 282–3. doi:10.1016/j.forsciint.2005.12.018. PMID 16436323.
- ↑ Rangarajan N, Shams T (December 2006). "Re: shaken baby syndrome: a biomechanics analysis of injury mechanisms". Forensic Science International. 164 (2–3): 280–1; author reply 282–3. doi:10.1016/j.forsciint.2005.12.017. PMID 16497461.
- ↑ Bandak F (December 2006). "Response to the Letter to the Editor". Forensic Science International. 157 (1): 282–3. doi:10.1016/j.forsciint.2006.01.001. which refers to
Margulies S, Prange M, Myers BS, et al. (December 2006). "Shaken baby syndrome: a flawed biomechanical analysis". Forensic Science International. 164 (2–3): 278–9; author reply 282–3. doi:10.1016/j.forsciint.2005.12.018. PMID 16436323. - ↑ ""Abusive Head Trauma: A Review of the Evidence Base"". American Journal of Roentgenology. 204: 967–973. doi:10.2214/AJR.14.14191.
- ↑ ""Shaken baby syndrome" and forensic pathology". Forensic Science, Medicine, and Pathology. 10: 253–255. doi:10.1007/s12024-014-9540-0.
- ↑ ‘Shaken Baby Syndrome’ – a response by Dr Waney Squier Family Law Week 2010
- 1 2 http://globalwrong.files.wordpress.com/2013/01/guthkelch-an-preface-to-narang-hous-j-health-law-poly-2012.pdf
- ↑ 'Executive Summary of the Third National Conference on Shaken Baby Syndrome', p. 2
- ↑ Report questioning shaken baby syndrome seriously unbalanced http://www.aappublications.org/content/36/5/1.2
- ↑ "Shaken Baby Syndrome Resources". American Academy of Ophthalmology. Archived from the original on 2006-10-01.
- ↑ "Susceptibility weighted imaging depicts retinal hemorrhages in abusive head trauma.". Neuroradiology. 55: 889–93. Jul 2013. doi:10.1007/s00234-013-1180-7. PMID 23568702.
- ↑ Togioka BM, Arnold MA, Bathurst MA, et al. (2009). "Retinal hemorrhages and shaken baby syndrome: an evidence-based review". J Emerg Med. 37: 98–106. doi:10.1016/j.jemermed.2008.06.022.
- ↑ Minns RA, Busuttil A (March 2004). "Patterns of presentation of the shaken baby syndrome: Four types of inflicted brain injury predominate". BMJ. 328 (7442): 766. doi:10.1136/bmj.328.7442.766. PMC 381336
. PMID 15044297. - ↑ Clemetson CAB (July 2004). "Capillary Fragility as a Cause of Substantial Hemorrhage in Infants" (PDF). Medical Hypotheses and Research. 1 (2/3): 121–129. Retrieved 2009-05-19.
- ↑ Johnston, C.S. (1996). "Chapter 10) The Antihistamine Action of Ascorbic Acid". Ascorbic Acid; Biochemistry and Biomedical Cell Biology. 25. Plenum Press. p. 189. ISBN 978-0-306-45148-5.
- ↑ Majno G, Palade GE, Schoefl GI (December 1961). "STUDIES ON INFLAMMATION : II. The Site of Action of Histamine and Serotonin along the Vascular Tree: A Topographic Study". The Journal of Biophysical and Biochemical Cytology. 11 (3): 607–26. doi:10.1083/jcb.11.3.607. PMC 2225127
. PMID 14468625. - ↑ Fung EL, Nelson EA (December 2004). "Could Vitamin C deficiency have a role in shaken baby syndrome?". Pediatrics International. 46 (6): 753–5. doi:10.1111/j.1442-200x.2004.01977.x. PMID 15660885.
- ↑ Dettman G (March 1978). "Factor "X", sub-clinical scurvy and S.I.D.S. Historical. Part 1". The Australasian Nurses Journal. 7 (7): 2–5. PMID 418769.
- ↑ Kalokerinos A, Dettman G (July 1976). "Sudden death in infancy syndrome in Western Australia". The Medical Journal of Australia. 2 (1): 31–2. PMID 979792.
- ↑ Institute of Medicine (IOM) (1991). "Chapter 6) Evidence Concerning Pertussis Vaccines and Other Illnesses and Conditions -- Protracted Inconsolable Crying and Screaming". Adverse Effects of Pertussis and Rubella Vaccines. The National Academies Press. p. 165. ISBN 0-309-04499-5.
- ↑ Lee RV (1983). "Scurvy: a contemporary historical perspective". Connecticut Medicine. 47 (10): 629–32, 703–4. PMID 6354581.
- ↑ Weinstein M; Babyn Phil; Zlotkin S (2001). "An Orange a Day Keeps the Doctor Away: Scurvy in the Year 2000". Pediatrics. 108 (3): e55. doi:10.1542/peds.108.3.e55. PMID 11533373.
- ↑ Rajakumar K (2001). "Infantile Scurvy: A Historical Perspective". Pediatrics. 108 (4): e76. doi:10.1542/peds.108.4.e76. PMID 11581484.
- ↑ Binenbaum G (2015). "Evaluation of Temporal Association Between Vaccinations and Retinal Hemorrhage in Children". JAMA Ophthalmol. 133 (11): 1261–1265. doi:10.1001/jamaophthalmol.2015.2868.
Vaccination injections should not be considered a potential cause of retinal hemorrhage in children, and this unsupported theory should not be accepted clinically or in legal proceedings.
- ↑ Cushing H, Goodrich JT (August 2000). "Reprint of "Concerning Surgical Intervention for the Intracranial Hemorrhages of the New-born" by Harvey Cushing, M.D. 1905". Child's Nervous System. 16 (8): 484–92. doi:10.1007/s003810000255. PMID 11007498.
- ↑ Williams Obstetrics (1997). "Chapter 20". Diseases and Injuries of the Fetus and Newborn. 20. Appleton & Lange, Stamford, CT. pp. 997–998. ISBN 0-8385-9638-X.
- ↑ Williams Obstetrics (2005). "Chapter 29". Diseases and Injuries of the Fetus and Newborn. 22. McGraw-Hill Companies. pp. 649–691. ISBN 0-07-141315-4.
- ↑ Looney CB, Smith JK, Merck LH, et al. (February 2007). "Intracranial hemorrhage in asymptomatic neonates: prevalence on MR images and relationship to obstetric and neonatal risk factors". Radiology. 242 (2): 535–41. doi:10.1148/radiol.2422060133. PMID 17179400.
- ↑ David TJ (November 1999). "Shaken baby (shaken impact) syndrome: non-accidental head injury in infancy". Journal of the Royal Society of Medicine. 92 (11): 556–61. PMC 1297429
. PMID 10703491. - ↑ Integrity in Science: The Case of Dr Norman Guthkelch, ‘Shaken Baby Syndrome’ and Miscarriages of Justice By Dr Lynne Wrennall
- ↑ http://pediatrics.aappublications.org/cgi/content/abstract/54/4/396
- ↑ Forensic Science in Criminal Courts: Ensuring Scientific Validity of Feature-Comparison Methods (p. 23) https://www.whitehouse.gov/sites/default/files/microsites/ostp/PCAST/pcast_forensic_science_report_final.pdf
- 1 2 3 4 5 De Leeuw M, Jacobs W (2007). "Shaken baby syndrome: The classical clinical triad is still valid in recent court rulings". Critical Care. 11 (Supplement 2): 416. doi:10.1186/cc5576.
- ↑ "Shaken baby convictions overturned". Special Reports. Guardian Unlimited. July 21, 2005. Retrieved 2006-10-15.
- ↑ "Court of Appeals decision - State of Wisconsin v. Audrey A. Edmonds". Wisconsin Court Opinions. Findlaw. January 31, 2008. Retrieved 2009-09-25.
- ↑ Keith A. Findley Co‐Director, Wisconsin Innocence Project Clinical Professor, University of Wisconsin Law School Litigating Postconviction Challenges to Shaken Baby Syndrome Convictions
- 1 2 http://www.npr.org/2011/06/29/137471992/rethinking-shaken-baby-syndrome
- ↑ http://onsbs.com/2014/08/20/conversations-with-dr-a-norman-guthkelch/
- ↑ "The Nanny Murder Trial: Retro Report Voices: The Lawyer". New York Times. Retrieved 14 September 2015.
- ↑ http://www.mpts-uk.org/static/documents/content/Waney_Marian_Valerie_SQUIER_21_March_2016.pdf
- ↑ far-reaching consequences for past and future cases of people accused of inflicting serious and fatal brain injuries on babies. http://www.dailymail.co.uk/news/article-2756845/Leading-medical-expert-defended-parents-shaken-baby-cases-accused-dishonesty-misleading-courts.html#ixzz44pIsu4pd
- ↑ Oxford doctor Waney Squire vows to fight suspension over 'shaken baby' trial evidence http://www.oxfordmail.co.uk/news/14469215.Oxford_doctor_struck_off_over_evidence_in__shaken_baby__court_cases_vows_to_fight_suspension/
- ↑ Shaken baby sceptic begins appeal http://www.bbc.com/news/uk-england-oxfordshire-37688263
- ↑ Should Waney Squier have been struck off over shaken baby syndrome? http://www.bbc.com/news/health-37672451
- ↑ https://www.judiciary.gov.uk/wp-content/uploads/2016/11/squier-v-gmc-protected-approved-judgment-20160311-2.pdf
- ↑ http://www.bbc.co.uk/news/health-37861618
- ↑ Carrigan, T D (2000). "Domestic Violence: The Shaken Adult Syndrome" (PDF). Journal of Accident and Emergency Medicine. 17: 138–9. doi:10.1136/emj.17.2.138. PMC 1725330
. PMID 10718242. Retrieved 26 September 2013.
External links
- Centers for Disease Control and Prevention - Abusive head trauma
