Abutment (dentistry)
In dentistry, an abutment is a connecting element.[1] This is used in the context of a fixed bridge (the "abutment teeth" referring to the teeth supporting the bridge), partial removable dentures (the "abutment teeth" referring to the teeth supporting the partial) and in implants (used to attach a crown, bridge, or removable denture to the dental implant fixture). The implant fixture is the screw-like component that is osseointegrated.
Bridge abutments


Dental bridge abutments are made such that the path of insertion of the teeth involved is nearly parallel with each other.
Partial denture abutments
Partial denture abutments[2] are unique in that they may incorporate elements such as rest seats, guide planes, and recontouring.
Implant abutments
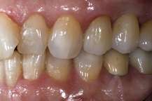
These are usually called prosthetic implant abutments. These abutments can be made from a variety of materials, such as titanium, surgical stainless steel and gold. More modern abutments are now also made from zirconia,[3] which is a white ceramic, to better complement the aesthetics of a dental implant restoration. The two images to the right show a ceramic abutment and the ceramic crown bonded to it. The images to the right show how a ceramic abutment can enhance a ceramic crown by giving it a more lifelike appearance. Ceramic abutments have to be used with care, however, since their compressive strength is nowhere near that of titanium, gold or other noble metals. Most clinicians feel more comfortable using a metal prosthetic abutment in the posterior molar areas, due to the increased masticatory forces present in these areas.
An abutment is not necessarily parallel to the long axis of the implant. It is utilized when the implant is at a different inclination in relation to the proposed prosthesis. Most crowns and fixed partial dentures have a cemented or screw-retained fixation on the abutment.
Three piece implant

In a three piece implant the abutment is fixed on the implant with a screw butt joint.[4] This screw needs to be tightened to a predetermined torque with a dental torque wrench, in order to avoid screw loosening during chewing, which can often create a counter-clockwise torque on the implant-abutment interface, encouraging the abutment screw to come loose. This can largely be prevented with proper screw design and torquing of the abutment.
Two piece implant
In a two piece implant the abutment is morse tapered or cold welded on the implant. Microbial leakage and colonization between the implant and the abutments can result in inflammatory reactions and crestal bone loss. Morse taper conical abutments showed a cumulative implant survival rate of 98.23%[5] in terms of seal performance, microgap formation, torque maintenance, and abutment stability.[6]
One piece implant
A one piece implant (OPI) incorporates the trans-mucosal abutment as an integral part of the implant.[7] This type of implant is often used with a flapless procedure and immediate loading (the crown is placed in a short time after placing the implant).[8]
References
- ↑ Prasad, DKrishna; Prasad, DAnupama; Bardia, Anshul; Hegde, Chethan (2013). "Questionable abutments: General considerations, changing trends in treatment planning and available options". Journal of Interdisciplinary Dentistry. 3 (1): 12. doi:10.4103/2229-5194.120516. ISSN 2229-5194.
- ↑ Al-Sinaidi, Aljoharah; Preethanath, Reghunathan S. (2013). "The effect of fixed partial dentures on periodontal status of abutment teeth". King Saud University Journal of Dental Sciences. doi:10.1016/j.ksujds.2013.11.001. ISSN 2210-8157.
- ↑ Modgi CM, Aras MA. Zirconia abutments in implant dentistry. Int J Oral Implantol Clin Res 2012;3(1):39-42
- ↑ Shin, Hyon-Mo; Huh, Jung-Bo; Yun, Mi-Jeong; Jeon, Young-Chan; Chang, Brian Myung; Jeong, Chang-Mo (2014). "Influence of the implant-abutment connection design and diameter on the screw joint stability". The Journal of Advanced Prosthodontics. 6 (2): 126. doi:10.4047/jap.2014.6.2.126. ISSN 2005-7806.
- ↑ Mangano, Carlo; Mangano, Francesco; Shibli, Jamil A.; Tettamanti, Lucia; Figliuzzi, Michele; d'Avila, Susana; Sammons, Rachel L.; Piattelli, Adriano (2011). "Prospective Evaluation of 2,549 Morse Taper Connection Implants: 1- to 6-Year Data". Journal of Periodontology. 82 (1): 52–61. doi:10.1902/jop.2010.100243. ISSN 0022-3492.
- ↑ Schmitt, Christian M.; Nogueira-Filho, Getulio; Tenenbaum, Howard C.; Lai, Jim Yuan; Brito, Carlos; Döring, Hendrik; Nonhoff, Jörg (2014). "Performance of conical abutment (Morse Taper) connection implants: A systematic review". Journal of Biomedical Materials Research Part A. 102 (2): 552–574. doi:10.1002/jbm.a.34709. ISSN 1549-3296.
- ↑ Froum SJ, Cho SC, Elian N, et al. (2011). "Survival rate of one-piece dental implants placed with a flapless or flap protocol--a randomized, controlled study: 12-month results". Int J Periodontics Restorative Dent. 31 (6): 591–601. PMID 22140661.
- ↑ Sato, Junichi; Watanabe, Goro; Ando, Masami; Shimoo, Yoshiaki; Shizukuda, Kazushige; Kimura, Tomonori; Kobayashi, Mariko (2014). "A prospective multicenter study of immediate function of 1-piece implants: A 3-year follow-up report". The Journal of Prosthetic Dentistry. doi:10.1016/j.prosdent.2014.03.001. ISSN 0022-3913.