Acinar cell carcinoma of the pancreas
| Acinar cell carcinoma of the pancreas | |
|---|---|
|
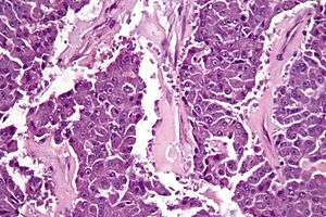
Micrograph of an acinar cell carcinoma of the pancreas. H&E stain. | |
| Classification and external resources |
Acinar cell carcinoma of the pancreas, also acinar cell carcinoma, is a rare malignant exocrine tumour of the pancreas. It represents 5% of all exocrine tumours of the pancreas, making it the second most common type of pancreatic cancer.[1] It is abbreviated ACC. It typically has a guarded prognosis.
Symptoms

The disease is more common in men than women and the average age at diagnosis is about 60.[2] Symptoms are often non-specific and include weight loss. A classic presentation, found in around 15% of cases includes subcutaneous nodules (due to fat necrosis) and arthralgias, caused by release of lipase.[3]
Pathology
ACC are associated with increased serum lipase and manifest in the classic presentation as the Schmid triad (subcutaneous fat necrosis, polyarthritis, eosinophilia).[4]
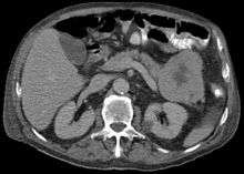
ACC are typically large, up to 10cm, and soft compared to pancreatic adenocarcinoma, lacking its dense stroma. They can arise in any part of the pancreas.[5]
Histomorphologically, the tumour resembles the cells of the pancreatic acini and, typically, have moderate granular cytoplasm that stain with both PAS and PASD.[6]
Treatment
ACC can be treated with a Whipple procedure.
See also
References
- ↑ Tobias Jeffrey S., Hochhauser, Daniel, Cancer and its Management, p. 276, 2010 (6th edn), ISBN 1118713257, 9781118713259
- ↑ Von Hoff, 23
- ↑ Von Hoff, 23
- ↑ Jang, SH.; Choi, SY.; Min, JH.; Kim, TW.; Lee, JA.; Byun, SJ.; Lee, JW. (Feb 2010). "[A case of acinar cell carcinoma of pancreas, manifested by subcutaneous nodule as initial clinical symptom].". Korean J Gastroenterol. 55 (2): 139–43. doi:10.4166/kjg.2010.55.2.139. PMID 20168061.
- ↑ Von Hoff, 23
- ↑ Klimstra, DS.; Heffess, CS.; Oertel, JE.; Rosai, J. (Sep 1992). "Acinar cell carcinoma of the pancreas. A clinicopathologic study of 28 cases.". Am J Surg Pathol. 16 (9): 815–37. doi:10.1097/00000478-199209000-00001. PMID 1384374.
- "Von Hoff": Daniel D. Von Hoff, Douglas Brian Evans, Ralph H. Hruban, eds. Pancreatic Cancer, 2005, Jones & Bartlett Learning, ISBN 0763721786, 9780763721787
