Sclerosis (medicine)
For other uses, see Sclerosis (disambiguation).
Not to be confused with Scoliosis.
| Sclerosis (medicine) | |
|---|---|
![]() | |
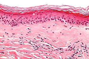
| Micrograph of subepithelial sclerosus (middle third of image) in a case of lichen sclerosus. H&E stain. | |
| Classification and external resources | |
| MeSH | D012598 |
In medicine, sclerosis (also spelled sclerosus in the names of a few disorders; from Greek σκληρός "hard") is the stiffening of a structure, usually caused by a replacement of the normal organ-specific tissue with connective tissue. The structure may be said to have undergone sclerotic changes or display sclerotic lesions, which refers to the process of sclerosis.
Common medical conditions whose pathology involves sclerosis include:
- Amyotrophic lateral sclerosis, sometimes known as Lou Gehrig's disease, a progressive, incurable, usually fatal disease of motor neurons.
- Atherosclerosis, a deposit of fatty materials, such as cholesterol, in the arteries which causes hardening.
- Focal segmental glomerulosclerosis is a disease that attacks the kidney's filtering system (glomeruli) causing serious scarring and thus a cause of nephrotic syndrome in children and adolescents,[1] as well as an important cause of kidney failure in adults.
- Hippocampal sclerosis, a brain damage often seen in individuals with temporal lobe epilepsy.
- Lichen sclerosus, an autoimmune disease that hardens the connective tissues of the vagina and the penis.
- Multiple sclerosis, or focal sclerosis,[2] is a central nervous system disease which affects coordination.
- Osteosclerosis, a condition where the bone density is significantly increased, resulting in increased lumency on radiographs.
- Otosclerosis, a disease of the ears.
- Systemic sclerosis (progressive systemic scleroderma), a rare, chronic disease which affects the skin, and in some cases also blood vessels and internal organs.
- Tuberous sclerosis, a rare genetic disease which affects multiple systems.
- Primary sclerosing cholangitis, a hardening of the bile duct by scarring and repeated inflammation.
- Primary lateral sclerosis, progressive muscle weakness in the voluntary muscles.
Note that liver 'sclerosis' is a common misspelling or mispronunciation of cirrhosis of the liver.
References
- ↑ "Welcome To The NephCure Foundation". Archived from the original on 2009-06-02.
- ↑ "Focal sclerosis definition - Medical Dictionary definitions of popular medical terms easily defined on MedTerms". Medterms.com. 2012-09-20. Retrieved 2013-01-12.
This article is issued from Wikipedia - version of the 12/3/2016. The text is available under the Creative Commons Attribution/Share Alike but additional terms may apply for the media files.
