Apocrine
|
Exocrine Secretion |
| Merocrine or eccrine – by exocytosis |
| Apocrine – by membrane budding (loss of cytoplasm) |
| Holocrine – by membrane rupture |


Apocrine is a term used to classify exocrine glands in the study of histology. Cells which are classified as apocrine bud their secretions off through the plasma membrane producing membrane-bound vesicles in the lumen. The apical portion of the secretory cell of the gland pinches off and enters the lumen. It loses part of its cytoplasm in their secretions. Apocrine glands are found primarily in the breast of lactating mammals (i.e. the mammary glands are apocrine glands).
Secretion occurs when the release of secretory materials is accompanied with loss of part of cytoplasm. Apocrine secretion is less damaging to the gland than holocrine secretion (which destroys a cell) but more damaging than merocrine secretion (exocytosis). An example of true apocrine glands is the mammary glands, responsible for secreting breast milk.[1]
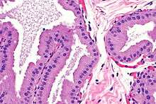
Apocrine Metaplasia

Apocrine Metaplasia is a reversible transformation of cells to an apocrine phenotype. It is common in the breast in the context of fibrocystic change. It is seen in women mostly over the age of 50 years. Metaplasia happens when there is an irritation to the breast (breast cyst). Apocrine-like cells form in a lining of developing microcysts, due to the pressure buildup within the lumen. The pressure build up is caused by secretions.[2] This type of metaplasia represents an exception to the common rule of metaplasia increasing the risk for developing cancer ; apocrine metaplasia doesn't increase at all the possibility of getting breast cancer .
Apocrine Carcinoma
Apocrine Carcinoma is a very rare form of female breast cancer. The rate of incidence varies from 0.5 to 4%.[3] Cytologically, the cells of apocrine carcinoma are relatively large, granular, and it has a prominent eosinophilic cytoplasm.[4] When Apocrine Carcinoma is tested as a “triple negative”, it means that the cells of the patient cannot express the estrogen receptor, progesterone receptor, or HER2 receptor.[5]
References
- ↑ Mescher AL, "Chapter 4. Epithelial Tissue" (Chapter). Mescher AL: Junqueira's Basic Histology: Text & Atlas, 12e: http://www.accessmedicine.com/content.aspx?aID=6180489.
- ↑ Dr Ayush Goel and Radswiki et al. Apocrine metaplasia of the breast.http://radiopaedia.org/articles/apocrine-metaplasia-of-the-breast
- ↑ Khandeparkar, Siddhi Gaurish Sinai, Sanjay D. Deshmukh, and Pallavi D. Bhayekar. "A rare case of apocrine carcinoma of the breast: Cytopathological and immunohistopathological study." Journal of Cytology/Indian Academy of Cytologists 31.2 (2014): 96.
- ↑ "Archived copy". Archived from the original on 1970-01-01. Retrieved 2014-11-03. (accessed November 3, 2014)
- ↑ http://www.hopkinsmedicine.org/kimmel_cancer_center/centers/breast_cancer_program/rare_tumors/apocrine_breast_cancer (accessed October 28, 2014)