Arachnoid cyst
| Arachnoid cyst | |
|---|---|
|
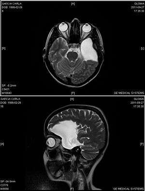
An MRI of a 25-year-old woman with left frontotemporal arachnoid cyst. | |
| Classification and external resources | |
| Specialty | neurology |
| ICD-10 | G93.0 |
| ICD-9-CM | 348.0 |
| OMIM | 207790 |
| DiseasesDB | 33219 |
| eMedicine | radio/48 |
| MeSH | D016080 |
Arachnoid cysts are cerebrospinal fluid covered by arachnoidal cells and collagen[1] that may develop between the surface of the brain and the cranial base or on the arachnoid membrane, one of the 3 meningeal layers that cover the brain and the spinal cord.[2] Arachnoid cysts are a congenital disorder,[3] and most cases begin during infancy; however, onset may be delayed until adolescence.[2]
Classification
Arachnoid cysts can be found on the brain or on the spine. Intracranial arachnoid cysts usually occur adjacent to the arachnoidal cistern.[4] Spinal arachnoid cysts may be extradural, intradural, or perineural and tend to present with signs and symptoms indicative of a radiculopathy.[4]
Arachnoid cysts may also be classified as primary (congenital) or secondary (acquired) and have been reported in humans, cats, and dogs.[5]
Arachnoid cysts can be relatively asymptomatic or present with insidious symptoms; for this reason, diagnosis is often delayed.
Signs and symptoms
Patients with arachnoid cysts may never show symptoms, even in some cases where the cyst is large. Therefore, while the presence of symptoms may provoke further clinical investigation, symptoms independent of further data cannot—and should not—be interpreted as evidence of a cyst's existence, size, location, or potential functional impact on the patient.
Symptoms vary by the size and location of the cyst(s), though small cysts usually have no symptoms and are discovered only incidentally.[2] On the other hand, a number of symptoms may result from large cysts:
- Cranial deformation or macrocephaly (enlargement of the head), particularly in children[6]
- Cysts in the suprasellar region in children have presented as bobbing and nodding of the head called bobble-head doll syndrome.[6]
- Cysts in the left middle cranial fossa have been associated with ADHD in a study on affected children.[7]
- Headaches.[2] A patient experiencing a headache does not necessarily have an arachnoid cyst.
- In a 2002 study involving 78 patients with a migraine or tension-type headache, CT scans showed abnormalities in over a third of the patients, though arachnoid cysts only accounted for 2.6% of patients in this study.[8]
- A study found 18% of patients with intracranial arachnoid cysts had non-specific headaches. The cyst was in the temporal location in 75% of these cases.[9]
- Seizures[2]
- Hydrocephalus (excessive accumulation of cerebrospinal fluid)[2]
- Increased intracranial pressure[2]
- Developmental delay[2]
- Behavioral changes[2]
- Nausea
- Hemiparesis (weakness or paralysis on one side of the body)[2]
- Ataxia (lack of muscle control)[2]
- Musical hallucination[10]
- Pre-senile dementia,[11] a condition often associated with Alzheimer's disease
- In elderly patients (>80 years old) symptoms were similar to chronic subdural hematoma or normal pressure hydrocephalus:[12]
- Dementia
- Urinary incontinence
- Hemiparesis
- Headache
- Seizures
Location-specific symptoms
- A supratentorial arachnoid cyst can mimic a Ménière's disease attack.[13]
- Frontal arachnoid cysts have been associated with depression.[14]
- Cysts on the left temporal lobe have been associated with psychosis. However this remains controversial and subjective to the individual clinician.[15][16] A left fronto-temporal cyst more specifically showed symptoms of alexithymia.[17]
- Cyst on the right sylvian fissure resulted in new onset of schizophrenia-like symptoms at age 61.[18]
- A patient with a cyst on the left middle cranial fossa had auditory hallucinations, migraine-like headaches, and periodic paranoia[9]
- Patients with left temporal lobe cysts had mood disturbances similar to manic depression (bipolar disorder) and were known to show outward aggression[19]
- Patients with arachnoid cysts may never show symptoms, even in some cases where the cyst is large
Causes
The exact cause of arachnoid cysts is not known. Researchers believe that most cases of arachnoid cysts are developmental malformations that arise from the unexplained splitting or tearing of the arachnoid membrane.
In some cases, arachnoid cysts occurring in the middle fossa are accompanied by underdevelopment (hypoplasia) or compression of the temporal lobe. The exact role that temporal lobe abnormalities play in the development of middle fossa arachnoid cysts is unknown.
There are some cases where hereditary disorders have been connected with arachnoid cysts.[20]
Some complications of arachnoid cysts can occur when a cyst is damaged because of minor head trauma. Trauma can cause the fluid within a cyst to leak into other areas (e.g., subarachnoid space). Blood vessels on the surface of a cyst may tear and bleed into the cyst (intracystic hemorrhage), increasing its size. If a blood vessel bleeds on the outside of a cyst, a collection of blood (hematoma) may result. In the cases of intracystic hemorrhage and hematoma, the individual may have symptoms of increased pressure within the cranium and signs of compression of nearby nerve (neural) tissue.
Some scientists debate whether arachnoid cysts are a true congenite condition or if this should be separated from secondary cysts.[21] A recent study shows differences in communication between the arachnoid cyst and the subarachnoid space by CT cisternography .[22] A comparison of arachnoid cyst fluid and CSF in a series of patients show differences in chemical composition.[23]
Arachnoid cysts can also occur secondary to other disorders such as Marfan syndrome, arachnoiditis, or agenesis of the corpus callosum.
Diagnosis


Diagnosis is principally by MRI. Frequently, arachnoid cysts are incidental findings on MRI scans performed for other clinical reasons. In practice, diagnosis of symptomatic arachnoid cysts requires symptoms to be present, and many with the disorder never develop symptoms.
Additional clinical assessment tools that can be useful in evaluating a patient with arachnoid cysts include the mini-mental state examination (MMSE), a brief questionnaire-based test used to assess cognition.[11]
Treatment/Management
Most arachnoid cysts are asymptomatic and do not require treatment. Treatment may be necessary when symptomatic.[2] A variety of procedures may be used to decompress (remove pressure from) the cyst.
- Surgical placement of a cerebral shunt:[24]
- An internal shunt drains into the subdural compartment.[25]
- A cystoperitoneal shunt drains to the peritoneal cavity.[26]
- Fenestration:
- Craniotomy with excision[27]
- Various endoscopic techniques are proving effective,[28] including laser-assisted techniques.[29]
- Drainage by needle aspiration or burr hole.
- Capsular resection[12]
- Pharmacological treatments may address specific symptoms such as seizures or pain.
Prognosis
Most arachnoid cysts are asymptomatic, and do not require treatment. Where complications are present, leaving arachnoid cysts untreated, may cause permanent severe neurological damage due to the progressive expansion of the cyst(s) or hemorrhage (bleeding).[2] However, with treatment most individuals with symptomatic arachnoid cysts do well.
More specific prognoses are listed below:
- Patients with impaired preoperative cognition had postoperative improvement after surgical decompression of the cyst.[30][31]
- Surgery can resolve psychiatric manifestations in selected cases.[32]
Epidemiology
Arachnoid cysts are seen in up to 1.1% of the population[33][34] with a gender distribution of 2:1 male:female [35] Only 20% of these have symptoms, usually from secondary hydrocephalus.[33]
A study that looked at 2,536 healthy young males found a prevalence of 1.7% (95% CI 1.2 to 2.3%). Only a small percentage of the detected abnormalities require urgent medical attention.[36]
See also
- Acoustic Neuroma
- Arachnoiditis
- Brain Tumors, General
- Dandy-Walker syndrome
- Empty Sella Syndrome
- Porencephaly
- Syringomyelia
- Hyperprolactinemia
- Panhypopituitarism
- Arnold-Chiari Malformation
- Hydrocephalus
References
- ↑ Ariai S, Koerbel A, Bornemann A, Morgala M, Tatagiba M. "Cerebellopontine angle arachnoid cyst harbouring ectopic neuroglia", Pediatr Neurosurg. 2005 Jul-Aug;41(4):220-3. (PMID 16088260)
- 1 2 3 4 5 6 7 8 9 10 11 12 13 http://www.ninds.nih.gov/disorders/arachnoid_cysts/arachnoid_cysts.htm NINDS Arachnoid Cysts Information Page
- ↑ Gelabert-Gonzalez M. "Intracranial arachnoid cysts", Rev Neurol., 2004 Dec 16-31;39(12):1161-6. (PMID 15625636)
- 1 2 Arachnoid cyst. (n.d.). Gale Encyclopedia of Neurological Disorders. Retrieved September 10, 2006, from Answers.com Web site: http://www.answers.com/topic/arachnoid-cyst
- ↑ Reed SD, Cho DY, Paulsen D. Quadrigeminal Arachnoid Cysts in a kitten and a dog. J Vet Diagn Invest 2009. 21(5):707-710.
- 1 2 Barker RA, Scolding N, Rowe D, Larner AJ. The A-Z of Neurological Practice: A Guide to Clinical Neurology Cambridge University Press 2005 Jan 10, p61. (ISBN 0-521-62960-8)
- ↑ Millichap JG. "Temporal lobe arachnoid cyst-attention deficit disorder syndrome: role of the electroencephalogram in diagnosis", Neurology 1997 May;48(5):1435-9. (PMID 9153486)
- ↑ Valença MM, Valença LP, Menezes TL. "Computed tomography scan of the head in patients with migraine or tension-type headache", Arq Neuropsiquiatr. 2002 Sep;60(3-A):542-7. (PMID 12244387)
- 1 2 Cameron AD. "Psychotic phenomena with migraine and an arachnoid cyst", Progress in Neurology and Psychiatry 2002 Mar-Apr 6(2) http://www.escriber.com/Progress/Features.asp? Action=View&Archive=True&ID=67&GroupID=&Page=11 Archived September 28, 2007, at the Wayback Machine.
- ↑ Griffiths TD. "Musical hallucinosis in acquired deafness. Phenomenology and brain substrate.", Brain, 2000 Oct;123 ( Pt 10):2065-76. (PMID 11004124)
- 1 2 Richards G, Lusznat RM. "An arachnoid cyst in a patient with pre-senile dementia", Progress in Neurology and Psychiatry, 2001 May–June;5(3) http://www.escriber.com/Progress/Features.asp? Action=View&Archive=True&ID=29&GroupID=&Page=18 Archived September 28, 2007, at the Wayback Machine.
- 1 2 Yamakawa H, Ohkuma A, Hattori T, Niikawa S, Kobayashi H. "Primary intracranial arachnoid cyst in the elderly: a survey on 39 cases", Acta Neurochir (Wien). 1991;113(1-2):42-7. (PMID 1799142)
- ↑ Buongiorno G, Ricca G. "Supratentorial arachnoid cyst mimicking a Ménière's disease attack", J Laryngol Otol. 2003 Sep;117(9):728-30. (PMID 14561365)
- ↑ Cummings JL, Mega MS. Neuropsychiatry and Behavioral Neuroscience, Oxford University Press, USA; 2Rev Ed, 2003 Jan 23;208. (ISBN 0-19-513858-9)
- ↑ Alves da Silva J, Alves A, Talina M, Carreiro S, Guimarães J, Xavier M. "Arachnoid cyst in a patient with psychosis: a case report" Annals of General Psychiatry 2007, 6:16
- ↑ Vakis AF, Koutentakis DI, Karabetsos DA, Kalostos GN. "Psychosis-like syndrome associated with intermittent intracranial hypertension caused by a large arachnoid cyst of the left temporal lobe", Br J Neurosurg. 2006 Jun;20(3):156-9. (PMID 16801049)
- ↑ Blackshaw S, Bowen RC. "A case of atypical psychosis associated with alexithymia and a left fronto-temporal lesion: possible correlations", Can J Psychiatry 1987 Nov;32(8):688-92. (PMID 3690485)
- ↑ Cullum CM, Heaton RK, Harris MJ, Jeste DV. "Neurobehavioral and neurodiagnostic aspects of late-onset psychosis", Arch Clin Neuropsychol. 1994 Oct;9(5):371-82. (PMID 14589653)
- ↑ Heinrichs, RW. In Search of Madness: Schizophrenia and Neuroscience Oxford University Press, USA (March 29, 2001); p129. (ISBN 0-19-512219-4)
- ↑ Schievink WI, Huston J 3rd, Torres VE, Marsh WR. "Intracranial cysts in autosomal dominant polycystic kidney disease" J Neurosurg 1995 Dec;83(6):1004-7. (PMID 7490613)
- ↑ Westermaier T, Schweitzer T, Ernestus RI. "Arachnoid cysts" Adv Exp Med Biol 2012 724:37-50. (PMID 22411232)
- ↑ Wang X, Chen JX, You C, Jiang S, "CT cisternography in intracranial symptomatic arachnoid cysts: classification and treatment" J Neurol Sci 2012 Jul 15;318(1-2):125-30. (PMID 22520095)
- ↑ Berle M, Wester KG, Ulvik RJ, Kroksveen AC, Haaland OA, Amiry-Moghaddam M, Berven FS, Helland CA, "Arachnoid cysts do not contain cerebrospinal fluid: A comparative chemical analysis of arachnoid cyst fluid and cerebrospinal fluid in adults" Cerebrospinal Fluid Res 2010 Jun 10;7(1):8. (PMID 20537169)
- ↑ Strojnik T. "Different approaches to surgical treatment of arachnoid cysts", Wiener Klinische Wochenschrift. 2006;118 Suppl 2:85-8. (PMID 16817052)
- ↑ Helland CA, Wester K. "Arachnoid cysts in adults: long-term follow-up of patients treated with internal shunts to the subdural compartment", Surg Neurol. 2006 Jul;66(1):56-61; discussion 61. (PMID 16793443)
- ↑ Park SW, Yoon SH, Cho KH, Shin YS. "A large arachnoid cyst of the lateral ventricle extending from the supracerebellar cistern—case report", Surg Neurol 2006 Jun;65(6):611-14. (PMID 16720186)
- ↑ Gangemi M, Colella G, Magro F, Maiuri F. "Suprasellar arachnoid cysts: endoscopy versus microsurgical cyst excision and shunting", Br J Neurosurg 2007 Jun;21(3):276-80. (PMID 17612918)
- ↑ Greenfield JP, Souweidane MM. "Endoscopic management of intracranial cysts", Neurosurg Focus. 2005 Dec 15;19(6):E7. (PMID 16398484)
- ↑ Van Beijnum J, Hanlo PW, Han KS, Ludo Van der Pol W, Verdaasdonk RM, Van Nieuwenhuizen O. "Navigated laser-assisted endoscopic fenestration of a suprasellar arachnoid cyst in a 2-year-old child with bobble-head doll syndrome", J Neurosurg. 2006 May;104(5 Suppl):348-51. (PMID 16848093)
- ↑ Wester K, Hugdahl K. "Arachnoid cysts of the left temporal fossa: impaired preoperative cognition and postoperative improvement." J Neurol Neurosurg Psychiatry 1995 Sep;59(3):293-8. (PMID 7673959)
- ↑ Wester K. "Intracranial arachnoid cysts--do they impair mental functions?" J Neurol 2008 Aug;255(8):1113-20. (PMID 18677648)
- ↑ Kohn R, Lilly RB, Sokol MS, Malloy PF. "Psychiatric presentations of intracranial cysts", J Neuropsychiatry Clin Neurosci 1989; 1:60-66. (PMID 2577719)
- 1 2 Flaherty AW. The Massachusetts General Hospital Handbook of Neurology 2000 Jan 1;105. (ISBN 0-683-30576-X)
- ↑ Vernooij MW, Ikram MA, Tanghe HL, Vincent AJ, Hofman A, Krestin GP, Niessen WJ, Breteler MM, van der Lugt A. "Incidental findings on brain MRI in the general population" 'N Engl J Med 2007 Nov 1;357(18):1821-8. (PMID 17978290)
- ↑ Pradilla G, Jallo G. "Arachnoid cysts: case series and review of the literature" 'Neurosurg Focus 2007 Feb 15;22(2):E7. (PMID 17608350)
- ↑ Weber F, Knopf H. "Incidental findings in magnetic resonance imaging of the brains of healthy young men", J Neurol Sci. 2006 Jan 15;240(1-2):81-4. Epub 2005 Oct 26. (PMID 16256141)
External links
- Video of endoscopic fenestration procedure
- Video of MRI scan showing two arachnoid cysts
- Documentary about arachnoid cyst
