Brunner's glands
| Brunner's glands | |
|---|---|
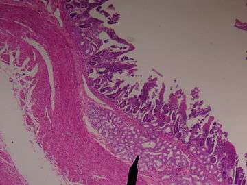
![]() Section of duodenum. (Duodenal glands in submucosa are labeled at right, fourth from the top.) | |
| Details | |
| Identifiers | |
| Latin | glandulae duodenales |
| TA | A05.6.02.017 |
| FMA | 71622 |
Brunner's glands (or duodenal glands) are compound tubular submucosal glands found in that portion of the duodenum which is above the hepatopancreatic sphincter (aka sphincter of Oddi). The main function of these glands is to produce a mucus-rich alkaline secretion (containing bicarbonate) in order to:
- protect the duodenum from the acidic content of chyme (which is introduced into the duodenum from the stomach);
- provide an alkaline condition for the intestinal enzymes to be active, thus enabling absorption to take place;
- lubricate the intestinal walls.
They also secrete urogastrone, which inhibits parietal and chief cells of the stomach from secreting acid and their digestive enzymes.[1] This is another form of protection for the duodenum.
They are the distinguishing feature of the duodenum, and are named for the Swiss physician who first described them, Johann Conrad Brunner.
Purpose
The Brunner glands, which empty into the intestinal glands, secrete an alkaline fluid composed of mucin, which exerts a physiologic anti-acid function by coating the duodenal epithelium, therefore protecting it from the acid chyme of the stomach. Furthermore, in response to the presence of acid in the duodenum, these glands secrete pepsinogen and urogastrone, which inhibit gastric acid secretion.
The main function of these glands is to produce a mucus-rich alkaline secretion (containing bicarbonate) in order to:
- protect the duodenum from the acidic content of chyme (which is introduced into the duodenum from the stomach);
- provide an alkaline condition for the intestinal enzymes to be active, thus enabling absorption to take place;
- lubricate the intestinal walls.
Identifying
The duodenum is readily distinguished from other regions of the small intestine by the presence of submucosal Brunner's glands, which may pack the submucosa so completely that the typical submucosal connective tissue is obscured.
Clinical significance
Hyperplasia of Brunner glands with a lesion greater than 1 cm was initially described as a Brunner gland adenoma. Several features of these lesions favor their designation as hamartomas, including the lack of encapsulation; the mixture of acini, smooth muscles, adipose tissue, Paneth cells, and mucosal glands; and the lack of any cell atypia. These hamartomas are rare, with approximately 150 cases described in the literature.6 It is estimated that they represent approximately 5-10% of benign duodenal tumors. They are variable in size, typically 1–3 cm, with only a few reported cases of lesions larger than 5 cm.
Symptoms
Most patients with Brunner gland hamartomas are asymptomatic or have nonspecific complaints such as nausea, bloating, or vague abdominal pain.
Treatment
Most reports in the literature describe local surgical resection of Brunner gland hamartoma via duodenotomy. Increasingly, successful endoscopic resection has been reported and is primarily used for pedunculated Brunner gland hamartomas. The endoscopic approach in selective cases appears to be safe, less invasive, and less costly
See also
References
External links
- Histology image: 11504loa – Histology Learning System at Boston University - "Digestive System: Alimentary Canal: pyloro/duodenal junction, duodenum"
- Histology image: 11513loa – Histology Learning System at Boston University - "Digestive System: Alimentary Canal: pyloro/duodenal junction"
- Histology image: 11609loa – Histology Learning System at Boston University - "Digestive System: Alimentary Canal: duodenum, plicae circularis"
