Buchnera (bacterium)
| Buchnera aphidicola | |
|---|---|
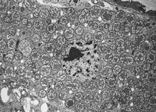
![]() | |
| Buchnera aphidicola in a host cell | |
| Scientific classification | |
| Kingdom: | Bacteria |
| Phylum: | Proteobacteria |
| Class: | Gamma Proteobacteria |
| Order: | Enterobacteriales |
| Family: | Enterobacteriaceae |
| Genus: | Buchnera |
| Species: | B. aphidicola |
| Binomial name | |
| Buchnera aphidicola | |
Buchnera aphidicola, a member of the Proteobacteria, is the primary endosymbiont of aphids, and has been studied in the pea aphid, Acyrthosiphon pisum. Buchnera is believed to have had a free-living, Gram-negative ancestor similar to a modern Enterobacteriaceae, such as Escherichia coli. Buchnera is 3 µm in diameter and has some of the key characteristics of their Enterobacteriaceae relatives, such as a Gram-negative cell wall. However, unlike most other Gram-negative bacteria, Buchnera lacks the genes to produce lipopolysaccharides for its outer membrane. The long association with aphids and the limitation of crossover events due to strictly vertical transmission has seen the deletion of genes required for anaerobic respiration, the synthesis of amino sugars, fatty acids, phospholipids, and complex carbohydrates. This has resulted not only in one of the smallest known genomes of any living organism, but also one of the most genetically stable.
The symbiotic relationship with aphids began between 160 million and 280 million years ago,[1] and has persisted through maternal transmission and cospeciation. Aphids have developed bacteriocyte cells to house Buchnera. A mature aphid may carry an estimated 5.6 × 106 Buchnera cells. Buchnera has lost regulatory factors, allowing continuous overproduction of tryptophan and other amino acids. Each bacteriocyte contains multiple vesicles, symbiosomes derived from the plasma membrane.
Buchnera also increases the transmission of plant viruses by producing symbionin, a protein that binds to the viral coat and protects it inside the aphid. This makes it more likely that the virion will survive and be able to infect another plant when the aphid next feeds.[1]
Buchnera was named after Paul Buchner(de:) by Paul Baumann and his graduate student, and the first molecular characterization of a symbiotic bacterium was carried out by Baumann, using Buchnera. The initial studies on Buchnera later led to studies on symbionts of many groups of insects, pursued by numerous investigators, including Paul and Linda Baumann, Nancy Moran, Serap Aksoy, and Roy Gross, who together investigated symbionts of aphids, tsetse flies, ants, leafhoppers, mealybugs, whiteflies, psyllids, and others.
References
- 1 2 Banerjee, S; Hess, D; Majumder, P; Roy, D; Das, S (2004). "The Interactions of Allium sativum Leaf Agglutinin with a Chaperonin Group of Unique Receptor Protein Isolated from a Bacterial Endosymbiont of the Mustard Aphid". The Journal of Biological Chemistry. 279 (22): 23782–9. doi:10.1074/jbc.M401405200. PMID 15028723.
- Pérez-Brocal V, Gil R, Ramos S, Lamelas A, Postigo M, Michelena J, Silva F, Moya A, Latorre A (2006). "A small microbial genome: the end of a long symbiotic relationship?". Science. 314 (5797): 312–3. doi:10.1126/science.1130441. PMID 17038625.
- Douglas, A E (1998). "Nutritional interactions in insect-microbial symbioses: Aphids and their symbiotic bacteria Buchnera". Annual Review of Entomology. 43: 17–38. doi:10.1146/annurev.ento.43.1.17. ISSN 0066-4170. PMID 15012383.
External links
- Buchnera Genome Projects (from Genomes OnLine Database)
- Comparative Analysis of Buchnera Genomes (at DOE's IMG system)
