CADASIL syndrome

CADASIL syndrome
Brain MRI from patients with CADASIL showing multiple lesions.
Classification and external resources
OMIM 125310
DiseasesDB 2161
Patient UK CADASIL syndrome
MeSH D046589
GeneReviews
Orphanet 136

CADASIL ("Cerebral Autosomal-Dominant Arteriopathy with Subcortical Infarcts and Leukoencephalopathy") is the most common form of hereditary stroke disorder, and is thought to be caused by mutations of the Notch 3 gene on chromosome 19.[1] The disease belongs to a family of disorders called the Leukodystrophies. The most common clinical manifestations are migraine headaches and transient ischemic attacks or strokes, which usually occur between 40 and 50 years of age, although MRI is able to detect signs of the disease years prior to clinical manifestation of disease.[2][3]

Signs and symptoms

CADASIL may start with attacks of migraine with aura or subcortical transient ischemic attacks or strokes, or mood disorders between 35 and 55 years of age. The disease progresses to subcortical dementia associated with pseudobulbar palsy and urinary incontinence.

Ischemic strokes are the most frequent presentation of CADASIL, with approximately 85% of symptomatic individuals developing transient ischemic attacks or stroke(s). The mean age of onset of ischemic episodes is approximately 46 years (range 30–70). A classic lacunar syndrome occurs in at least two-thirds of affected patients while hemispheric strokes are much less common. It is worthy of note that ischemic strokes typically occur in the absence of traditional cardiovascular risk factors. Recurrent silent strokes, with or without clinical strokes, often lead to cognitive decline and overt subcortical dementia. A case of CADASIL presenting as schizophreniform organic psychosis has been reported.[4]

Pathophysiology

The underlying pathology of CADASIL is progressive degeneration of the smooth muscle cells in blood vessels. Mutations in the Notch 3 gene (on the short arm of chromosome 19) cause an abnormal accumulation of Notch 3 at the cytoplasmic membrane of vascular smooth-muscle cells both in cerebral and extracerebral vessels,[5] seen as granular osmiophilic deposits on electron microscopy.[6]

Diagnosis

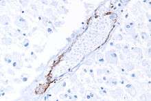
A micrograph showing punctate immunostaining (brown) with a Notch 3 antibody, as is characteristic in CADASIL.

MRIs show hypointensities on T1-weighted images and hyperintensities on T2-weighted images, usually multiple confluent white matter lesions of various sizes, are characteristic. These lesions are concentrated around the basal ganglia, peri-ventricular white matter, and the pons, and are similar to those seen in Binswanger disease.[2][7] These white matter lesions are also seen in asymptomatic individuals with the mutated gene.[8] While MRI is not used to diagnose CADASIL, it can show the progression of white matter changes even decades before onset of symptoms.

The definitive test is sequencing the whole Notch 3 gene, which can be done from a sample of blood. However, as this is quite expensive and CADASIL is a systemic arteriopathy, evidence of the mutation can be found in small and medium-size arteries. Therefore, skin biopsies are often used for the diagnosis.[9][10]

Treatment

No specific treatment is available. However, anti-platelet agents such as aspirin, dipyridamole, or clopidogrel might slow down the disease and help prevent strokes. Given the propensity for cardiovascular and cerebrovascular complications, minimizing vascular risk factors and implementing therapy for primary or secondary prevention of stroke and myocardial infarction seems prudent. Stopping oral contraceptive pills is justified in particular in cases with migraine with aura. Aggressive treatment of hypercholesterolemia and hypertension is reasonable, although the utility of statins and antihypertensive agents in the absence of cardiovascular risk factors is unknown. Homocysteine levels are elevated in CADASIL and treatment with folic acid is reasonable. Anti-platelet therapy appears justifiable, whereas anticoagulation may be inadvisable given the propensity for microhemorrhages, and thus warfarin should be avoided. Administering tPA following onset of stroke is not advised for CADASIL patients, due to increased risk of microhemorrhages.[11]

Some CADASIL patients have used L-Arginine, a naturally occurring amino acid, to ease symptoms such as headache. Aricept, normally used for Alzheimer's Disease, was tested and was shown not to improve executive functioning in CADASIL patients.[12]

John Ruskin has been suggested to have suffered from CADASIL[13] Ruskin reported in his diaries having visual disturbances consistent with the disease, and it has also been suggested that it might have been a factor in causing him to describe James Whistler's Nocturne in Black and Gold – The Falling Rocket as "ask[ing] two hundred guineas for throwing a pot of paint in the public's face". This resulted in the famous libel trial that resulted in a jury's awarding Whistler one farthing damages.[13]

Recent research into the illness of philosopher Friedrich Nietzsche has suggested that his mental illness and death were caused by CADASIL rather than tertiary syphilis.[14] Likewise, the early death of the composer Felix Mendelssohn, at age 37, from a stroke has been potentially linked to CADASIL. His sister, Fanny Mendelssohn, was similarly affected.[15]The character Julia, in the 2004 Spanish film The Sea Inside, has the condition.

See also

References

  1. Joutel A, Corpechot C, Ducros A, et al. (October 1996). "Notch3 mutations in CADASIL, a hereditary adult-onset condition causing stroke and dementia". Nature. 383 (6602): 707–10. doi:10.1038/383707a0. PMID 8878478.
  2. 1 2 Chabriat H, Vahedi K, Iba-Zizen MT, et al. (October 1995). "Clinical spectrum of CADASIL: a study of 7 families. Cerebral autosomal dominant arteriopathy with subcortical infarcts and leukoencephalopathy". Lancet. 346 (8980): 934–9. doi:10.1016/s0140-6736(95)91557-5. PMID 7564728.
  3. James, William D.; Berger, Timothy G.; et al. (2006). Andrews' Diseases of the Skin: clinical Dermatology. Saunders Elsevier. p. 545. ISBN 0-7216-2921-0.
  4. "CADASIL presenting as schizophreniform organic psychosis". General Hospital Psychiatry. doi:10.1016/j.genhosppsych.2015.02.006.
  5. Joutel A, Andreux F, Gaulis S, et al. (March 2000). "The ectodomain of the Notch3 receptor accumulates within the cerebrovasculature of CADASIL patients". J. Clin. Invest. 105 (5): 597–605. doi:10.1172/JCI8047. PMC 289174Freely accessible. PMID 10712431.
  6. Ruchoux MM, Guerouaou D, Vandenhaute B, Pruvo JP, Vermersch P, Leys D (1995). "Systemic vascular smooth muscle cell impairment in cerebral autosomal dominant arteriopathy with subcortical infarcts and leukoencephalopathy". Acta Neuropathol. 89 (6): 500–12. doi:10.1007/BF00571504. PMID 7676806.
  7. Ropper AH, Brown RH, eds. (2005). "Cerebrovascular Diseases". Adams and Victor's Principles of Neurology. New York: McGraw-Hill. ISBN 978-0-07-141620-7.
  8. Tournier-Lasserve E, Joutel A, Melki J, et al. (March 1993). "Cerebral autosomal dominant arteriopathy with subcortical infarcts and leukoencephalopathy maps to chromosome 19q12". Nat. Genet. 3 (3): 256–9. doi:10.1038/ng0393-256. PMID 8485581.
  9. Joutel A, Favrole P, Labauge P, et al. (December 2001). "Skin biopsy immunostaining with a Notch3 monoclonal antibody for CADASIL diagnosis". Lancet. 358 (9298): 2049–51. doi:10.1016/S0140-6736(01)07142-2. PMID 11755616.
  10. Ueda M, Nakaguma R, Ando Y (March 2009). "[Cerebral autosomal dominant arteriopathy with subcortical infarcts and leukoencephalopathy (CADASIL)]". Rinsho Byori (in Japanese). 57 (3): 242–51. PMID 19363995.
  11. Lesnik Oberstein, S. A.; van den Boom, R.; van Buchem, M. A.; van Houwelingen, H. C.; Bakker, E.; Vollebregt, E.; Ferrari, M. D.; Breuning, M. H.; Haan, J. (2001-09-25). "Cerebral microbleeds in CADASIL". Neurology. 57 (6): 1066–1070. doi:10.1212/wnl.57.6.1066. ISSN 0028-3878. PMID 11571335.
  12. http://journals.lww.com/neurotodayonline/Citation/2008/04030/Donepezil_Fails_to_Improve_Cognition_in_Patients.14.aspx
  13. 1 2 Kempster PA, Alty JE (September 2008). "John Ruskin's relapsing encephalopathy". Brain. 131 (Pt 9): 2520–5. doi:10.1093/brain/awn019. PMID 18287121.
  14. Hemelsoet D, Hemelsoet K, Devreese D (March 2008). "The neurological illness of Friedrich Nietzsche". Acta Neurol Belg. 108 (1): 9–16. PMID 18575181.
  15. http://chambermusictoday.blogspot.com/2008/09/mendelssohns-premature-death.html
Wikimedia Commons has media related to CADASIL syndrome.
This article is issued from Wikipedia - version of the 11/28/2016. The text is available under the Creative Commons Attribution/Share Alike but additional terms may apply for the media files.