Cardiac magnetic resonance imaging
| Cardiac magnetic resonance imaging | |
|---|---|
| Intervention | |
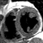
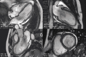
![]() An example of CMR movies in different orientations of a cardiac tumor - in this case, an atrial myxoma.[1] | |
| ICD-10-PCS | |
| ICD-9-CM | 88.92 |
| OPS-301 code | 3-803, 3-824 |
Cardiovascular magnetic resonance imaging (CMR), sometimes known as cardiac MRI, is a medical imaging technology for the non-invasive assessment of the function and structure of the cardiovascular system. It is derived from and based on the same basic principles as magnetic resonance imaging (MRI) but with optimization for use in the cardiovascular system. These optimizations are principally in the use of ECG gating and rapid imaging techniques or sequences. By combining a variety of such techniques into protocols, key functional and morphological features of the cardiovascular system can be assessed.
Uses
In the investigation of cardiovascular disease the physician has a wide variety of tools available. The key disadvantages of CMR are limited availability, expense, and special skills/technical training needed to perform CMR (vs other types of MRI). New volumetric acquisitions can shorten and simplify the scan as they can replace several sequences, acquiring the entire cardiac volume at once. The key advantages are image quality, non-invasiveness, accuracy, versatility and no ionising radiation.
MRA (magnetic resonance angiography) can produce 3D and 4D images of blood vessels and the flow of blood through the vessels.
A good overview of the clinical indications for CMR can be found here [2] and here [3]
A good overview of the quantifiable results available from CMR may be found here.[4]
Risks
There is no proven risk of biological harm from even very powerful static magnetic fields.[5][6] However, genotoxic effects of cardiac MRI scanning have been demonstrated in vivo and in vitro,[7][8][9][10] leading a recent review to recommend "a need for further studies and prudent use in order to avoid unnecessary examinations, according to the precautionary principle".[6] In a comparison of genotoxic effects of MRI compared with those of CT scans, the cancer risk of MRI is unknown. As prior MRI risk research was only based on cell level experiments and there is no information on their relevance for developing malignant cells, these results do not provide definitive evidence for an actual cancer risk.[11] This stands in contrast to the medical exposure of ionizing radiation which is clearly linked with cancer risk.[12] Furthermore, dsDNA breaks as observed in these preliminary MRI studies are known to occur as a part of normal physiology including brain activity during wakefulness.[13] Thus, MRI is still to be considered the safest of the advanced imaging techniques.
Physics
CMR uses the same basic principles as other MRI techniques with the addition of ECG gating. Most CMR uses only 1H nuclei MR, which are abundant in human tissue. By using magnetic fields and radiofrequency (RF) pulses, the patient's own 1H nuclei absorb and then emit energy, which can be measured and translated into images, without using ionising radiation.
Techniques
CMR uses several different techniques within a single scan. The combination of these results in a comprehensive assessment of the heart and cardiovascular system. Examples are below:
Visualising heart muscle scar or fat without using a contrast agent
Typically a sequence called spin echo is used. This causes the blood to appear black. These are high resolution still images which in certain circumstances identify abnormal myocardium through differences in intrinsic contrast.


Heart function using cine imaging
Images of the heart may be acquired in real-time with CMR, but the image quality is limited. Instead most sequences use ECG gating to acquire images at each stage of the cardiac cycle over several heart beats. This technique forms the basis of functional assessment by CMR. Blood typically appears bright in these sequences due to the contrast properties of blood and its rapid flow. The technique can discriminate very well between blood and myocardium. The current technique typically used for this is called balanced steady state free precession (bSSFP), implemented as TrueFISP, b-FFE or Fiesta, depending on scanner manufacturer.

A 4 chamber view of the heart using SSFP cine imaging. Compare the image orientation (4 chamber) with the short axis view of the movie above
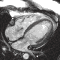
Infarct imaging using contrast
Scar is best seen after giving a contrast agent, typically one containing gadolinium bound to DTPA. With a special sequence, Inversion Recovery (IR) normal heart muscle appears dark, whilst areas of infarction appear bright white.

CMR in the 4 chamber view comparing the cine (left) with the late gadolinium image using inversion recovery (right). The subendocardial infarct is clearly seen. Fat around the heart also appears white.
Perfusion
In angina, the heart muscle is starved of oxygen by a coronary artery narrowing, especially during stress. This appears as a transient perfusion defect when a dose of contrast is given into a vein. Knowing whether a perfusion defect is present and where it is helps guide intervention and treatment for coronary artery narrowings.

CMR perfusion. Contrast appears in the right ventricle then left ventricle before blushing into the muscle, which is normal (left) and abnormal (right, an inferior perfusion defect).
Blood flow and physiology
Blood flow can be visualized and quantified on scans acquired with a scan sequence called 4D flow. These volumetric scans capture multidirectional flow values anywhere within the imaged volume throughout the cardiac cycle, leading to a comprehensive exam of the entire anatomy.[15] Visualization can display flow velocity maps, vectors and streamline

4D flow visualization. flow (left) and streamlines (center) and vectors (right).
Children and congenital heart disease
Congenital heart defects are the most common type of major birth defect. Accurate diagnosis is essential for the development of appropriate treatment plans. CMR can provide comprehensive information about the nature of congenital hearts defects in a safe fashion without using x-rays or entering the body. It is rarely used as the first or sole diagnostic test for congenital heart disease.
Rather, it is typically used in concert with other diagnostic techniques. In general, the clinical reasons for a CMR examination fall into one or more of the following categories: 1) when echocardiography (cardiac ultrasound) cannot provide sufficient diagnostic information, 2) as an alternative to diagnostic cardiac catheterization which involve risks including x-ray radiation exposure, 3) to obtain diagnostic information for which CMR offers unique advantages such as blood flow measurement or identification of cardiac masses, and 4) when clinical assessment and other diagnostic tests are inconsistent. Examples of conditions in which CMR is often used include tetralogy of Fallot, transposition of the great arteries, coarctation of the aorta, single ventricle heart disease, abnormalities of the pulmonary veins, atrial septal defect, connective tissue diseases such as Marfan syndrome, vascular rings, abnormal origins of the coronary arteries, and cardiac tumors.

Atrial septal defect with dilation of the right ventricle by CMR

Partial Anomalous Pulmonary Venous Drainage by CMR
CMR examinations in children typically last 15 to 60 minutes. In order to avoid blurry images the child must remain very still during the examination. Different institutions have different protocols for pediatric CMR, but most children 7 years of age and older can cooperate sufficiently for a good quality examination. Providing an age-appropriate explanation of the procedure to the child in advance will increase the likelihood of a successful study. After proper safety screening, parents can be allowed into the MRI scanner room to help their child complete the examination. Some centers allow children to listen to music or watch movies through a specialized MRI-compatible audiovisual system to reduce anxiety and improve cooperation. However, the presence of a calm, encouraging, supportive parent generally produces better results in terms of pediatric cooperation than any distraction or entertainment strategy short of sedation. If the child cannot cooperate sufficiently, sedation with intravenous medications or general anesthesia may be necessary. In very young babies, it may be possible to perform the examination while they are in a natural sleep. New image capture techniques such as 4D flow require a shorter scan and can lead to reduced needs for sedation.

Enlarged right ventricle with poor function in a patient with repaired tetralogy of Fallot by CMR
Different cardiac-capable magnet types
CMR scanners require modern electronics. 'Open' magnets are a poor option for cardiac scanning, as they do not cope with the beating heart very well. There are two magnet strengths mainly in use in CMR - 1.5 tesla and 3 tesla. The 3 tesla can potentially double the amount of information acquired in a scan. It offers particular advantages for perfusion. The downsides of 3 tesla are cost, energy usage requirements, and potentially artifacts degrading the pictures.
In some cases it is possible to update or refurbish a 1.5 tesla scanner to produce CMR images of clinical/diagnostic value equal or exceeding that which is available from 3 tesla scanners.
Current manufacturers of cardiac-capable MRI scanners include Philips, Siemens, Hitachi, Toshiba, GE.
History
The phenomenon of nuclear magnetic resonance (NMR) was first described in molecular beams (1938) and bulk matter (1946), work later acknowledged by the award of a joint Nobel prize in 1952. Further investigation laid out the principles of relaxation times leading to nuclear spectroscopy. In 1973, the first simple NMR image was published and the first medical imaging in 1977, entering the clinical arena in the early 1980s. In 1984, NMR medical imaging was renamed MRI. Initial attempts to image the heart were confounded by respiratory and cardiac motion, solved by using cardiac ECG gating, faster scan techniques and breath hold imaging. Increasingly sophisticated techniques were developed including cine imaging and techniques to characterise heart muscle as normal or abnormal (fat infiltration, oedematous, iron loaded, acutely infarcted or fibrosed).
As MRI became more complex and application to cardiovascular imaging became more sophisticated, the SCMR was set up (1996) with an academic journal, (JCMR) in 1999. In a move analogous to the development of ‘echocardiography’ from cardiac ultrasound, the term ‘Cardiovascular Magnetic Resonance’ (CMR) was proposed and has gained acceptance as the name for the field.
Training
Training is being increasingly protocolised and is now formal with stages of training and accreditation. A resource for anyone thinking about CMR as a career can be found here.[16]
References
- ↑ "Case of the Week - Society for Cardiovascular Magnetic Resonance". Scmr.org. 2016-10-21. Retrieved 2016-12-02.
- ↑
- ↑
- ↑ "Quantification in cardiac MRI: advances in image acquisition and processing". Ncbi.nlm.nih.gov. 2016-11-15. Retrieved 2016-12-02.
- ↑ Formica D; Silvestri S (April 2004). "Biological effects of exposure to magnetic resonance imaging: an overview". Biomed Eng Online. 3: 11. doi:10.1186/1475-925X-3-11. PMC 419710
. PMID 15104797. - 1 2 Hartwig V; Giovannetti G; Vanello N; Lombardi M; Landini L; Simi S (2009). "Biological Effects and Safety in Magnetic Resonance Imaging: A Review". Int. J. Environ. Res. Public Health. 6 (6): 1778–1798. doi:10.3390/ijerph6061778. PMC 2705217
. PMID 19578460. - ↑ Fiechter M, Stehli J, Fuchs TA, Dougoud S, Gaemperli O, Kaufmann PA (2013). "Impact of cardiac magnetic resonance imaging on human lymphocyte DNA integrity". European Heart Journal. 34 (30): 2340–5. doi:10.1093/eurheartj/eht184. PMC 3736059
. PMID 23793096. - ↑ Lee JW, Kim MS, Kim YJ, Choi YJ, Lee Y, Chung HW (2011). "Genotoxic effects of 3 T magnetic resonance imaging in cultured human lymphocytes". Bioelectromagnetics. 32 (7): 535–42. doi:10.1002/bem.20664. PMID 21412810.
- ↑ Simi S, Ballardin M, Casella M, De Marchi D, Hartwig V, Giovannetti G, Vanello N, Gabbriellini S, Landini L, Lombardi M (2008). "Is the genotoxic effect of magnetic resonance negligible? Low persistence of micronucleus frequency in lymphocytes of individuals after cardiac scan". Mutat. Res. Fundam. Mol. Mech. Mutagen. 645 (1-2): 39–43. doi:10.1016/j.mrfmmm.2008.08.011. PMID 18804118.
- ↑ Suzuki, Y.; Ikehata, M.; Nakamura, K.; Nishioka, M.; Asanuma, K.; Koana, T.; Shimizu, H. (2001). "Induction of micronuclei in mice exposed to static magnetic fields" (PDF). Mutagenesis. 16 (6): 499–501. doi:10.1093/mutage/16.6.499. PMID 11682641.
- ↑ Knuuti J; Saraste A; Kallio M; Minn H (2013). "Is cardiac magnetic resonance imaging causing DNA damage?". European Heart Journal. 34 (30): 2337–2339. doi:10.1093/eurheartj/eht214. PMID 23821403.
- ↑ Mathews, John D.; Forsythe, Anna V.; Brady, Zoe; Butler, Martin W.; Goergen, Stacy K.; Byrnes, Graham B.; Giles, Graham G.; Wallace, Anthony B.; Anderson, Philip R. (2013-05-21). "Cancer risk in 680 000 people exposed to computed tomography scans in childhood or adolescence: data linkage study of 11 million Australians". The BMJ. 346: f2360. doi:10.1136/bmj.f2360. ISSN 1756-1833. PMC 3660619
. PMID 23694687. - ↑ Herrup, Karl; Chen, Jianmin; Li, Jiali (2013-05-01). "Breaking news: thinking may be bad for DNA". Nature Neuroscience. 16 (5): 518–519. doi:10.1038/nn.3384. ISSN 1097-6256.
- ↑ "Case of the Week - Society for Cardiovascular Magnetic Resonance". Scmr.org. 2016-10-21. Retrieved 2016-12-02.
- ↑ "4D flow cardiovascular magnetic resonance consensus Statement, Dyverfeldt et. al.". Journal of Cardiovascular Magnetic Resonance. (2015) 17:72.
- ↑
External links
- The Society for Cardiovascular Magnetic Resonance
- The Journal for Cardiovascular Magnetic Resonance
- An Atlas of normal cardiac structure and function by CMR
- Having a CMR scan
- Cardiac MRI technical primer
- ReviseMRI.com
- Hull physics lecture series
- the basics of MRI
- MRI tutor
