Achalasia
| Achalasia | |
|---|---|
|
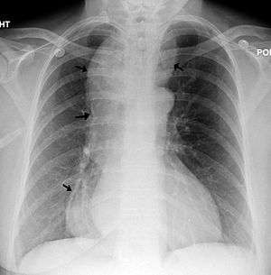
A chest X-ray showing achalasia ( arrows point to the outline of the massively dilated esophagus ) | |
| Classification and external resources | |
| Specialty | Thoracic surgery, general surgery |
| ICD-10 | K22.0 |
| ICD-9-CM | 530.0 |
| OMIM | 200400 |
| DiseasesDB | 72 |
| MedlinePlus | 000267 |
| eMedicine | radio/6 med/16 |
| Patient UK | Achalasia |
| MeSH | C06.405.117.119.500.432 |
Achalasia (/eɪkəˈleɪʒə/; a- + -chalasia "no relaxation") is a failure of smooth muscle fibers to relax, which can cause a sphincter to remain closed and fail to open when needed. Without a modifier, "achalasia" usually refers to achalasia of the esophagus, which is also called esophageal achalasia, achalasia cardiae, cardiospasm, and esophageal aperistalsis. Achalasia can happen at various points along the gastrointestinal tract; achalasia of the rectum, for instance, in Hirschsprung's disease.
Esophageal achalasia is an esophageal motility disorder involving the smooth muscle layer of the esophagus and the lower esophageal sphincter (LES).[1] It is characterized by incomplete LES relaxation, increased LES tone, and lack of peristalsis of the esophagus (inability of smooth muscle to move food down the esophagus) in the absence of other explanations like cancer or fibrosis.[2][3][4]
Achalasia is characterized by difficulty in swallowing, regurgitation, and sometimes chest pain. Diagnosis is reached with esophageal manometry and barium swallow radiographic studies. Various treatments are available, although none cures the condition. Certain medications or Botox may be used in some cases, but more permanent relief is brought by esophageal dilatation and surgical cleaving of the muscle (Heller myotomy).
The most common form is primary achalasia, which has no known underlying cause. It is due to the failure of distal esophageal inhibitory neurons. However, a small proportion occurs secondary to other conditions, such as esophageal cancer or Chagas disease (an infectious disease common in South America).[5] Achalasia affects about one person in 100,000 per year.[5][6] There is no gender predominance for the occurrence of disease.[7]
Signs and symptoms
The main symptoms of achalasia are dysphagia (difficulty in swallowing), regurgitation of undigested food, chest pain behind the sternum, and weight loss.[8] Dysphagia tends to become progressively worse over time and to involve both fluids and solids. Some people may also experience coughing when lying in a horizontal position. The chest pain experienced, also known as cardiospasm and non-cardiac chest pain can often be mistaken for a heart attack. It can be extremely painful in some sufferers. Food and liquid, including saliva, are retained in the esophagus and may be inhaled into the lungs (aspiration).
Mechanism
The cause of most cases of achalasia is unknown.[9] LES pressure and relaxation are regulated by excitatory (e.g., acetylcholine, substance P) and inhibitory (e.g., nitric oxide, vasoactive intestinal peptide) neurotransmitters. People with achalasia lack nonadrenergic, noncholinergic, inhibitory ganglion cells, causing an imbalance in excitatory and inhibitory neurotransmission. The result is a hypertensive nonrelaxed esophageal sphincter.[10]
Autopsy and myotomy specimens have, on histological examination, shown an inflammatory response consisting of CD3/CD8-positive cytotoxic T lymphocytes, variable numbers of eosinophils and mast cells, loss of ganglion cells, and neurofibrosis; these events appear to occur early in achalasia. Thus, it seems there is an autoimmune context to achalasia, most likely caused by viral triggers. Other studies suggest hereditary, neurodegenerative, genetic and infective contributions.[11]
Diagnosis

Due to the similarity of symptoms, achalasia can be mistaken for more common disorders such as gastroesophageal reflux disease (GERD), hiatus hernia, and even psychosomatic disorders. Specific tests for achalasia are barium swallow and esophageal manometry. In addition, endoscopy of the esophagus, stomach, and duodenum (esophagogastroduodenoscopy or EGD), with or without endoscopic ultrasound, is typically performed to rule out the possibility of cancer.[5] The internal tissue of the esophagus generally appears normal in endoscopy, although a "pop" may be observed as the scope is passed through the non-relaxing lower esophageal sphincter with some difficulty, and food debris may be found above the LES.
Barium swallow
The patient swallows a barium solution, with continuous fluoroscopy (X-ray recording) to observe the flow of the fluid through the esophagus. Normal peristaltic movement of the esophagus is not seen. There is acute tapering at the lower esophageal sphincter and narrowing at the gastro-esophageal junction, producing a "bird's beak" or "rat's tail" appearance. The esophagus above the narrowing is often dilated (enlarged) to varying degrees as the esophagus is gradually stretched over time.[5] An air-fluid margin is often seen over the barium column due to the lack of peristalsis. A five-minutes timed barium swallow can provide a useful benchmark to measure the effectiveness of treatment.
Esophageal manometry

Because of its sensitivity, manometry (esophageal motility study) is considered the key test for establishing the diagnosis. A thin tube is inserted through the nose, and the patient is instructed to swallow several times. The probe measures muscle contractions in different parts of the esophagus during the act of swallowing. Manometry reveals failure of the LES to relax with swallowing and lack of functional peristalsis in the smooth muscle esophagus.[5]
Characteristic manometric findings are:
- Lower esophageal sphincter (LES) fails to relax upon wet swallow (<75% relaxation)
- Pressure of LES <26 mm Hg is normal,>100 is considered achalasia, > 200 is nut cracker achalasia.
- Aperistalsis in esophageal body
- Relative increase in intra-esophageal pressure as compared with intra-gastric pressure
Biopsy
Biopsy, the removal of a tissue sample during endoscopy, is not typically necessary in achalasia but if performed shows hypertrophied musculature and absence of certain nerve cells of the myenteric plexus, a network of nerve fibers that controls esophageal peristalsis.[12]
Treatment
Sublingual nifedipine significantly improves outcomes in 75% of people with mild or moderate disease. It was classically considered that surgical myotomy provided greater benefit than either botulinum toxin or dilation in those who fail medical management.[13] However, a recent randomized controlled trial found Pneumatic Dilation to be non-inferior to Laparoscopic Heller's Myotomy.[14]
Lifestyle changes
Both before and after treatment, achalasia patients may need to eat slowly, chew very well, drink plenty of water with meals, and avoid eating near bedtime. Raising the head off the bed or sleeping with a wedge pillow promotes emptying of the esophagus by gravity. After surgery or pneumatic dilatation, proton pump inhibitors are required to prevent reflux damage by inhibiting gastric acid secretion, and foods that can aggravate reflux, including ketchup, citrus, chocolate, alcohol, and caffeine, may need to be avoided.
Medication
Drugs that reduce LES pressure are useful. These include calcium channel blockers such as nifedipine[13] and nitrates such as isosorbide dinitrate and nitroglycerin. However, many patients experience unpleasant side effects such as headache and swollen feet, and these drugs often stop helping after several months.
Botulinum toxin (Botox) may be injected into the lower esophageal sphincter to paralyze the muscles holding it shut. As in the case of cosmetic Botox, the effect is only temporary and lasts about 6 months. Botox injections cause scarring in the sphincter which may increase the difficulty of later Heller myotomy. This therapy is recommended only for patients who cannot risk surgery, such as elderly people in poor health.[5] Pneumatic dilation has a better long term effectiveness than botox.[15]
Pneumatic dilatation
In balloon (pneumatic) dilation or dilatation, the muscle fibers are stretched and slightly torn by forceful inflation of a balloon placed inside the lower esophageal sphincter. Gastroenterologists who specialize in achalasia have performed many of these forceful balloon dilatations and achieve better results and fewer perforations. There is always a small risk of a perforation which requires immediate surgical repair. Pneumatic dilatation causes some scarring which may increase the difficulty of Heller myotomy if the surgery is needed later. Gastroesophageal reflux (GERD) occurs after pneumatic dilatation in some patients. Pneumatic dilatation is most effective in the long term on patients over the age of 40; the benefits tend to be shorter-lived in younger patients. It may need to be repeated with larger balloons for maximum effectiveness.[6]
Surgery
Heller myotomy helps 90% of achalasia patients. It can usually be performed by a keyhole approach or laparoscopically.[16] The myotomy is a lengthwise cut along the esophagus, starting above the LES and extending down onto the stomach a little way. The esophagus is made of several layers, and the myotomy cuts only through the outside muscle layers which are squeezing it shut, leaving the inner muscosal layer intact. A partial fundoplication or "wrap" is generally added in order to prevent excessive reflux, which can cause serious damage to the esophagus over time. After surgery, patients should keep to a soft diet for several weeks to a month, avoiding foods that can aggravate reflux.
Most recommended fundoplication along with Heller's myotomy is Dor's fundoplication. It consists of 180 to 200 degree anterior wrap around the esophagus. It provides excellent result as compared to Nissen's fundoplication which is associated with higher incidence of the post surgery dysphagia.[17]
The shortcoming of laparoscopic esophageal myotomy is the need for a fundoplication. On one hand the myotomy opens the esophagus and on the other hand the fundoplication causes an obstruction. Recent understanding of the Gastroesophageal Antireflux Barrier/Valve has shed light on the reason for the occurrence of reflux following myotomy. The Gastroesophageal Valve is the result of infolding of the esophagus into the stomach at the esophageal hiatus. This infolding creates a valve which extends from 7 o'clock to 4 o'clock (270 degrees)around the circumference of the esophagus. Laparoscopic myotomy cuts the muscle at the 12 o'clock position resulting in incomptence of the valve and reflux. Recent Robotic Laparoscopic series have attempted a myotomy at the 5 o'clock position on the esophagus away from the valve.The Robotic Lateral Esophageal Myotomy preserves the esophgeal valve and does not result in reflux and obviates the need for a fundoplication. The Robotic Lateral Esophageal Myotomy has had the best results to date in terms of ability to eat without reflux.
Since 2010, a new endoscopic treatment modality has been introduced. Called POEM (peroral endoscopic myotomy), this therapy modality has been performed on about 2500 patients since 2010.
Follow-up
Follow-up monitoring: Even after successful treatment of achalasia, swallowing may still deteriorate over time. The esophagus should be checked every year or two with a timed barium swallow because some may need pneumatic dilatations, a repeat myotomy, or even esophagectomy after many years. In addition, some physicians recommend pH testing and endoscopy to check for reflux damage, which may lead to a premalignant condition known as Barrett's esophagus or a stricture if untreated.
Epidemiology
Incidence of achalasia is 1 to 2 per 200,000. Disease affects mostly adults between ages 30s and 50s.
References
- ↑ Park W, Vaezi M (2005). "Etiology and pathogenesis of achalasia: the current understanding". American Journal of Gastroenterology. 100 (6): 1404–1414. doi:10.1111/j.1572-0241.2005.41775.x. PMID 15929777.
- ↑ Spechler SJ, Castell DO (July 2001). "Classification of oesophageal motility abnormalities". Gut. 49 (1): 145–151. doi:10.1136/gut.49.1.145. PMC 1728354
. PMID 11413123. - ↑ Pandolfino JE, Kahrilas PJ (January 2005). "AGA technical review on the clinical use of esophageal manometry". Gastroenterology. 128 (1): 209–224. doi:10.1053/j.gastro.2004.11.008. PMID 15633138.
- ↑ Pandolfino, JE; Gawron, AJ. "2015 JAMA Review of Achalasia". Journal of the American Medical Association. 313: 1841–1852. doi:10.1001/jama.2015.2996.
- 1 2 3 4 5 6 Spiess AE, Kahrilas PJ (August 1998). "Treating achalasia: from whalebone to laparoscope". Journal of the American Medical Association. 280 (7): 638–642. doi:10.1001/jama.280.7.638. PMID 9718057.
- 1 2 Lake JM, Wong RK (September 2006). "Review article: the management of achalasia - a comparison of different treatment modalities". Alimentary Pharmacology and Therapeutics. 24 (6): 909–918. doi:10.1111/j.1365-2036.2006.03079.x. PMID 16948803.
- ↑ Francis, DL; Katzka, DA (August 2010). "Achalasia: update on the disease and its treatment.". Gastroenterology. 139 (2): 369–374. doi:10.1053/j.gastro.2010.06.024. PMID 20600038.
- ↑ Dughera, L; Cassolino, P; Cisarò, F; Chiaverina, M (September 2008). "Achalasia.". Minerva gastroenterologica e dietologica. 54 (3): 277–285. PMID 18614976.
- ↑ Cheatham, JG; Wong, RK (June 2011). "Current approach to the treatment of achalasia.". Current Gastroenterology Reports. 13 (3): 219–225. doi:10.1007/s11894-011-0190-z. PMID 21424734.
- ↑ Achalasia at eMedicine
- ↑ Chuah, SK; Hsu, PI; Wu, KL; Wu, DC; Tai, WC; Changchien, CS (14 April 2012). "2011 update on esophageal achalasia." (PDF). World journal of gastroenterology : WJG. 18 (14): 1573–1578. doi:10.3748/wjg.v18.i14.1573. PMID 22529685.
- ↑ Emanuel Rubin; Fred Gorstein; Raphael Rubin; Roland Schwarting; David Strayer (2001). Rubin's Pathology - clinicopathological foundations of medicine. Maryland: Lippincott Williams & Wilkins. p. 665. ISBN 0-7817-4733-3.
- 1 2 Wang L, Li YM, Li L (November 2009). "Meta-analysis of randomized and controlled treatment trials for achalasia". Digestive Diseases and Sciences. 54 (11): 2303–2311. doi:10.1007/s10620-008-0637-8. PMID 19107596.
- ↑ Boeckxstaens, GE; Annese, V; Bruley des Varannes, S; Chaussade, S; Costantini, M; Cuttitta, A; Elizalde, JI; Fumagalli U; Gaudric, M; Rohof, WO; Smout, AJ; Tack, J; Zwinderman, AH; Zaninotto, G; Busch, OR (12 May 2011). "Pneumatic Dilation versus Laparoscopic Heller's Myotomy for Idiopathic Achalasia". New England Journal of Medicine. 364: 1807–1816. doi:10.1056/nejmoa1010502.
- ↑ Leyden, JE; Moss, AC; MacMathuna, P (8 December 2014). "Endoscopic pneumatic dilation versus botulinum toxin injection in the management of primary achalasia.". The Cochrane database of systematic reviews. 12: CD005046. doi:10.1002/14651858.CD005046.pub3. PMID 25485740.
- ↑ Deb S, Deschamps C, Cassivi SD, et al. (2005). "Laparoscopic esophageal myotomy for achalasia: factors affecting functional results". Annals of Thoracic Surgery. 80 (4): 1191–1195. doi:10.1016/j.athoracsur.2005.04.008. PMID 16181839.
- ↑ Rebecchi F, Giaccone C, Farinella E, Campaci R, Morino M (December 2008). "Randomized controlled trial of laparoscopic Heller myotomy plus Dor fundoplication versus Nissen fundoplication for achalasia: long-term results". Annals of Surgery. 248 (6): 1023–1030. doi:10.1097/SLA.0b013e318190a776. PMID 19092347.
External links
- Achalasia at DMOZ
- U.S. Society for Surgery of the Alimentary Tract - Achalasia treatment guidelines
- Radiology of Achalasia on YouTube
