Neutral lipid storage disease
| Neutral lipid storage disease | |
|---|---|
|
| |
| Classification and external resources | |
| OMIM | 275630 |
| DiseasesDB | 32708 |
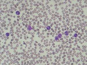
Neutral lipid storage disease (also known as Chanarin–Dorfman syndrome) is an autosomal recessive disorder characterized by accumulation of triglycerides in the cytoplasm of leukocytes, muscle, liver, fibroblasts, and other tissues.[1]:502[2]:564
It can be associated with CGI58.[3][4]
See also
References
- ↑ Freedberg, et al. (2003). Fitzpatrick's Dermatology in General Medicine. (6th ed.). McGraw-Hill. ISBN 0-07-138076-0.
- ↑ James, William; Berger, Timothy; Elston, Dirk (2005). Andrews' Diseases of the Skin: Clinical Dermatology. (10th ed.). Saunders. ISBN 0-7216-2921-0.
- ↑ Lefèvre C, Jobard F, Caux F, et al. (November 2001). "Mutations in CGI-58, the gene encoding a new protein of the esterase/lipase/thioesterase subfamily, in Chanarin-Dorfman syndrome". Am. J. Hum. Genet. 69 (5): 1002–12. doi:10.1086/324121. PMC 1274347
. PMID 11590543. - ↑ Yamaguchi, Tomohiro; Osumi, Takashi (2009). "Chanarin–Dorfman syndrome: Deficiency in CGI-58, a lipid droplet-bound coactivator of lipase". Biochimica et Biophysica Acta (BBA) - Molecular and Cell Biology of Lipids. 1791 (6): 519–523. doi:10.1016/j.bbalip.2008.10.012. ISSN 1388-1981.
This article is issued from Wikipedia - version of the 9/6/2016. The text is available under the Creative Commons Attribution/Share Alike but additional terms may apply for the media files.