Coloboma
| Coloboma | |
|---|---|
![]() | |
| Classification and external resources | |
| Specialty | medical genetics |
| ICD-10 | Q10.3, Q12.2, Q13.0, Q14.2, Q14.8 |
| ICD-9-CM | 377.23, 743.4, 743.46, 743.52, 743.57 |
| OMIM | 120200 |
| DiseasesDB | 29894 |
| MedlinePlus | 003318 |
| Patient UK | Coloboma |
| MeSH | D003103 |
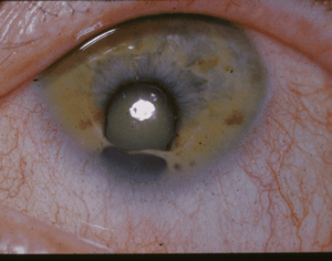
A coloboma (from the Greek koloboma, meaning defect[1]) is a hole in one of the structures of the eye, such as the iris, retina, choroid, or optic disc. The hole is present from birth and can be caused when a gap called the choroid fissure, which is present during early stages of prenatal development, fails to close up completely before a child is born. The classical description in medical literature is of a key-hole shaped defect. A coloboma can occur in one eye (unilateral) or both eyes (bilateral). Most cases of coloboma affect only the iris. People with coloboma may have no vision problems or may be blind, depending on severity. It affects less than one in every 10,000 births.
Signs and symptoms
The effects a coloboma has on the vision can be mild or more severe depending on the size and location of the gap. If, for example, only a small part of the iris is missing, vision may be normal, whereas if a large part of the retina or optic nerve is missing, vision may be poor and a large part of the visual field may be missing. This is more likely to cause problems with mobility if the lower visual field is absent. Other conditions can be associated with a coloboma. Sometimes, the eye may be reduced in size, a condition called microphthalmia. Glaucoma, nystagmus, scotoma, or strabismus may also occur.
Causes
Colobomas can be associated with a mutation in the PAX2 gene.[2]
Eye abnormalities having been shown to occur in over 90% of children with the Fetal alcohol syndrome.[3]
Related conditions
Other ocular malformations that include coloboma or are related to it:
- CHARGE syndrome, a term that came into use as an acronym for the set of unusual congenital features seen in a number of newborn children.[4] The letters stand for: coloboma of the eye, heart defects, atresia of the nasal choanae, retardation of growth and/or development, genital and/or urinary abnormalities, and ear abnormalities and deafness. Although these features are no longer used in making a diagnosis, the name has remained.
- Cat eye syndrome, caused by the short arm (p) and a small section of the long arm (q) of human chromosome 22 being present three (trisomic) or four times (tetrasomic) instead of the usual two times. The term "cat eye" was coined because of the particular appearance of the vertical colobomas in the eyes of some patients.
- Patau syndrome (trisomy 13), a chromosomal abnormality that can cause a number of deformities, some of which include structural eye defects, including microphthalmia, Peters anomaly, cataract, iris and/or fundus coloboma, retinal dysplasia or retinal detachment, sensory nystagmus, cortical visual loss, and optic nerve hypoplasia.
- Treacher Collins syndrome, autosomal dominant syndrome caused by mutation of TCOF1. Coloboma is part of a set of characteristic facies that features craniofacial malformations, such as downslanting eyes, ear anomalies, or hypoplasia of zigomatic bone and jaw (micrognathia).
Epidemiology
The number of cases is around 0.5 to 0.7 per 10,000 births, making it a relatively rare condition.[5]
Treatment
Colobomas of the iris may be treated in a number of ways. A simple cosmetic solution is a specialized cosmetic contact lens with an artificial pupil aperture. Surgical repair of the iris defect is also possible. Surgeons can close the defect by stitching in some cases. More recently artificial iris prosthetic devices such as the Human Optics artificial iris have been used successfully by specialist surgeons. This device cannot be used if the natural lens is in place and is not suitable for children. Suture repair is a better option where the lens is still present.
Vision can be improved with glasses, contact lenses or even laser eye surgery but may be limited if the retina is affected or there is amblyopia.[6]
Notable cases
Notable people with coloboma include the late actor John Ritter, New York Times columnist Andrew Ross Sorkin, tennis player Arnaud Clément, alternative rock singer songwriter Lachi, and Madeleine McCann. McCann, a British girl, disappeared from the holiday apartment rented by her parents in May 2007 just before her fourth birthday. Posters and online campaigns promoting the search for Madeleine use the word "Look" with the first "O" in the word being drawn in the shape of a coloboma radius extending from the pupil at the 7 o'clock position.
References
- ↑ coloboma, Mosby's Medical, Nursing & Allied Health Dictionary, Fourth Edition, Mosby Year-Book, 1994, p. 361
- ↑ Cunliffe HE, McNoe LA, Ward TA, Devriendt K, Brunner HG, Eccles MR (October 1998). "The prevalence of PAX2 mutations in patients with isolated colobomas or colobomas associated with urogenital anomalies". J. Med. Genet. 35 (10): 806–12. doi:10.1136/jmg.35.10.806. PMC 1051454
. PMID 9783702. - ↑ "Eye abnormalities in fetal alcohol syndrome.". Ulster Med J. 78: 164–5. Sep 2009. PMC 2773598
. PMID 19907681. - ↑ Pagon RA, Graham JM, Zonana J, Yong SL (1981). "Coloboma, congenital heart disease, and choanal atresia with multiple anomalies: CHARGE association". J. Pediatr. 99 (2): 223–7. doi:10.1016/S0022-3476(81)80454-4. PMID 6166737.
- ↑ Hornby, SJ; Adolph, S; Gilbert, CE; Dandona, L; Foster, A (Mar 2000). "Visual acuity in children with coloboma: clinical features and a new phenotypic classification system.". Ophthalmology. 107 (3): 511–20. doi:10.1016/S0161-6420(99)00140-2. PMID 10711890.
- ↑ RNIB database - Supporting blind and partially sighted people - Coloboma; http://www.rnib.org.uk/eye-health-eye-conditions-z-eye-conditions/coloboma#P92_9303
