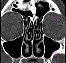
Concha bullosa

A concha bullosa is a pneumatized (air-filled) cavity within a turbinate in the nose.[1] (Concha is another term for turbinate.) Bullosa refers to the air-filled cavity within the turbinate.[1] It is a normal anatomic variant seen in up to half the population. Occasionally, a large concha bullosa within a turbinate may cause it to bulge sufficiently to obstruct the opening of an adjacent sinus, possibly leading to recurrent sinusitis.[1] In such a case the turbinate can be reduced in size by endoscopic nasal surgery (turbinectomy). The presence of a concha bullosa is often associated with deviation of the nasal septum toward the opposite side of the nasal cavity.[2] Although it is thought that sinusitis or sinus pathology has relation to concha bullosa, no strong statistical correlation has been demonstrated.[1]

References
- 1 2 3 4 Hatipoğlu, HG; Cetin, MA; Yüksel, E (Sep 2005). "Concha bullosa types: their relationship with sinusitis, ostiomeatal and frontal recess disease." (PDF). Diagnostic and interventional radiology (Ankara, Turkey). 11 (3): 145–9. PMID 16206055.
- ↑ Stallman, JS; Lobo, JN; Som, PM (Oct 2004). "The incidence of concha bullosa and its relationship to nasal septal deviation and paranasal sinus disease.". AJNR. American journal of neuroradiology. 25 (9): 1613–8. PMID 15502150.