Cryptitis

In histology, cryptitis refers to inflammation of an intestinal crypt.
Cryptitis is a non-specific histopathologic finding that is seen in several conditions, e.g. inflammatory bowel disease,[1] diverticular disease,[2] radiation colitis,[3] infectious colitis.
Additional images
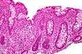
Cryptitis. H&E stain.

References
| Wikimedia Commons has media related to Cryptitis. |
- ↑ Al-Hussaini, AA.; Machida, HM.; Butzner, JD. (Jul 2003). "Crohn's disease and cheilitis.". Can J Gastroenterol. 17 (7): 445–7. PMID 12915919.
- ↑ West, AB.; Losada, M. "The pathology of diverticulosis coli.". J Clin Gastroenterol. 38 (5 Suppl 1): S11–6. PMID 15115923.
- ↑ Hovdenak, N.; Fajardo, LF.; Hauer-Jensen, M. (Nov 2000). "Acute radiation proctitis: a sequential clinicopathologic study during pelvic radiotherapy.". Int J Radiat Oncol Biol Phys. 48 (4): 1111–7. doi:10.1016/s0360-3016(00)00744-6. PMID 11072170.
This article is issued from Wikipedia - version of the 8/8/2016. The text is available under the Creative Commons Attribution/Share Alike but additional terms may apply for the media files.