Malocclusion

"Deep bite" redirects here. For the village, see Deep Bight, Newfoundland and Labrador.
Malocclusion
Classification and external resources
Specialty orthodontics
ICD-10 K07.4
ICD-9-CM 524.4
MeSH D008310

A malocclusion is a misalignment or incorrect relation between the teeth of the two dental arches when they approach each other as the jaws close. The term was coined by Edward Angle, the "father of modern orthodontics",[1] as a derivative of occlusion, which refers to the manner in which opposing teeth meet (mal- + occlusion = "incorrect occlusion").

Signs and symptoms

Malocclusion is a common finding,[2][3] although it is not usually serious enough to require treatment. Those who have more severe malocclusions, which present as a part of Craniofacial Anomalies, may require orthodontic and sometimes surgical treatment (orthognathic surgery) to correct the problem. Correction of malocclusion may reduce risk of tooth decay and help relieve excessive pressure on the temporomandibular joint. Orthodontic treatment is also used to align for aesthetic reasons.

Malocclusions may be coupled with skeletal disharmony of the face, where the relations between the upper and lower jaws are not appropriate. Such skeletal disharmonies often distort sufferer's face shape, severely affect aesthetics of the face and may be coupled with mastication or speech problems. Most skeletal malocclusions can only be treated by orthognathic surgery.

Classification

Depending on the sagittal relations of teeth and jaws, malocclusions can be divided mainly into three types according to Angle's classification system published 1899. However, there are also other conditions, e.g. crowding of teeth, not directly fitting into this classification.

Many authors have tried to modify or replace Angle's classification. This has resulted in many subtypes and new systems (see section below: Review of Angle's system of classes).

Angle's classification method

Class I with severe crowding and labially erupted canines
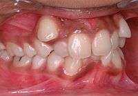
Class II molar relationship

Edward Angle, who is considered the father of modern orthodontics, was the first to classify malocclusion. He based his classifications on the relative position of the maxillary first molar.[4] According to Angle, the mesiobuccal cusp of the upper first molar should align with the buccal groove of the mandibular first molar. The teeth should all fit on a line of occlusion which, in the upper arch, is a smooth curve through the central fossae of the posterior teeth and cingulum of the canines and incisors, and in the lower arch, is a smooth curve through the buccal cusps of the posterior teeth and incisal edges of the anterior teeth. Any variations from this resulted in malocclusion types. It is also possible to have different classes of malocclusion on left and right sides.

Review of Angle's system of classes and alternative systems

A major disadvantage of classifying malocclusions according to Angle's system is that it only takes into consideration the two-dimensional viewing along a spatial axis in the sagittal plane in the terminal occlusion, even though occlusion problems are, in principle, three-dimensional. Deviations in other spatial axes, asymmetric deviations, functional faults and other therapy-related features are not recognised. Another shortcoming is the lack of a theoretical basis of this purely descriptive classification system. Among the much discussed weaknesses of the system is the fact that it only considers the static occlusion, that it does not take into account the development and causes (aetiology) of occlusion problems and it disregards the proportions (or relationships in general) of teeth and face.[5] Thus, numerous attempts have been made to modify the Angle system or to replace it completely with a more efficient one,[6] but Angle's classification continues to prevail mainly because of its simplicity and clarity.

Well-known modifications to Angle's classification date back to Martin Dewey (1915) and Benno Lischer (1912, 1933). Alternative systems have been suggested by, among others, Simon (1930, the first three-dimensional classification system), Jacob A. Salzmann (1950, with a classification system based on skeletal structures) and James L. Ackerman and William R. Proffit (1969).[7]

Crowding of teeth

Crowding of teeth is where there is insufficient room for the normal complement of adult teeth.

Causes

Extra teeth, lost teeth, impacted teeth, or abnormally shaped teeth have been cited as causes of malocclusion. A small underdeveloped jaw, caused by lack of masticatory stress during childhood, can cause tooth overcrowding.[8][9] Ill-fitting dental fillings, crowns, appliances, retainers, or braces as well as misalignment of jaw fractures after a severe injury are other causes. Tumors of the mouth and jaw, thumb sucking, tongue thrusting, pacifier use beyond age 3, and prolonged use of a bottle have also been identified as causes.[10]

In an experiment on two groups of rock hyraxes fed hardened or softened versions of the same foods, the animals fed softer food had significantly narrower and shorter faces and thinner and shorter mandibles than animals fed hard food.[8] Experiments have shown similar results in other animals, including primates, supporting the theory that masticatory stress during childhood affects jaw development. Only one small study has investigated this effect in humans. Children chewed a hard resinous gum for two hours a day and showed increased facial growth.[9]

A 2011 paper suggested that "the changes in human skulls are more likely driven by the decreasing bite forces required to chew the processed foods eaten once humans switched to growing different types of cereals, milking and herding animals about 10,000 years ago."[11]

Treatment

Crowding of the teeth is treated with orthodontics, often with tooth extraction, Invisalign, or dental braces, followed by growth modification in children or jaw surgery (orthognathic surgery) in adults. Surgery may be required on rare occasions. This may include surgical reshaping to lengthen or shorten the jaw (orthognathic surgery). Wires, plates, or screws may be used to secure the jaw bone, in a manner similar to the surgical stabilization of jaw fractures. Very few people have "perfect" alignment of their teeth. However, most problems are very minor and do not require treatment.[10]

Tooth size discrepancy

To establish appropriate alignment and occlusion, the sizes of upper and lower front teeth, or upper and lower teeth in general, need to be proportional. Inter-arch tooth size discrepancy (TSD) is defined as a disproportion in the mesio-distal dimensions of teeth of opposing dental arches, which can be seen in 17% to 30% of orthodontic patients.[12][13]

Other conditions

Open bite treatment after eight months of braces

Other kinds of malocclusions can be due to tooth size or horizontal,vertical, or transverse skeletal discrepancies, including skeletal asymmetries. Long faces may lead to open bite, while short faces can be coupled to a deep bite. However, there are many other more common causes for open bites (such as tongue thrusting and thumb sucking), and likewise for deep bites. Upper or lower jaw can be overgrown or undergrown, leading to Class II or Class III malocclusions that may need corrective jaw surgery or orthognathic surgery as a part of overall treatment, which can be seen in about 5% of the general population.[14][15][16]

Cause

Oral habits and pressure on teeth or the maxilla and mandible are causes of malocclusion.[17][18]

In the active skeletal growth,[19] mouthbreathing, finger sucking, thumb sucking, pacifier sucking, onychophagia (nail biting), dermatophagia, pen biting, pencil biting, abnormal posture, deglutition disorders and other habits greatly influence the development of the face and dental arches.[20][21][22][23][24]

Pacifier sucking habits are also correlated with otitis media.[25][26]

Dental caries, periapical inflammation and tooth loss in the deciduous teeth alter the correct permanent teeth eruptions.

See also

References

  1. Gruenbaum, Tamar. Famous Figures in Dentistry Mouth – JASDA 2010;30(1):18
  2. Thilander B, Pena L, Infante C, Parada SS, de Mayorga C (2001). "Prevalence of malocclusion and orthodontic treatment need in children and adolescents in Bogota, Colombia. An epidemiological study related to different stages of dental development.". Eur J Orthod. 23 (2): 153–167. doi:10.1093/ejo/23.2.153. PMID 11398553.
  3. Borzabadi-Farahani A, Borzabadi-Farahani A, Eslamipour F (2009). "Malocclusion and occlusal traits in an urban Iranian population. An epidemiological study of 11- to 14-year-old children.". Eur J Orthod. 31 (5): 477–484. doi:10.1093/ejo/cjp031. PMID 19477970.
  4. "Angle's Classification of Malocclusion". Archived from the original on 2008-02-13. Retrieved 2007-10-31.
  5. Sunil Kumar (Ed.): Orthodontics. New Delhi 2008, 624 p., ISBN 978-81-312-1054-3, p. 127
  6. Sunil Kumar (Ed.): Orthodontics. New Delhi 2008, p. 123. A list of 18 approaches to modify or replace Angle's system is given here with further references at the end of the book.
  7. Gurkeerat Singh: Textbook of Orthodontics, p. 163-170, with further references on p. 174.
  8. 1 2 Lieberman, Daniel E; Krovitz, GE; Yates, FW; Devlin, M; St Claire, M (2004). "Effects of food processing on masticatory strain and craniofacial growth in a retrognathic face" (PDF). Journal of Human Evolution. 46 (6): 655–677. doi:10.1016/j.jhevol.2004.03.005. PMID 15183669.
  9. 1 2 Ingervall, Bengt; Bitsanis, E (1987). "A pilot study of the effect of masticatory muscle training on facial growth in long-face children". European Journal of Orthodontics. 9 (1): 15–23. doi:10.1093/ejo/9.1.15. PMID 3470182.
  10. 1 2 Rosenberg, Jack (2010-02-22). "Malocclusion of teeth". Medline Plus. Retrieved 2012-02-06.
  11. Von Cramon-Taubadel, N. (2011). "Global human mandibular variation reflects differences in agricultural and hunter-gatherer subsistence strategies". Proceedings of the National Academy of Sciences. 108 (49): 19546–51. doi:10.1073/pnas.1113050108. PMC 3241821Freely accessible. PMID 22106280. Lay summary.
  12. GRAUER D, HEYMANN GC, SWIFT EJ Jr (2012). "Clinical Management of Tooth Size Discrepancies.". J Esthet Restor Dent. 24: 155–159. doi:10.1111/j.1708-8240.2012.00520.x. PMID 22691075.
  13. Bugaighis I, Karanth D, Borzabadi-Farahani A (2015). "Tooth size discrepancy in a Libyan population, a cross-sectional study in schoolchildren.". J Clin Exp Dent. 7: e100–105. doi:10.4317/jced.51819. PMID 25810819.
  14. Posnick, Jeffrey C. (September 2013). Orthognatic Surgery: Principles and Practice. Amsterdam: Elsevier. pp. 61–68. doi:10.1016/B978-1-4557-2698-1.00003-4. ISBN 978-145572698-1.
  15. Harrington C, Gallagher JR, Borzabadi-Farahani A (April 2015). "A retrospective analysis of dentofacial deformities and orthognathic surgeries using the index of orthognathic functional treatment needs (IOFTN).". Int J Pediatr Otorhinolaryngol. 79: 1063–6. doi:10.1016/j.ijporl.2015.04.027. PMID 25957779.
  16. Borzabadi-Farahani A, Eslamipour F, Shahmoradi M (2016). "Functional needs of subjects with dentofacial deformities: A study using the index of orthognathic functional treatment need (IOFTN)". J Plast Reconstr Aesthet Surg. 69: 796–801. doi:10.1016/j.bjps.2016.03.008. PMID 27068664.
  17. Klein ET., E (1952). "Pressure Habits, Etiological Factors in Malocclusion". Am. J. Orthod. 38 (8): 569–587. doi:10.1016/0002-9416(52)90025-0.
  18. Graber TM., T (1963). "The "Three m's": Muscles, Malformation and Malocclusion". Am. J. Orthod. 49 (6): 418–450. doi:10.1016/0002-9416(63)90167-2.
  19. Björk A., Helm S., A; Helm, S (1967). "Prediction of the Age of Maximum Puberal Growth in Body Height" (PDF). Angle Orthod. 37 (2): 134–143. doi:10.1043/0003-3219(1967)037<0134:POTAOM>2.0.CO;2. PMID 4290545.
  20. Brucker M., M. (1943). "Studies on the Incidence and Cause of Dental Defects in Children: IV. Malocclusion" (PDF). J Dent Res. 22 (4): 315–321. doi:10.1177/00220345430220041201.
  21. Calisti L. J. P., Cohen M. M., Fales M. H., L. J.; Cohen, M. M; Fales, M. H (1960). "Correlation between Malocclusion, Oral Habits, and Socio-economic Level of Preschool Children" (PDF). J. Dent Res. 39 (3): 450–454. doi:10.1177/00220345600390030501. PMID 13806967.
  22. Subtelny J. D.; Subtelny J. D. (1973). "Oral Habits – Studies in Form, Function, and Therapy" (PDF). Angle Orthod. 43 (4): 347–383.
  23. Aznar T., Galán A. F., Marín I., Domínguez A., T; Galán, AF; Marín, I; Domínguez, A (2006). "Dental Arch Diameters and Relationships to Oral Habits" (PDF). Angle Orthod. 76 (3): 441–445. doi:10.1043/0003-3219(2006)076[0441:DADART]2.0.CO;2. PMID 16637724.
  24. Yamaguchi H., Sueishi K., H; Sueishi, K (2003). "Malocclusion associated with abnormal posture". Bull Tokyo Dent Coll. 44 (2): 43–54. doi:10.2209/tdcpublication.44.43. PMID 12956088.
  25. Wellington M.; Hall C. B. (2002). "Pacifier as a risk factor for acute otitis media". Pediatrics. 109 (2): 351–352. doi:10.1542/peds.109.2.351. PMID 11826228.
  26. Rovers MM; Numans ME; Langenbach E; Grobbee DE; Verheij TJ; Schilder AG (2008). "Is pacifier use a risk factor for acute otitis media? A dynamic cohort study". Fam Pract. 25 (4): 233–6. doi:10.1093/fampra/cmn030. PMID 18562333.
This article is issued from Wikipedia - version of the 9/5/2016. The text is available under the Creative Commons Attribution/Share Alike but additional terms may apply for the media files.