Dermis

Dermis

Cross-section of human skin

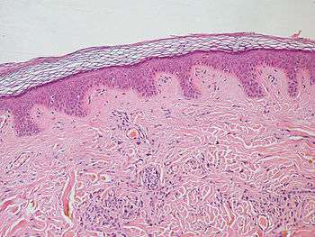
Cross section of skin under the microscope
Identifiers
MeSH A17.815.180
Code TH H3.12.00.1.03001
TA A16.0.00.010
FMA 70323

Anatomical terminology

The dermis or corium is a layer of skin between the epidermis (with which it makes up the cutis) and subcutaneous tissues, that primarily consists of dense irregular connective tissue and cushions the body from stress and strain. It is divided into two layers, the superficial area adjacent to the epidermis called the papillary region and a deep thicker area known as the reticular dermis.[1] The dermis is tightly connected to the epidermis through a basement membrane. Structural components of the dermis are collagen, elastic fibers, and extrafibrillar matrix.[2] It also contains mechanoreceptors that provide the sense of touch and thermoreceptors that provide the sense of heat. In addition, hair follicles, sweat glands, sebaceous glands, apocrine glands, lymphatic vessels and blood vessels are present in the dermis. Those blood vessels provide nourishment and waste removal for both dermal and epidermal cells.

Structure

The dermis is composed of three major types of cells:[3] fibroblasts, macrophages, and adipocytes.

Apart from these cells, the dermis is also composed of matrix components such as collagen (which provides strength), elastin (which provides elasticity), and extrafibrillar matrix, an extracellular gel-like substance primarily composed of glycosaminoglycans (most notably hyaluronan), proteoglycans, and glycoproteins.[3]

Layers

Illustration of dermal circulation and layers

Papillary dermis

The papillary dermis is the uppermost layer of the dermis. It intertwines with the rete ridges of the epidermis and is composed of fine and loosely arranged collagen fibers.[2]

The papillary region is composed of loose areolar connective tissue. This is named for its fingerlike projections called papillae, that extend toward the epidermis and contain either terminal networks of blood capillaries or tactile Meissner's corpuscles.[4]

Reticular dermis

The reticular dermis is the lower layer of the dermis, found under the papillary dermis, composed of dense irregular connective tissue featuring densely packed collagen fibers. It is the primary location of dermal elastic fibers.[2]

The reticular region is usually much thicker than the overlying papillary dermis. It receives its name from the dense concentration of collagenous, elastic, and reticular fibers that weave throughout it. These protein fibers give the dermis its properties of strength, extensibility, and elasticity. Within the reticular region are the roots of the hair, sebaceous glands, sweat glands, receptors, nails, and blood vessels. The orientation of collagen fibers within the reticular dermis creates lines of tension called Langer's lines, which are of some relevance in surgery and wound healing.[5]

See also

References

  1. James, William; Berger, Timothy; Elston, Dirk (2005). Andrews' Diseases of the Skin: Clinical Dermatology (10th ed.). Saunders. Pages 1, 11–12. ISBN 0-7216-2921-0.
  2. 1 2 3 Marks, James G; Miller, Jeffery (2006). Lookingbill and Marks' Principles of Dermatology (4th ed.). Elsevier Inc. Page 8–9. ISBN 1-4160-3185-5.
  3. 1 2 The Ageing Skin - Structure
  4. http://microvet.arizona.edu/Courses/vsc422/secure/VSC422AppledHistologyLabHandout.pdf
  5. Ross M, Pawlina W (2011). Histology: A Text and Atlas (6th ed.). Lippincott Williams & Wilkins. p. 498. ISBN 978-0-7817-7200-6.
This article is issued from Wikipedia - version of the 11/22/2016. The text is available under the Creative Commons Attribution/Share Alike but additional terms may apply for the media files.