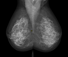
Digital mammography

Digital mammography is a specialized form of mammography that uses digital receptors and computers instead of x-ray film to help examine breast tissue for breast cancer.[1] The electrical signals can be read on computer screens, permitting more manipulation of images to theoretically allow radiologists to more clearly view the results.[1][2] Digital mammography may be "spot view", for breast biopsy,[3] or "full field" (FFDM) for screening.[1]
Digital mammography is also utilized in stereotactic biopsy. Breast biopsy may also be performed using a different modality, such as ultrasound or magnetic resonance imaging (MRI).
While radiologists[4] had hoped for more marked improvement, the effectiveness of digital mammography was found comparable to traditional x-ray methods in 2004, though there may be reduced radiation with the technique and it may lead to fewer retests.[1] Specifically, it performs no better than film for post-menopausal women, who represent more than three-quarters of women with breast cancer.[5]
The U.S. Preventive Services Task Force concluded that there was insufficient evidence to recommend for or against digital mammography.[6]
Digital mammography is a NASA spin-off, utilizing technology developed for the Hubble Space Telescope.[7]
Prevalence
As of 2007, about 8% of American screening centers used digital mammography. Around the globe, systems by Fujifilm Corporation are the most widely used.
Costs
In the United States, GE's digital imaging units typically cost US$300,000 to $500,000, far more than film-based imaging systems.[5] Costs may lower as GE begins to compete with the less expensive Fuji systems.[5]
References
- 1 2 3 4 http://www.imaginis.com/breast-health/digital-mammography-2
- ↑ http://www.radiologyinfo.org/en/info.cfm?pg=mammo
- ↑ http://www.theradiologyblog.com/2011/10/how-to-perform-ultrasound-guided-breast.html
- ↑ https://weillcornell.org/services/radiology
- 1 2 3 Sulik, Gayle (2010). Pink Ribbon Blues: How Breast Cancer Culture Undermines Women's Health. New York: Oxford University Press. pp. 193–195. ISBN 0-19-974045-3. OCLC 535493589.
- ↑ "USPSTF recommendations on Screening for Breast Cancer". Retrieved 2010-09-13.
- ↑ http://www.nasa.gov/pdf/363454main_medical_flyer.pdf