Diversion colitis
| Diversion colitis | |
|---|---|
![]() | |
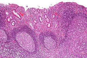
| Micrograph showing colonic-type mucosa with follicular lymphoid hyperplasia, as is seen in diversion colitis. H&E stain. | |
| Classification and external resources |
Diversion colitis is an inflammation of the colon which can occur as a complication of ileostomy or colostomy, often occurring within the year following the surgery. It also occurs frequently in a neovagina created by colovaginoplasty, with varying delay after the original procedure.[1] Despite the presence of a variable degree of inflammation the most suggestive histological feature remains the prominent lymphoid aggregates. A foul smelling, mucous rectal discharge may develop from the inflamed mucosa of the distal, unused colon.
The diagnosis cannot be safely reached without knowing the clinical story.[2] In many milder cases after ileostomy or colostomy, diversion colitis is left untreated and disappears naturally. If treatment is required, possible treatments include short-chain fatty acid irrigation, steroid enemas and mesalazine.[3]
References
- ↑ van der Sluis WB, Bouman MB, Meijerink WJ, Elfering L, Mullender MG, de Boer NK, van Bodegraven AA (2016). "Diversion neovaginitis after sigmoid vaginoplasty: endoscopic and clinical characteristics". Fertil. Steril. 105: 834–839.e1. doi:10.1016/j.fertnstert.2015.11.013. PMID 26632208.
- ↑ Haboubi, .; Schofield, . (Apr 2000). "Reporting colonic mucosal biopsies in inflammatory conditions: a new approach.". Colorectal Dis. 2 (2): 66–72. doi:10.1046/j.1463-1318.2000.00104.x. PMID 23577987.
- ↑ Geraghty JM, Talbot IC (September 1991). "Diversion colitis: histological features in the colon and rectum after defunctioning colostomy". Gut. 32 (9): 1020–3. doi:10.1136/gut.32.9.1020. PMC 1379042
. PMID 1916483.
