Colon cancer staging

Colon cancer staging is an estimate of the amount of penetration of a particular cancer. It is performed for diagnostic and research purposes, and to determine the best method of treatment. The systems for staging colorectal cancers depend on the extent of local invasion, the degree of lymph node involvement and whether there is distant metastasis.

Definitive staging can only be done after surgery has been performed and pathology reports reviewed. An exception to this principle would be after a colonoscopic polypectomy of a malignant pedunculated polyp with minimal invasion. Preoperative staging of rectal cancers may be done with endoscopic ultrasound. Adjunct staging of metastasis include Abdominal Ultrasound, MRI, CT, PET Scanning, and other imaging studies.

TNM staging system

The most common staging system is the TNM (for tumors/nodes/metastases) system, from the American Joint Committee on Cancer (AJCC). The TNM system assigns a number based on three categories. "T" denotes the degree of invasion of the intestinal wall, "N" the degree of lymphatic node involvement, and "M" the degree of metastasis. The broader stage of a cancer is usually quoted as a number I, II, III, IV derived from the TNM value grouped by prognosis; a higher number indicates a more advanced cancer and likely a worse outcome. Details of this system are in the graph below:

AJCC stage TNM stage 2002 6th edition TNM stage criteria for colorectal cancer (superseded by 2010 7th edition)[1][2]
Stage 0 Tis N0 M0 Tis: Tumor confined to mucosa; cancer-in-situ
Stage I T1 N0 M0 T1: Tumor invades submucosa
Stage I T2 N0 M0 T2: Tumor invades muscularis propria
Stage II-A T3 N0 M0 T3: Tumor invades subserosa or beyond (without other organs involved)
Stage II-B T4 N0 M0 T4: Tumor invades adjacent organs or perforates the visceral peritoneum
Stage III-A T1-2 N1 M0 N1: Metastasis to 1 to 3 regional lymph nodes. T1 or T2.
Stage III-B T3-4 N1 M0 N1: Metastasis to 1 to 3 regional lymph nodes. T3 or T4.
Stage III-C any T, N2 M0 N2: Metastasis to 4 or more regional lymph nodes. Any T.
Stage IV any T, any N, M1 M1: Distant metastases present. Any T, any N.

Dukes classification

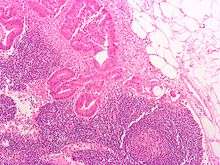
Micrograph of a colorectal adenocarcinoma metastasis to a lymph node. The cancerous cells are at the top center-left of the image, in glands (circular/ovoid structures) and eosinophilic (bright pink). H&E stain.

In 1932 the British pathologist Cuthbert Dukes (1890-1977) and graduate of the University of Edinburgh Medical School devised a famous classification system for colorectal cancer.[3] Several different forms of the Dukes classification were developed.[4][5] However, this system has largely been replaced by the more detailed TNM staging system and is no longer recommended for use in clinical practice.[6]

Astler-Coller classification

An adaptation by the Americans Astler and Coller in 1954 further divided stages B and C[8]

The stage gives valuable information for the prognosis and management of the particular cancer.

Full Dukes' classification

Another modification of the original Dukes classification was made in 1935 by Gabriel, Dukes and Bussey.[9] This subdivided stage C. This staging system was noted to be prognostically relevant to rectal and colonic adenocarcinoma.[10] Stage D was added by Turnbull to denote the presence of liver and other distant metastases[11]

References

  1. AJCC Cancer Staging Manual (Sixth ed.). Springer-Verlag New York, Inc. 2002.
  2. http://cancerstaging.org/references-tools/quickreferences/documents/colonmedium.pdf
  3. Who Named It, showing correct grammatical usage
  4. Kyriakos M: The President cancer, the Dukes classification, and confusion, Arch Pathol Lab Med 109:1063, 1985
  5. Dukes CE. The classification of cancer of the rectum. Journal of Pathological Bacteriology 1932;35:323
  6. AJCC (American Joint Committee on Cancer) Cancer Staging Manual, 7th ed, Edge, SB, Byrd, DR, Compton, CC, et al (Eds), Springer, New York 2010. p 143.
  7. Single Best Answers in Surgery, Patten DK et al. Hodder Education 2009. p.107 (ISBN 9780340972359)
  8. Astler VB, Coller FA: The prognostic significance of direct extension of carcinoma of the colon and rectum. Ann Surg 139:846, 1954
  9. Gabriel WB, Dukes C, Busset HJR: Lymphatic spread in cancer of the rectum. Br J Surg 23:395-413, 1935
  10. Grinnell RS: The grading and prognosis of carcinoma of the colon and rectum. Ann Surg 109:500-33, 1939
  11. Turnbull RB Jr, Kyle K, Watson FR, et al: Cancer of the colon: the influence of the no touch isolation technique on survival rates. Ann Surg 166:420-7, 1967
This article is issued from Wikipedia - version of the 3/12/2016. The text is available under the Creative Commons Attribution/Share Alike but additional terms may apply for the media files.