Fabella
| Fabella | |
|---|---|
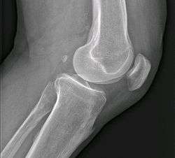
![]() Fabella is the small calcification appearing back of femoral condyles | |
| Details | |
| Identifiers | |
| Latin | Os fabella |
| FMA | 281591 |
The fabella (Latin for little bean) (or flabella) is a small sesamoid bone found in some mammals embedded in the tendon of the lateral head of the gastrocnemius muscle behind the lateral condyle of the femur. It is a variant of normal anatomy and present in humans in 10% to 30% of individuals.[1] Rarely, there are 2 or 3 of these bones (fabella bi- or tripartita). It can be mistaken for a loose body or osteophyte.
The fabella is a standard finding on radiographs of the dog and cat, and both medial and lateral fabellae are typically present.
See also
References
- Duncan W, Dahm D (2003). "Clinical anatomy of the fabella". Clin Anat. 16 (5): 448–449. doi:10.1002/ca.10137. PMID 12903068.
- Platzer, Werner (2015). Color Atlas of Human Anatomy, Vol. 1: Locomotor System (7th ed.). Thieme. ISBN 978-3-13-533306-9.
External links
| Wikimedia Commons has media related to Fabella. |
This article is issued from Wikipedia - version of the 5/24/2016. The text is available under the Creative Commons Attribution/Share Alike but additional terms may apply for the media files.
