Faggot cell

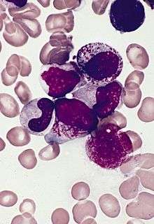
A faggot cell (bottom left) with a prominent collection of Auer rods from a patient with acute promyelocytic leukemia.
Faggot cell is a term used for cells normally found in the hypergranular form of acute promyelocytic leukemia (FAB - M3). This term is applied to these promyelocytes (not blast cells) because of the presence of numerous Auer rods in the cytoplasm. The accumulation of these Auer rods gives the appearance of a bundle of sticks, from which the cells are given their name.[1][2]
See also
References
- ↑ Lichtman, Marshall A., Shafer, Jean A., Felgar, Raymond E., and Wang, Nancy. Lichtman's Atlas of Hematology.
- ↑ Kenneth D. McClatchey (2002). Clinical laboratory medicine. Lippincott Williams & Wilkins. pp. 909–. ISBN 978-0-683-30751-1. Retrieved 6 December 2011.
This article is issued from Wikipedia - version of the 10/18/2016. The text is available under the Creative Commons Attribution/Share Alike but additional terms may apply for the media files.