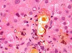
Feathery degeneration

Feathery degeneration - large cells with pale flocculant cytoplasm (left-bottom and right-top). H&E stain.
In histopathology, feathery degeneration, formally feathery degeneration of hepatocytes, is a form of liver parenchymal cell (i.e. hepatocyte) death associated with cholestasis.[1]
Cells undergoing this form of cell death have a flocculant appearing cytoplasm,[2] and are larger than normal hepatocytes.
Relation to ballooning degeneration
Feathery degeneration is somewhat similar in appearance to ballooning degeneration, which is due to other causes (e.g. alcohol, obesity); it also has cytoplasmic clearing and cell swelling.
See also
- Elevated alkaline phosphatase (ALP)
- Mallory body
- Non-alcoholic fatty liver disease
- Steatohepatitis
- Primary sclerosing cholangitis
Additional images
-

Feathery degeneration. H&E stain.
References
External links
- Ballooning degeneration and feathery degeneration - what is the difference? - a T-shirt that asks the question - zcache.com.
This article is issued from Wikipedia - version of the 1/18/2014. The text is available under the Creative Commons Attribution/Share Alike but additional terms may apply for the media files.