Fistula
| Fistula | |
|---|---|
|
| |
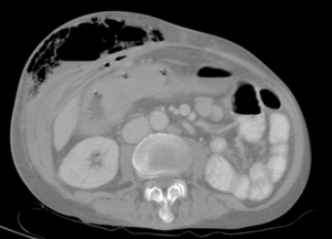
| Abdominal CT with right colocutaneous fistula and associated subcutaneous emphysema. | |
| Pronunciation | UK /ˈfɪstjʊlə/, US /ˈfɪstʃələ/, /ˈfɪʃtʃələ/[1][2] |
| Classification and external resources | |
| Specialty | General surgery |
| MedlinePlus | 002365 |
| MeSH | D005402 |
A fistula is an abnormal anastomosis, that is, an abnormal connection between two hollow spaces (technically, two epithelialized surfaces), such as blood vessels, intestines, or other hollow organs. Fistulas are usually caused by injury or surgery, but they can also result from an infection or inflammation.[3] Fistulas are generally a disease condition, but they may be surgically created for therapeutic reasons.
In botany, the term is most common in its adjectival forms, where it is used in binomial names to refer to species that are distinguished by hollow or tubular structures. Monarda fistulosa, for example, has tubular flowers;[4] Eutrochium fistulosum has a tubular stem; and Allium fistulosum has hollow or tubular leaves.
Locations
Fistulas can develop in various parts of the body. The following list is sorted by the International Statistical Classification of Diseases and Related Health Problems.
H: Diseases of the eye, adnexa, ear, and mastoid process
- (H04.6) Lacrimal fistula
- (H70.1) Mastoid fistula
- Craniosinus fistula: between the intracranial space and a paranasal sinus
- (H83.1) Labyrinthine fistula
- Perilymph fistula: tear between the membranes between the middle and inner ears
- Preauricular fistula
- Preauricular fistula: usually on the top of the cristae helicis ears
I: Diseases of the circulatory system
- (I25.4) Coronary arteriovenous fistula, acquired
- (I28.0) Arteriovenous fistula of pulmonary vessels
- (I67.1) Cerebral arteriovenous fistula, acquired
- (I77.0) Arteriovenous fistula, acquired
- (I77.2) Fistula of artery
J: Diseases of the respiratory system
- (J86.0) Pyothorax with fistula
- (J95.0) Tracheoesophageal fistula, between the trachea and the esophagus. This may be congenital or acquired, for example as a complication of a tracheostomy.
K: Diseases of the digestive system

- (K11.4) Salivary gland fistula
- (K31.6) Fistula of stomach and duodenum
- (K31.6) Gastrocolic fistula
- (K31.6) Gastrojejunocolic fistula – after a Billroth II a fistula forms between the transverse colon and the upper jejunum (which, post Billroth II, is attached to the remainder of the stomach). Fecal matter passes improperly from the colon to the stomach and causes halitosis.
- (K38.3) Fistula of appendix
- (K60) Anal and rectal fissures and fistulas
- (K60.3) Anal fistula
- (K60.5) Anorectal fistula (fecal fistula, fistula-in-ano): connecting the rectum or other anorectal area to the skin surface. This results in abnormal discharge of feces through an opening other than the anus.
- (K63.2) Fistula of intestine
- Enteroenteral fistula: between two parts of the intestine
- (K82.3) Fistula of gallbladder
- (K83.3) Fistula of bile duct
- Biliary fistula: connecting the bile ducts to the skin surface, often caused by gallbladder surgery
- Pancreatic fistula: between the pancreas and the exterior via the abdominal wall
M: Diseases of the musculoskeletal system and connective tissue
- (M25.1) Fistula of joint
N: Diseases of the urogenital system
- (N32.1) Vesicointestinal fistula
- (N36.0) Urethral fistula
- Innora:between the prostatic utricle and the outside of the body
- (N64.0) Fistula of nipple
- (N82) Fistulae involving female genital tract / Obstetric fistula
- (N82.0) Vesicovaginal fistula: between the bladder and the vagina
- (N82.1) Other female urinary-genital tract fistulae
- Cervical fistula: abnormal opening in the cervix
- (N82.2) Fistula of vagina to small intestine
- (N82.3) Fistula of vagina to large intestine
- Rectovaginal: between the rectum and the vagina
- (N82.4) Other female intestinal-genital tract fistulae
- (N82.5) Female genital tract-skin fistulae
- (N82.8) Other female genital tract fistulae
- (N82.9) Female genital tract fistula, unspecified
Q: Congenital malformations, deformations and chromosomal abnormalities
- (Q18.0) Sinus, fistula and cyst of branchial cleft
- Congenital preauricular fistula: A small pit in front of the ear. Also known as an ear pit or preauricular sinus.
- (Q26.6) Portal vein-hepatic artery fistula
- (Q38.0) Congenital fistula of lip
- (Q38.4) Congenital fistula of salivary gland
- (Q42.0) Congenital absence, atresia and stenosis of rectum with fistula
- (Q42.2) Congenital absence, atresia and stenosis of anus with fistula
- (Q43.6) Congenital fistula of rectum and anus
- (Q51.7) Congenital fistulae between uterus and digestive and urinary tracts
- (Q52.2) Congenital rectovaginal fistula
T: External causes
- (T14.5) Traumatic arteriovenous fistula
- (T81.8) Persistent postoperative fistula
Types
Various types of fistulas include:
| Name | Definition |
|---|---|
| Blind | with only one open end |
| Complete | with both external and internal openings |
| Incomplete | a fistula with an external skin opening, which does not connect to any internal organ |
Although most fistulas are in forms of a tube, some can also have multiple branches.
Causes
Various causes of fistula include:
| Category | Elaboration |
|---|---|
| Diseases | Inflammatory bowel disease in the form of Crohn's disease, but not ulcerative colitis, are the leading causes of anorectal, enteroenteral, and enterocutaneous fistulas. A person with severe stage-3 hidradenitis suppurativa will also develop fistulas. |
| Medical treatment | Complications from gallbladder surgery can lead to biliary fistula. Radiation therapy can lead to vesicovaginal fistula. An arteriovenous fistula can be deliberately created, as described below in therapeutic use. |
| Trauma | Head trauma can lead to perilymph fistulas, whereas trauma to other parts of the body can cause arteriovenous fistulas. Obstructed labor can lead to vesicovaginal and rectovaginal fistulas. An obstetric fistula develops when blood supply to the tissues of the vagina and the bladder (and/or rectum) is cut off during prolonged obstructed labor. The tissues die and a hole forms through which urine and/or feces pass uncontrollably. Vesicovaginal and rectovaginal fistulas may also be caused by rape, in particular gang rape, and rape with foreign objects, as evidenced by the abnormally high number of women in conflict areas who have suffered fistulae.[5][6] In 2003, thousands of women in eastern Congo presented themselves for treatment of traumatic fistula caused by systematic, violent gang rape that occurred during the country's five years of war. So many cases have been reported that the destruction of the vagina is considered a war injury and recorded by doctors as a crime of combat.[7] |
Treatment
Treatment for fistula varies depending on the cause and extent of the fistula, but often involves surgical intervention combined with antibiotic therapy.
Typically the first step in treating a fistula is an examination by a doctor to determine the extent and "path" that the fistula takes through the tissue.
In some cases the fistula is temporarily covered, for example a fistula caused by cleft palate is often treated with a palatal obturator to delay the need for surgery to a more appropriate age.
Surgery is often required to assure adequate drainage of the fistula (so that pus may escape without forming an abscess). Various surgical procedures are commonly used, most commonly fistulotomy, placement of a seton (a cord that is passed through the path of the fistula to keep it open for draining), or an endorectal flap procedure (where healthy tissue is pulled over the internal side of the fistula to keep feces or other material from reinfecting the channel). Treatment involves filling the fistula with fibrin glue; also plugging it with plugs made of porcine small intestine submucosa have also been explored in recent years, with variable success. Surgery for anorectal fistulae is not without side effects, including recurrence, reinfection, and incontinence. High rate of recurrence and more chances of complications like incontinence are always there in fistula surgeries (Anal Fistula).
It is important to note that surgical treatment of a fistula without diagnosis or management of the underlying condition, if any, is not recommended. For example, surgical treatment of fistulae in Crohn's disease can be effective, but if the Crohn's disease itself is not treated, the rate of recurrence of fistula is very high (well above 50%).
Therapeutic use
In people with renal failure, requiring dialysis, a cimino fistula is often deliberately created in the arm by means of a short day surgery in order to permit easier withdrawal of blood for hemodialysis.
As a radical treatment for portal hypertension, surgical creation of a portacaval fistula produces an anastomosis between the hepatic portal vein and the inferior vena cava across the omental foramen (of Winslow). This spares the portal venous system from high pressure which can cause esophageal varices, caput medusae, and hemorrhoids.
Etymology
The Latin word fistula (UK /ˈfɪstjʊlə/ or US /ˈfɪstʃələ/ or /ˈfɪʃtʃələ/,[8][9] plural fistulas /-ləz/ or fistulae /-li/ or /-laɪ/) literally means tube or pipe.
See also
References
- ↑ OED 2nd edition, 1989.
- ↑ Entry "fistula" in Merriam-Webster Online Dictionary.
- ↑ MedlinePlus Encyclopedia Fistula
- ↑ Identification of Monarda fistulosa subpage of Discover Life, 2014.
- ↑ Stephanie Nolen, "Not Women Anymore…" Ms. Magazine, Spring 2005
- ↑ UNFPA: United Nations Population Fund. Press Release, 22 June 2006. "More Funding Needed to Help Victims of Sexual Violence"
- ↑ Emily Wax, Washington Post Foreign Service. Saturday, October 25, 2003; Page A01 "A Brutal Legacy of Congo War"
- ↑ OED 2nd edition, 1989.
- ↑ Entry "fistula" in Merriam-Webster Online Dictionary.