Freiberg disease
| Freiberg disease | |
|---|---|
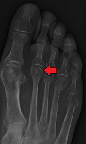
![]() | |
| Freiberg disease as seem on plain film | |
| Classification and external resources | |
| Specialty | rheumatology |
| ICD-10 | M92.7 |
Freiberg disease, also known as a Freiberg infraction, is a form of avascular necrosis in the metatarsal. It generally develops in the second metatarsal, but can occur in any metatarsal. Physical stress causes repeated microfractures where the middle of the metatarsal meets the growth plate. These restrict circulation to the end of the metatarsal, causing the necrosis. It is an uncommon condition, occurring most often in young women, athletes, and those with abnormally long metatarsals. Approximately 80% of those diagnosed are women.[1]
Initial treatment is generally 4–6 weeks of limited activity, often with crutches or orthotics. In rare cases, surgery is necessary to reduce the bone mass of the metatarsal.
The condition was first described by Dr. Alfred H. Freiberg in 1914. He initially thought the condition was caused by acute physical trauma, which is why it was initially called an infraction.[1][2][3][4]
References
- 1 2 Fehr SC, Walter KD. "Freiberg Disease". Medscape. WebMD LLC. Retrieved 1 March 2014.
- ↑ "Freiberg Infraction". Ann & Robert H. Lurie Children's Hospital of Chicago. Retrieved 1 March 2014.
- ↑ Clifford R. Wheeless, III, MD. "Freiberg's Disease". Wheeless' Textbook of Orthopaedics. Duke Orthopaedics.
- ↑ Smith T, Vito GR. "Freiberg's Infraction, Compression Fractures and Osteochondritis" (PDF). The Podiatry Institute. Retrieved 1 March 2014.
