Fundic gland polyposis
Fundic gland polyposis is a medical syndrome where the fundus and the body of the stomach develop many polyps. The condition has been described both in patients with familial adenomatous polyposis (FAP) and attenuated variants (AFAP), and in patients in whom it occurs sporadically.[1]
Clinical presentation and Histology

Most patients with fundic gland polyps (FGPs) do not have any symptoms, and the diagnosis is made on gastroscopy done for other reasons. Retrospective analysis of patients with sporadic FGPs shows that a high percentage do have symptoms, but that this is more likely to be related to the underlying disease responsible for the polyposis.[2] These symptoms include:
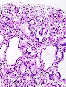
The polyps on endoscopy are usually tiny, numerous and sessile,[3] and usually scattered throughout the fundus of the stomach, where parietal cells are more numerous. They have the same colour as the gastric mucosa, and never have a stalk.[4] When the polyps are biopsied, the pathology typically shows shortened gastric pits, and both superficial and deep cystic lesions in the fundic glands, lined by all three types of cells of acid-producing mucosa: mucous, parietal and chief cells. As sometimes parietal cell hyperplasia may develop deep dilations of gland,[5] one should be really strict in the diagnosis of FGPs (i.e. the presence of deep and superficial dilations). Infrequently, the two lesions may coexist.[3] Foci of dysplasia can sometimes be seen.[4]
Epidemiology and disease associations
Fundic gland polyps are found in 0.8 to 1.9% of patients who undergo esophagogastroduodenoscopy, and are more common in middle aged women.[6]
The most important consideration in evaluating patients with FGPs is distinguishing between sporadic form (patients without any other gastrointestinal condition, usually in middle age with female prevalence) and syndromic form. This is to ascertain the risk of development of gastric cancer, and to ascertain the risk of concomitant colon cancer.
FGPs can be found in association with the following genetic conditions:[4]
- familial adenomatous polyposis
- attenuated familial adenomatous polyposis syndromes
- Zollinger-Ellison syndrome[7][8]
- gastric adenocarcinoma associated with proxymal polyposis of the stomach (GAPPS): this condition, described in three families [9] is characterized by development of antral adenomas and FGPs, with early development of severe dysplasia and gastric cancer, in absence of overt intestinal polyposis. This condition has been recently characterized by a point mutation in exon 1B of APC gene.[10]
Sporadic FGPs [1] have been associated with:
- chronic use of proton pump inhibitors (proposed by some authors, denied by others)[11][12][13][14]
- Helicobacter pylori infection: there is a reverse relationship between infection and fundic gland polyps, and infection by H pylori causes polyps regression.[15][16]
Pathophysiology
.jpg)
The development of polyps depends on the underlying disorder.
In sporadic cases of FGPs, more than 90% of patients have activating mutations in the β-catenin gene.[17]
In familial adenomatous polyposis, the abnormality is a mutation in the APC gene, resulting in its inactivity. Attenuated FAP can occur from other mutations in the APC gene, and causes a phenotype wherein colonic polyps may be few in number [4]
Both the β-catenin gene and the APC gene are involved in the same cell growth signalling pathway, but the APC gene is known to have a significantly higher association with the development of colorectal tumors.[18]
Cancer risk and the need for screening
There is a risk of development of cancer with fundic gland polyposis,[19] but it varies based on the underlying cause of the polyposis.[4] The risk is highest with congenital polyposis syndromes, and is lowest in acquired causes.[4][20] As a result, it is recommend that patients with multiple fundic polyps have a colonoscopy to evaluate the colon.[4] If there are polyps seen on colonoscopy, genetic testing and testing of family members is recommended.[4] A new syndrome has been described, the gastric adenocarcinoma associated with proxymal polyposis of the stomach (GAPPS). This condition, described in three families [9] is characterized by development of antral adenomas and FGPs, with early development of severe dysplasia and gastric cancer, in absence of intestinal polyposis. GAPPS has a dominant mode of trasmission, and the genetic defect is unknown
It is still unclear which patients would benefit with surveillance gastroscopy, but most physicians recommend endoscopy every one to three years to survey polyps for dysplasia or cancer.[4] In the event of high grade dysplasia, polypectomy, which is done through the endoscopy, or partial gastrectomy may be recommended. One study showed the benefit of NSAID therapy in regression of gastric polyps, but the efficacy of this strategy (given the side effects of NSAIDs) is still dubious.[21]
References
- 1 2 Declich, P; Tavani, E; Ferrara, A; Caruso, S; Bellone, S (2005). "Sporadic fundic gland polyps: clinico-pathologic features and associated diseases". Polish journal of pathology : official journal of the Polish Society of Pathologists. 56 (3): 131–7. PMID 16334981.
- ↑ Church, JM; McGannon, E; Hull-Boiner, S; Sivak, MV; Van Stolk, R; Jagelman, DG; Fazio, VW; Oakley, JR; et al. (1992). "Gastroduodenal polyps in patients with familial adenomatous polyposis". Diseases of the colon and rectum. 35 (12): 1170–3. doi:10.1007/BF02251971. PMID 1335405.
- 1 2 Declich, P; Ambrosiani, L; Grassini, R; Tavani, E; Bellone, S; Bortoli, A; Gozzini, C; Prada, A (2000). "Fundic gland polyps: a still elusive entity on the eve of the year 2000". Pol J Pathol. 51 (1): 3–8. PMID 10833897.
- 1 2 3 4 5 6 7 8 9 Burt, RW (2003). "Gastric fundic gland polyps". Gastroenterology. 125 (5): 1462–9. doi:10.1016/j.gastro.2003.07.017. PMID 14598262.
- ↑ Declich, P; Ambrosiani, L; Bellone, S; Tavani, E; Grassini, R; Prada, A; Bortoli, A; Gozzini, C; Omazzi, B (2000). "Parietal cell hyperplasia with deep cystic dilations: a lesion closely mimicking fundic gland polyps". The American journal of gastroenterology. 95 (2): 566–8. doi:10.1111/j.1572-0241.2000.t01-1-01814.x. PMID 10685784.
- ↑ Weston, BR; Helper, DJ; Rex, DK (2003). "Positive predictive value of endoscopic features deemed typical of gastric fundic gland polyps". Journal of Clinical Gastroenterology. 36 (5): 399–402. doi:10.1097/00004836-200305000-00007. PMID 12702980.
- ↑ Declich, P; Bellone, S; Ambrosiani, L; Bortoli, A; Gozzini, C; Tavani, E; Grassini, R; Prada, A (2000). "Fundic gland polyps: do they arise as a by-product of hypergastrinemia in patients with Zollinger-Ellison syndrome?". Human pathology. 31 (7): 889–90. doi:10.1053/hupa.2000.8908. PMID 10923933.
- ↑ Aprile, MR; Azzoni, C; Gibril, F; Jensen, RT; Bordi, C (2000). "Intramucosal cysts in the gastric body of patients with Zollinger-Ellison syndrome". Human pathology. 31 (2): 140–8. doi:10.1016/S0046-8177(00)80213-0. PMID 10685627.
- 1 2 Worthley DL, Phillips KD, Wayte N, Schrader KA, Healey S, Kaurah P, Shulkes A, Grimpen F, Clouston A, Moore D, Cullen D, Ormonde D, Mounkley D, Wen X, Lindor N, Carneiro F, Huntsman DG, Chenevix-Trench G, Suthers GK (2012). "Gastric adenocarcinoma and proximal polyposis of the stomach (GAPPS): a new autosomal dominant syndrome". Gut. 61: 774–9. doi:10.1136/gutjnl-2011-300348.
- ↑ Li J, Woods SL, Healey S, Beesley J; et al. "Point Mutations in Exon 1B of APC Reveal Gastric Adenocarcinoma and Proximal Polyposis of the Stomach as a Familial Adenomatous Polyposis Variant.". Am J Hum Genet. 2016. May 5;98(5):830-42. doi: 10.1016/j.ajhg.2016.03.001. Epub 2016 Apr 14.
- ↑ Freeman, HJ (2008). "Proton pump inhibitors and an emerging epidemic of gastric fundic gland polyposis". World journal of gastroenterology : WJG. 14 (9): 1318–20. doi:10.3748/wjg.14.1318. PMC 2693675
. PMID 18322941. - ↑ Declich, P; Omazzi, B; Tavani, E; Bellone, S; Gozzini, C; Bortoli, A; Prada, A (2006). "Fundic gland polyps and PPI: the Mozart effect of gastrointestinal pathology?". Polish journal of pathology : official journal of the Polish Society of Pathologists. 57 (4): 181–2. PMID 17285759.
- ↑ Vieth, M; Stolte, M (2001). "Fundic gland polyps are not induced by proton pump inhibitor therapy". American journal of clinical pathology. 116 (5): 716–20. doi:10.1309/XFWR-LXA7-7TK1-N3Q8. PMID 11710689.
- ↑ Declich, P; Tavani, E; Ferrara, A; Prada, A; Caruso, S; Bellone, S; Bortoli, A; Porcellati, M; Gozzini, C (2001). "Sporadic fundic gland polyps, GERD and omeprazole usage: is there a little piece of information missed?". Polish journal of pathology : official journal of the Polish Society of Pathologists. 52 (1–2): 63–4. PMID 11505682.
- ↑ Watanabe, N; Seno, H; Nakajima, T; Yazumi, S; Miyamoto, S; Matsumoto, S; Itoh, T; Kawanami, C; et al. (2002). "Regression of fundic gland polyps following acquisition of Helicobacter pylori". Gut. 51 (5): 742–5. doi:10.1136/gut.51.5.742. PMC 1773430
. PMID 12377817. - ↑ 79. Declich P, Tavani E, Bellone S, Porcellati M, Pastori L, Omazzi B, Gozzini C, Bortoli A, Prada A. Sporadic fundic gland polyps: what happened before? Gut. 2004; 53: 1721
- ↑ Abraham, SC; Nobukawa, B; Giardiello, FM; Hamilton, SR; Wu, TT (2001). "Sporadic Fundic Gland Polyps : Common Gastric Polyps Arising Through Activating Mutations in the β-Catenin Gene". The American Journal of Pathology. 158 (3): 1005–10. PMC 1850357
. PMID 11238048. - ↑ Chung, DC (2000). "The genetic basis of colorectal cancer: insights into critical pathways of tumorigenesis". Gastroenterology. 119 (3): 854–65. doi:10.1053/gast.2000.16507. PMID 10982779.
- ↑ Sebastian, S; Qasim, A; McLoughlin, R; O'Morain, CA; O'Connor, HJ (2004). "Fundic gland polyps: not so trivial entity and worth evaluation". Gastroenterology. 126 (5): 1497–8. doi:10.1053/j.gastro.2004.03.044. PMID 15131828.
- ↑ Jalving, M; Koornstra, JJ; Götz, JM; Van Der Waaij, LA; De Jong, S; Zwart, N; Karrenbeld, A; Kleibeuker, JH (2003). "High-grade dysplasia in sporadic fundic gland polyps: a case report and review of the literature". European journal of gastroenterology & hepatology. 15 (11): 1229–33. doi:10.1097/01.meg.0000085492.01212.d2 (inactive 2015-02-01). PMID 14560158.
- ↑ Esaki, M; Matsumoto, T; Mizuno, M; Kobori, Y; Yoshimura, R; Yao, T; Iida, M (2002). "Effect of sulindac treatment for attenuated familial adenomatous polyposis with a new germline APC mutation at codon 161: report of a case". Diseases of the colon and rectum. 45 (10): 1397–402; discussion 1402–6. doi:10.1097/01.DCR.0000029760.39219.D1 (inactive 2015-02-01). PMID 12394442.