G cell
| G cell | |
|---|---|
![]() Control of stomach acid | |
| Details | |
| Identifiers | |
| Latin | endocrinocytus G |
| Code | TH H3.04.02.0.00031 |
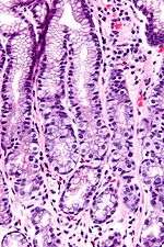
In anatomy, the G cell is a type of cell in the stomach and duodenum that secretes gastrin. It works in conjunction with gastric chief cells and parietal cells. G cells are found deep within the pyloric glands of the stomach antrum, and occasionally in the pancreas[1] and duodenum. The vagus nerve innervates the G cells. Gastrin-releasing peptide is released by the post-ganglionic fibers of the vagus nerve onto G cells during parasympathetic stimulation. The peptide hormone bombesin also stimulates gastrin from G cells. Gastrin-releasing peptide, as well as the presence of amino acids in the stomach, stimulates the release of gastrin from the G cells. Gastrin stimulates enterochromaffin-like cells to secrete histamine.[2] Gastrin also targets parietal cells by increasing the amount of histamine and the direct stimulation by gastrin, causing the parietal cells to increase HCl secretion in the stomach.
Histomorphology

G cells have a distinctive microscopic appearance that allows one to separate them from other cells in the gastric antrum; their nuclei are centrally located in the cell. They are found in the middle portion of the gastric glands.
References
- ↑ "G cell", Medcyclopaedia, GE
- ↑ Guyton, Arthur C.; John E. Hall (2006). Textbook of Medical Physiology (11 ed.). Philadelphia: Elsevier Saunders. p. 797. ISBN 0-7216-0240-1.
External links
- Definition at thefreedictionary.com
- Physiology: 6/6ch4/s6ch4_14 - Essentials of Human Physiology
