Giant platelet disorder
| Giant platelet disorder | |
|---|---|
|
| |
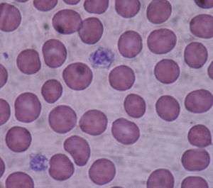
| Two giant platelets (stained purple) are visible in this image from a light microscope (40×) from a peripheral blood smear surrounded by red blood cells. One normal platelet can be seen in the upper left side of the image (purple) and is significantly smaller in size than the red blood cells (stained pink). | |
| Classification and external resources | |
| Specialty | hematology |
| ICD-10 | D69.1 |
Giant platelet disorders are rare disorders featuring abnormally large platelets, thrombocytopenia and a tendency to bleeding. Giant platelets cannot stick adequately to an injured blood vessel walls, resulting in abnormal bleeding when injured. Giant platelet disorder occurs for inherited diseases like Bernard-Soulier syndrome, gray platelet syndrome and May-Hegglin anomaly.
Classification
Giant platelet disorders can be further categorized:[1]
- caused by auto-immune disorders, i.e. Immune Thrombocytopenic Purpura (ITP), characterized by low platelet count, but high MPV (Mean-Platelet Volume).[2]
- Caused by glycoprotein abnormalities: Bernard-Soulier syndrome, Velocardiofacial syndrome
- Caused by calpain defect: Montreal platelet syndrome
- Caused by alpha granules defect: Gray platelet syndrome
- Characterized by abnormal neutrophil inclusions: May-Hegglin anomaly, Sebastian syndrome
- With systemic manifestations: Hereditary macrothrombocytopenia with hearing loss, Epstein syndrome, Fechtner syndrome
- With no specific abnormalities: Mediterranean macrothrombocytopenia
- Harris platelet syndrome
Signs and symptoms
Symptoms usually present from the period of birth to early childhood as: nose bleeds, bruising, and/or gum bleeding. Problems later in life may arise from anything that can cause internal bleeding such as: stomach ulcers, surgery, trauma, or menstruation.[3] Abnormality of the abdomen, Epistaxis, Menorrhagia, Purpura, Thrombocytopenia, and prolonged bleeding time have also been listed as symptoms of various Giant Platelet Disorders.[4]
Diagnosis
People may be diagnosed after prolonged and/or recurring bleeding episodes. Children and adults may also be diagnosed after profuse bleeding after a trauma or tooth extraction. Ultimately, a laboratory diagnosis is usually required. This would utilize platelet aggregation studies and flow cytometry.[5]
Genetics
Many of the further classifications of Giant Platelet Disorder occur as a result of being genetically passed down through families as an autosomal recessive disorder, such as in Bernard-Soulier syndrome and Grey Platelet syndrome.[6]
Treatment
There has been no general recommendation for treatment of patients with Giant Platelet Disorders, as there are many different specific classifications to further categorize this disorder which each need differing treatments. Platelet transfusion is the main treatment for people presenting with bleeding symptoms. There have been experiments with DDAVP (1-deamino-8-arginine vasopressin) and splenectomy on people with Giant platelet disorders with mixed results, making this type of treatment contentious.[7]
References
- ↑ Mhawech, Paulette; Saleem, Abdus (2000). "Inherited Giant Platelet Disorders". American Journal of Clinical Pathology. 113 (2): 176–90. doi:10.1309/FC4H-LM5V-VCW8-DNJU. PMID 10664620.
- ↑ Platelet Disorders Overview of Platelet Disorders at eMedicine
- ↑ "Giant platelet syndrome". MedicineNet. Retrieved 2016-04-14.
- ↑ "Giant platelet syndrome | Disease | Symptoms | Genetic and Rare Diseases Information Center (GARD) – an NCATS Program". rarediseases.info.nih.gov. Retrieved 2016-04-28.
- ↑ "Bernard-Soulier Disease (Giant Platelet Syndrome) Symptoms, Causes, Treatment - What is Bernard-Soulier syndrome? - MedicineNet". MedicineNet. Retrieved 2016-04-28.
- ↑ D’Andrea, Giovanna; Chetta, Massimiliano; Margaglione, Maurizio (2009-10-01). "Inherited platelet disorders: thrombocytopenias and thrombocytopathies". Blood Transfusion. 7 (4): 278–292. doi:10.2450/2009.0078-08. ISSN 1723-2007. PMC 2782805
. PMID 20011639. - ↑ Mhawech, Paulette (2000). "Inherited Giant Platelet Disorders" (PDF). American Society of Clinical Pathologists. Retrieved April 21, 2016.