Goblet cell carcinoid
| Goblet cell carcinoid | |
|---|---|
![]() | |
| Micrograph showing a goblet cell carcinoid. H&E stain. | |
| Classification and external resources |
The goblet cell carcinoid, abbreviated GCC and also known as crypt cell carcinoma and neuroendocrine tumour with goblet cell differentiation, is a rare biphasic gastrointestinal tract tumour that consists of a neuroendocrine component and a conventional carcinoma, histologically arising from Paneth cells.[1]
Sign and symptoms
GCCs may present as appendicitis.
Diagnosis

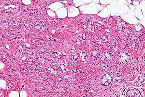
Micrograph of a goblet cell carcinoid. H&E stain.
GCCs are diagnosed by pathology. They have a characteristic biphasic appearance which includes (1) goblet cell-like cells, and (2) neuroendocrine-type nuclear chromatin (stippled chromatin).
Prognosis
GCCs have an aggressive course vis-a-vis other appendiceal neuroendocrine tumours.[1]
Treatment
GCCs are treated with surgery.
See also
References
| Wikimedia Commons has media related to Goblet cell carcinoid. |
This article is issued from Wikipedia - version of the 8/31/2015. The text is available under the Creative Commons Attribution/Share Alike but additional terms may apply for the media files.
