Granuloma annulare
| Granuloma annulare | |
|---|---|
|
Perforating Form of Granuloma Annulare on hand | |
| Classification and external resources | |
| Specialty | dermatology |
| ICD-10 | L92.0 |
| ICD-9-CM | 695.89 |
| DiseasesDB | 5414 |
| MedlinePlus | 000833 |
| eMedicine | derm/169 |
| MeSH | D016460 |
Granuloma annulare is a fairly rare, chronic dermatological condition which presents as reddish bumps on the skin arranged in a circle or ring.[1] It can initially occur at any age and is significantly more common in females (80/20 ratio).
Types
Granuloma annulare may be divided into the following types:[2]:703–5
- Localized granuloma annulare
- Generalized granuloma annulare
- Patch-type granuloma annulare
- Subcutaneous granuloma annulare
- Perforating granuloma annulare
- Granuloma annulare in HrV disease
Causes
The condition is usually seen in otherwise healthy people. Occasionally, it may be associated with diabetes or thyroid disease. It has also been associated with auto-immune diseases such as systemic lupus erythematosus, rheumatoid arthritis, and Addison's disease. At this time no conclusive connection has been made between patients.
Presentation

Aside from the visible rash, granuloma annulare is usually asymptomatic. Sometimes the rash may burn or itch. Patients usually notice a ring of small, firm bumps (papules) over the backs of the forearms, hands or feet, often centered on joints or knuckles. The bumps are caused by the clustering of T cells below the skin. These papules start as very small, pimple looking bumps, which spread over time from that size to dime, quarter, half-dollar size and beyond. Occasionally, multiple rings may join into one. Rarely, granuloma annulare may appear as a firm nodule under the skin of the arms or legs. It also occurs on the sides and circumferential at the waist and without therapy can continue to be present for many years. Outbreaks continue to develop at the edges of the aging rings.
Pathology
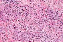
Granuloma annulare, microscopically, consists of dermal epithelioid histiocytes around a central zone of mucin - a so-called palisaded granuloma.
Prognosis and treatment
Because granuloma annulare is usually asymptomatic and self-limiting with a course of about 2 years. Initial treatment is generally topical steroid creams, followed by oral steroids and finally intradermal injections at the site of each ring.[3] Treatment success varies widely, with most patients finding only brief success with the above-mentioned treatments. New research out of India suggests that the combination of rifampin (600 mg), ofloxacin (400 mg), and minocycline hydrochloride (100 mg) once monthly, or ROM therapy, produces promising results.[4] Most lesions of granuloma annulare disappear in pre-pubertal patients with no treatment within two years while older patients (50+) have rings for upwards of 20 years. The appearance of new rings years later is not uncommon.[5]
History
The disease was first described in 1895 by Thomas Colcott Fox and it was named granuloma annulare by Henry Radcliffe Crocker in 1902.[6]
See also
References
- ↑ Dennis, Mark; Bowen, William Talbot; Cho, Lucy (2012). "Granuloma annulare". Mechanisms of Clinical Signs. Elsevier. p. 525. ISBN 978-0729540759; pbk
- ↑ James, William D.; Berger, Timothy G.; et al. (2006). Andrews' Diseases of the Skin: Clinical Dermatology. Saunders Elsevier. ISBN 0-7216-2921-0.
- ↑ http://www.buzzle.com/articles/granuloma-annulare-treatment.html
- ↑ Marcus, D. V.; Mahmoud, B. H.; Hamzavi, I. H. (2009). "Granuloma annulare treated with rifampin, ofloxacin, and minocycline combination therapy". Archives of Dermatology. 145 (7): 787–9. doi:10.1001/archdermatol.2009.55. PMID 19620560.
- ↑ "Granuloma Annulare: Treatment & Medication - March 14, 2007".
- ↑ Shanmuga1, Sekar C.; Rai1, Reena; Laila1, A.; Shanthakumari, S.; Sandhya, V. (2010), "Generalized granuloma annulare with tuberculoid granulomas: A rare histopathological variant", Indian Journal of Dermatology, Venereology and Leprology, 76 (1): 73–75, doi:10.4103/0378-6323.58691, retrieved 23 May 2010
