Hemarthrosis
| Hemarthrosis | |
|---|---|
![]() | |
| Lipohemarthrosis (blood and fat in the joint space) seen in a person with a subtle tibial plateau fracture. The arrow indicates a fluid level between the upper fat component and the lower blood component. | |
| Classification and external resources | |
| Specialty | rheumatology |
| ICD-10 | M25.0 |
| ICD-9-CM | 719.1 |
| DiseasesDB | 29653 |
| MeSH | D006395 |
Hemarthrosis (or haemarthrosis, plural h(a)emarthroses) is a bleeding into joint spaces. It is a common feature of Hemophilia. The presence of it excludes the Idiopathic thrombocytopenic purpura (ITP).
Causes
It usually follows injury but occurs mainly in patients with a predisposition to hemorrhage such as those being treated with warfarin (or other anticoagulants) and patients with hemophilia.
It can be associated with knee joint arthroplasty.[1]
It has also been reported as a part of hemorrhagic syndrome in the Crimean-Congo Hemorrhagic Fever, suggesting a viral etiology to the bleeding in a joint space.[2][3]
Treatment
In hemophilia it may occur spontaneously, and recurrent hemarthroses are a major cause of disability in that patient group due to hemophilic arthropathy, requiring synovectomy, joint replacement[4] and increased medical therapy to prevent further bleeding episodes, although it is controversial whether clotting factor administration adequately prevents hemarthroses.[5]
Complications
Up to a quarter of all severe ligament or capsular knee injuries leading to a haemarthrosis are associated with cartilage damage that can lead to progressive degenerative arthritis.[6]
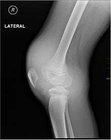
X-ray of Hemarthrosis
X-ray of Hemarthrosis
References
- ↑ Ohdera T, Tokunaga M, Hiroshima S, Yoshimoto E, Matsuda S (2004). "Recurrent hemarthrosis after knee joint arthroplasty: etiology and treatment". J Arthroplasty. 19 (2): 157–61. doi:10.1016/j.arth.2003.09.009. PMID 14973857.
- ↑ Ahmeti, Salih; Ajazaj-Berisha, Lindita; Halili, Bahrije; Shala, Anita (Apr 2014). "Acute arthritis in Crimean-Congo hemorrhagic fever". Journal of Global Infectious Diseases. 6 (2): 79–81. doi:10.4103/0974-777X.132052. PMC 4049045
. PMID 24926169. - ↑ Heyman, Paul; Cochez, Christel; Hofhuis, Agnetha; van der Giessen, Joke; Sprong, Hein; Porter, Sarah Rebecca; Losson, Bertrand; Saegerman, Claude; Donoso-Mantke, Oliver; Niedrig, Matthias; Papa, Anna (2010). "A Clear and Present Danger: Tick-borne Diseases in Europe". Expert Rev Anti Infect Ther. 8 (1): 33–50. doi:10.1586/eri.09.118. PMID 20014900.
- ↑ Dunn AL (Sep 2005). "Management and prevention of recurrent hemarthrosis in patients with hemophilia". Current Opinion in Hematology. 12 (5): 390–4. doi:10.1097/01.moh.0000169285.66841.c8. PMID 16093785.
- ↑ Stobart K, Iorio A, Wu JK (2006). Stobart K, ed. "Clotting factor concentrates given to prevent bleeding and bleeding-related complications in people with hemophilia A or B". Cochrane Database Syst Rev (2): CD003429. doi:10.1002/14651858.CD003429.pub3. PMID 16625581.
- ↑ Goldberg A, Stansby G "Surgical Talk" 2nd edition
