Spinal disc herniation
| Spinal disc herniation | |
|---|---|
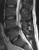
|
A spinal disc herniation demonstrated via MRI. | |
| Classification and external resources | |
| Specialty | Orthopedics, neurosurgery |
| ICD-10 | M51.2 |
| ICD-9-CM | 722.0-722.2 |
| OMIM | 603932 |
| DiseasesDB | 6861 |
| MedlinePlus | 000442 |
| eMedicine | orthoped/138 radio/219 |
| MeSH | D007405 |
Spinal disc herniation, also known as a slipped disc or herniated nucleus pulposus, is a medical condition affecting the spine in which a tear in the outer, fibrous ring of an intervertebral disc allows the soft, central portion to bulge out beyond the damaged outer rings. Disc herniation is usually due to age-related degeneration of the anulus fibrosus, although trauma, lifting injuries, or straining have been implicated. Tears are almost always postero-lateral in nature owing to the presence of the posterior longitudinal ligament in the spinal canal.[1] This tear in the disc ring may result in the release of inflammatory chemical mediators, which may directly cause severe pain, even in the absence of nerve root compression.
Disc herniations are normally a further development of a previously existing disc protrusion, a condition in which the outermost layers of the fibrous ring are still intact, but can bulge when the disc is under pressure. In contrast to a herniation, none of the central portion escapes beyond the outer layers. Most minor herniations heal within several weeks. Anti-inflammatory treatments for pain associated with disc herniation, protrusion, bulge, or disc tear are generally effective. Severe herniations may not heal of their own accord and may require surgery. The condition is widely referred to as a slipped disc, but this term is not medically accurate as the spinal discs are firmly attached between the vertebrae and cannot "slip" out of place.
Signs and symptoms
Symptoms of a herniated disc can vary depending on the location of the herniation and the types of soft tissue that become involved. They can range from little or no pain if the disc is the only tissue injured, to severe and unrelenting neck or lower back pain that will radiate into the regions served by affected nerve roots that are irritated or impinged by the herniated material. Often, herniated discs are not diagnosed immediately, as the patients come with undefined pains in the thighs, knees, or feet. Other symptoms may include sensory changes such as numbness, tingling, paresthesia, and motor changes such as muscular weakness, paralysis and affection of reflexes. If the herniated disc is in the lumbar region the patient may also experience sciatica due to irritation of one of the nerve roots of the sciatic nerve. Unlike a pulsating pain or pain that comes and goes, which can be caused by muscle spasm, pain from a herniated disc is usually continuous or at least is continuous in a specific position of the body. It is possible to have a herniated disc without any pain or noticeable symptoms, depending on its location. If the extruded nucleus pulposus material doesn't press on soft tissues or nerves, it may not cause any symptoms. A small-sample study examining the cervical spine in symptom-free volunteers has found focal disc protrusions in 50% of participants, which suggests that a considerable part of the population can have focal herniated discs in their cervical region that do not cause noticeable symptoms.[2][3]
A prolapsed disc in the lumbar spine can cause radiating nerve pain. This type of pain is usually felt in the lower extremities or groin area. Radiating nerve pain caused by a prolapsed disc can also cause bowel and bladder incontinence.[4]
Typically, symptoms are experienced only on one side of the body. If the prolapse is very large and presses on the nerves within the spinal column or the cauda equina, both sides of the body may be affected, often with serious consequences. Compression of the cauda equina can cause permanent nerve damage or paralysis. The nerve damage can result in loss of bowel and bladder control as well as sexual dysfunction. This disorder is called cauda equina syndrome.
Other complications include chronic pain.
Cause
Most authors favor degeneration of the intervertebral disc as the major cause of spinal disc herniation and cite trauma as a low cause.[5] Disc degeneration occurs both with degenerative disc disease and aging.[6] With degeneration the contents of the disc, the nucleus pulposus and anulus fibrosus, are exposed to altered loads. Specifically, the nucleus becomes fibrous and stiff and less able to bear load. The load is transferred to the anulus which, if it fails to bear the increased load, can lead to the development of fissures. If the fissures reach the periphery of the anulus, the nuclear material can pass through as a disc herniation.[6]
Disc herniations can result from general wear and tear, such as constant sitting/ squatting, driving, and a sedentary lifestyle.[7] However, herniations can also result from the lifting of heavy loads. Professional athletes, especially those playing contact sports such as American football, are prone to disc herniations as well.[8][9] Within such an athletic context, herniation is often the result of sudden blunt impacts against, or abrupt bending or torsional movements of, the lower back. When the spine is straight, such as in standing or lying down, internal pressure is equalized on all parts of the discs. While sitting or bending to lift, internal pressure on a disc can move from 17 psi (lying down) to over 300 psi (lifting with a rounded back). . Herniation of the contents of the disc into the spinal canal often occurs when the anterior side (stomach side) of the disc is compressed while sitting or bending forward, and the contents (nucleus pulposus) get pressed against the tightly stretched and thinned membrane (anulus fibrosus) on the posterior side (back side) of the disc. The combination of membrane thinning from stretching and increased internal pressure (200 to 300 psi) results in the rupture of the confining membrane. The jelly-like contents of the disc then move into the spinal canal, pressing against the spinal nerves, which may produce intense and potentially disabling pain and other symptoms.
Several genes are also associated with intervertebral disc degeneration. Probable candidate genes like type I collagen (sp1 site), type IX collagen, vitamin D receptor, aggrecan, asporin, MMP3, interleukin-1 and interleukin-6 polymorphisms have been implicated in disc degeneration.[10] Mutation in genes coding for proteins involved in the regulation of the extracellular matrix, such as MMP2 and THBS2, has been demonstrated to contribute to lumbar disc herniation.[11]
Pathophysiology
Although many minor disc herniations heal on their own with conservative treatment, occasionally disc herniations require surgery for correction. A primary focus of surgery is to remove pressure or reduce mechanical compression on a neural element— either the spinal cord, or a nerve root. But it is increasingly recognized that back pain, rather than being solely due to compression, may also be due to chemical inflammation.[12][13][14][15] There is evidence that points to a specific inflammatory mediator of this pain.[16][17] This inflammatory molecule, called tumor necrosis factor-alpha (TNF), is released not only by the herniated disc, but also in cases of disc tear (annular tear), by facet joints, and in spinal stenosis.[12][18][19][20] In addition to causing pain and inflammation, TNF may also contribute to disc degeneration.[21]
The majority of spinal disc herniation cases occur in lumbar region (95% in L4-L5 or L5-S1).[22] The second most common site is the cervical region (C5-C6, C6-C7). The thoracic region accounts for only 0.15% to 4.0% of cases. Herniations usually occur posterolaterally, where the anulus fibrosus is relatively thin and is not reinforced by the posterior or anterior longitudinal ligament.[22] In the cervical spinal cord, a symptomatic posterolateral herniation between two vertebrae will impinge on the nerve which exits the spinal canal between those two vertebrae on that side.[22] So for example, a right posterolateral herniation of the disc between vertebrae C5 and C6 will impinge on the right C6 spinal nerve. The rest of the spinal cord, however, is oriented differently, so a symptomatic posterolateral herniation between two vertebrae will actually impinge on the nerve exiting at the next intervertebral foramen down.[22] So for example, a herniation of the disc between the L5 and S1 vertebrae will impinge on the S1 spinal nerve, which exits between the S1 and S2 vertebrae.
Cervical disc herniation

Cervical disc herniations occur in the neck, most often between the fifth & sixth (C5/6) and the sixth and seventh (C6/7) cervical vertebral bodies. Symptoms [23] can affect the back of the skull, the neck, shoulder girdle, scapula, arm, and hand. The nerves of the cervical plexus and brachial plexus can be affected.[24] Usually, a posterolateral disc hernia will affect the nerve root exiting at the level of the disk. Nerves roots are numbered according to the vertebral body below them (except the C8 nerve root). Thus, a C5/6 disc hernia will normally affect the C6 nerve root.
Lumbar disc herniation

Lumbar disc herniations occur in the lower back, most often between the fourth and fifth lumbar vertebral bodies or between the fifth and the sacrum. Symptoms can affect the lower back, buttocks, thigh, anal/genital region (via the Perineal nerve), and may radiate into the foot and/or toe. The sciatic nerve is the most commonly affected nerve, causing symptoms of sciatica. The femoral nerve can also be affected[25] and cause the patient to experience a numb, tingling feeling throughout one or both legs and even feet or even a burning feeling in the hips and legs. A hernia in the lumbar region often compresses the nerve root exiting at the level below the disk. Thus, a herniation of the L4/5 disc will compress the L5 nerve root.
Intradural disc herniation
Intradural disc herniation is a rare form of disc herniation with an incidence of 0.2-2.2%. Preoperative imaging can be helpful, but intraoperative findings are required to confirm.[26]
Diagnosis
Diagnosis is made by a practitioner based on the history, symptoms, and physical examination. At some point in the evaluation, tests may be performed to confirm or rule out other causes of symptoms such as spondylolisthesis, degeneration, tumors, metastases and space-occupying lesions, as well as to evaluate the efficacy of potential treatment options.
Terminology
Some of the terms commonly used to describe the condition include herniated disc, prolapsed disc, ruptured disc and slipped disc. Other phenomena that are closely related include disc protrusion, pinched nerves, sciatica, disc disease, disc degeneration, degenerative disc disease, and black disc. The popular term slipped disc is a misnomer, as the intervertebral discs are tightly sandwiched between two vertebrae to which they are attached, and cannot actually "slip", or even get out of place. The disc is actually grown together with the adjacent vertebrae and can be squeezed, stretched and twisted, all in small degrees. It can also be torn, ripped, herniated, and degenerated, but it cannot "slip".[27] Some authors consider that the term "slipped disc" is harmful, as it leads to an incorrect idea of what has occurred and thus of the likely outcome.[28][29][30] However, during growth, one vertebral body can slip relative to an adjacent vertebral body. This congenital deformity is called spondylolisthesis.[30]
- Click images to see larger versions
-

Lumbar disc lesions, classification
-

Normal situation and spinal disc herniation in cervical vertebrae.
-

Illustration depicting herniated disc and spinal nerve compression
-

Nucleus herniating through tear in anulus (with MRI)[1]
- ^ Anjankar SD, Poornima S, Raju S, Jaleel M, Bhiladvala D, Hasan Q. Degenerated intervertebral disc prolapse and its association of collagen I alpha 1 Spl gene polymorphism: A preliminary case control study of Indian population. Indian J Orthop 2015;49:589-94
Physical examination
The straight leg raise may be positive, as this finding has low specificity; however, it has high sensitivity. Thus the finding of a negative SLR sign is important in helping to "rule out" the possibility of a lower lumbar disc herniation. A variation is to lift the leg while the patient is sitting.[31] However, this reduces the sensitivity of the test.[32]
Imaging
- X-ray: Although traditional plain X-rays are limited in their ability to image soft tissues such as discs, muscles, and nerves, they are still used to confirm or exclude other possibilities such as tumors, infections, fractures, etc. In spite of these limitations, X-ray can still play a relatively inexpensive role in confirming the suspicion of the presence of a herniated disc. If a suspicion is thus strengthened, other methods may be used to provide final confirmation.
- Computed tomography scan (CT or CAT scan): A diagnostic image created after a computer reads x-rays. It can show the shape and size of the spinal canal, its contents, and the structures around it, including soft tissues. However, visual confirmation of a disc herniation can be difficult with a CT.
- Magnetic resonance imaging (MRI): A diagnostic test that produces three-dimensional images of body structures using powerful magnets and computer technology. It can show the spinal cord, nerve roots, and surrounding areas, as well as enlargement, degeneration, and tumors. It shows soft tissues even better than CAT scans. An MRI performed with a high magnetic field strength usually provides the most conclusive evidence for diagnosis of a disc herniation. T2-weighted images allow for clear visualization of protruded disc material in the spinal canal.
- Myelogram: An x-ray of the spinal canal following injection of a contrast material into the surrounding cerebrospinal fluid spaces. By revealing displacement of the contrast material, it can show the presence of structures that can cause pressure on the spinal cord or nerves, such as herniated discs, tumors, or bone spurs. Because it involves the injection of foreign substances, MRI scans are now preferred for most patients. Myelograms still provide excellent outlines of space-occupying lesions, especially when combined with CT scanning (CT myelography).
- Electromyogram and Nerve conduction studies (EMG/NCS): These tests measure the electrical impulse along nerve roots, peripheral nerves, and muscle tissue. This will indicate whether there is ongoing nerve damage, if the nerves are in a state of healing from a past injury, or whether there is another site of nerve compression. EMG/NCS studies are typically used to pinpoint the sources of nerve dysfunction distal to the spine.
- The presence and severity of myelopathy can be evaluated by means of Transcranial Magnetic Stimulation (TMS), a neurophysiological method that allows the measurement of the time required for a neural impulse to cross the pyramidal tracts, starting from the cerebral cortex and ending at the anterior horn cells of the cervical, thoracic or lumbar spinal cord. This measurement is called Central Conduction Time (CCT). TMS can aid physicians to:
- determine whether myelopathy exists
- identify the level of the spinal cord where myelopathy is located. This is especially useful in cases where more that two lesions may be responsible for the clinical symptoms and signs, such as in patients with two or more cervical disc hernias[33]
- follow-up the progression of myelopathy in time, for example before and after cervical spine surgery
- TMS can also help in the differential diagnosis of different causes of pyramidal tract damage.[34]
-

Narrowed space between L5 and S1 vertebrae, indicating probable prolapsed intervertebral disc - a classic picture.
-

MRI scan of cervical disc herniation between fifth and sixth cervical vertebral bodies. Note that herniation between sixth and seventh cervical vertebral bodies is most common.
-

MRI scan of cervical disc herniation between sixth and seventh cervical vertebral bodies.
-

MRI scan of large herniation (on the right) of the disc between the L4-L5 vertebrae.
-

MRI Scan of lumbar disc herniation between fourth and fifth lumbar vertebral bodies.
-

A rather severe herniation of the L4-L5 disc.
-

Example of a herniated disc at the L5-S1 in the lumbar spine.
Differential diagnosis
- Mechanical pain
- Discogenic pain
- Myofascial pain
- Spondylosis/spondylolisthesis
- Spinal stenosis
- Abscess
- Hematoma
- Discitis/osteomyelitis
- Mass lesion/malignancy
- Myocardial infarction
- Aortic dissection
Prevention
Because there are various causes for back injuries, prevention must be comprehensive. Back injuries are predominant in manual labor so the majority low back pain prevention methods have been applied primarily toward biomechanics[35] Prevention must come from multiple sources such as education, proper body mechanics, and physical fitness.
Education
Education should emphasize not lifting beyond one's capabilities and giving the body a rest after strenuous effort. Over time, poor posture can cause the IVD to tear or become damaged. Striving to maintain proper posture and alignment will aid in preventing disc degradation.[36]
Exercise
Exercises that are used to enhance back strength may also be used to prevent back injuries. Back exercises include the prone press-ups, upper back extension, transverse abdominus bracing, and floor bridges. If pain is present in the back, it can mean that the stabilization muscles of the back are weak and a person needs to train the trunk musculature. Other preventative measures are to lose weight and to not work oneself past fatigue. Signs of fatigue include shaking, poor coordination, muscle burning and loss of the transverse abdominal brace. Heavy lifting should be done with the legs performing the work, and not the back.
Swimming is a common tool used in strength training. The usage of lumbarsacral support belts may restrict movement at the spine and support the back during lifting.[37]
Treatment
In the majority of cases, spinal disc herniation doesn't require surgery, and a study on sciatica, which can be caused by spinal disc herniation, found that "after 12 weeks, 73% of people showed reasonable to major improvement without surgery."[38] The study, however, did not determine the number of individuals in the group that had sciatica caused by disc herniation.
- Initial treatment usually consists of non-steroidal anti-inflammatory pain medication (NSAIDs), but the long-term use of NSAIDs for people with persistent back pain is complicated by their possible cardiovascular and gastrointestinal toxicity.
- Epidural corticosteroid injections provide a slight and questionable short-term improvement in those with sciatica but are of no long term benefit.[39] Complications occur in 0 to 17% of cases when performed on the neck and most are minor.[40] In 2014, the US Food and Drug Administration (FDA) suggested that the "injection of corticosteroids into the epidural space of the spine may result in rare but serious adverse events, including loss of vision, stroke, paralysis, and death." and that "The effectiveness and safety of epidural administration of corticosteroids have not been established, and FDA has not approved corticosteroids for this use.".[41]
Lumbar disc herniation
Non-surgical methods of treatment are usually attempted first, leaving surgery as a last resort. Pain medications are often prescribed as the first attempt to alleviate the acute pain and allow the patient to begin exercising and stretching. There are a variety of other non-surgical methods used in attempts to relieve the condition after it has occurred, often in combination with pain killers. They are either considered indicated, contraindicated, relatively contraindicated, or inconclusive based on the safety profile of their risk-benefit ratio and on whether they may or may not help:
Indicated
- Education on proper body mechanics
- Physical therapy, to address mechanical factors, and may include modalities to temporarily relieve pain (i.e. traction, electrical stimulation, massage)
- Non-steroidal anti-inflammatory drugs (NSAIDs)
- Weight control
- Spinal manipulation: Moderate quality evidence suggests that spinal manipulation is more effective than placebo for the treatment of acute (less than 3 months duration) lumbar disc herniation and acute sciatica.[42][43] The same study also found "low to very low" evidence for its usefulness in treating chronic lumbar symptoms (more than 3 months) and "The quality of evidence for ... cervical spine–related extremity symptoms of any duration is low or very low". A 2006 review of published research stated that spinal manipulation is likely to be safe when used by appropriately trained practitioners,"[44] and research currently suggests that spinal manipulation is safe for the treatment of disc-related pain.[45]
Contraindicated
Spinal manipulation is contraindicated for disc herniations when there are progressive neurological deficits such as with cauda equina syndrome.[46]
A review of non-surgical spinal decompression found shortcomings in most published studies and concluded that there was only "very limited evidence in the scientific literature to support the effectiveness of non-surgical spinal decompression therapy."[47] Its use and marketing have been very controversial.[48]
Surgery
Surgery may be useful in those with a herniated disc that is causing significant pain radiating into the leg, significant leg weakness, bladder problems, or loss of bowel control.[49] Discectomy (the partial removal of a disc that is causing leg pain) can provide pain relief sooner than nonsurgical treatments.[49] Discectomy has better outcomes at one year but not at four to ten years.[49] The less invasive microdiscectomy has not been shown to result in a significantly different outcome than regular discectomy with respect to pain.[49] It might however have less risk of infection.[50]
The presence of cauda equina syndrome (in which there is incontinence, weakness and genital numbness) is considered a medical emergency requiring immediate attention and possibly surgical decompression. Regarding the role of surgery for failed medical therapy in people without a significant neurological deficit, a Cochrane review concluded that "limited evidence is now available to support some aspects of surgical practice".
Epidemiology
Disc herniation can occur in any disc in the spine, but the two most common forms are lumbar disc herniation and cervical disc herniation. The former is the most common, causing lower back pain (lumbago) and often leg pain as well, in which case it is commonly referred to as sciatica. Lumbar disc herniation occurs 15 times more often than cervical (neck) disc herniation, and it is one of the most common causes of lower back pain. The cervical discs are affected 8% of the time and the upper-to-mid-back (thoracic) discs only 1 - 2% of the time.[51]
The following locations have no discs and are therefore exempt from the risk of disc herniation: the upper two cervical intervertebral spaces, the sacrum, and the coccyx. Most disc herniations occur when a person is in their thirties or forties when the nucleus pulposus is still a gelatin-like substance. With age the nucleus pulposus changes ("dries out") and the risk of herniation is greatly reduced. After age 50 or 60, osteoarthritic degeneration (spondylosis) or spinal stenosis are more likely causes of low back pain or leg pain.
- 4.8% males and 2.5% females older than 35 experience sciatica during their lifetime.
- Of all individuals, 60% to 80% experience back pain during their lifetime.
- In 14%, pain lasts more than 2 weeks.
- Generally, males have a slightly higher incidence than females.
Etymology
A spinal disc herniation is known in Latin as prolapsus disci intervertebralis.
Research
Future treatments may include stem cell therapy.[52]
References
- ↑ Gerald L. Burke. "Backache: From Occiput to Coccyx". MacDonald Publishing. Retrieved 2013-02-14.
- ↑ Robert E Windsor (2006). "Frequency of asymptomatic cervical disc protrusions". Cervical Disc Injuries. eMedicine. Retrieved 2008-02-27.
- ↑ Ernst CW, Stadnik TW, Peeters E, Breucq C, Osteaux MJ (Sep 2005). "Prevalence of annular tears and disc herniations on MR images of the cervical spine in symptom free volunteers". Eur J Radiol. 55 (3): 409–14. doi:10.1016/j.ejrad.2004.11.003. PMID 16129249.
- ↑ "Prolapsed Disc Arizona Pain". arizonapain.com. Retrieved 2015-02-10.
- ↑ Simeone, F.A.; Herkowitz, H.N.; Garfin. Rothman-Simeone, The Spine. ISBN 9780721647777.
- 1 2 Del Grande F, Maus TP, Carrino JA (July 2012). "Imaging the intervertebral disk: age-related changes, herniations, and radicular pain.". Radiol. Clin. North Am. 50 (4): 629–49. doi:10.1016/j.rcl.2012.04.014. PMID 22643389.
- ↑ Kraemer J (March 1995). "Natural course and prognosis of intervertebral disc diseases. International Society for the Study of the Lumbar Spine Seattle, Washington, June 1994". Spine. 20 (6): 635–9. doi:10.1097/00007632-199503150-00001. PMID 7604337.
- ↑ Hsu, Wellington K. (August 2010). "Lumbar and Cervical Disk Herniations in NFL Players: Return to Action". Orthopedics. 33 (8): 566–568. doi:10.3928/01477447-20100625-18.
- ↑ Earhart, Jeffrey S.; Roberts, David; Roc, Gilbert; Gryzlo, Stephen; Hsu, Wellington (January 2012). "Effects of Lumbar Disk Herniation on the Careers of Professional Baseball Players". Orthopedics. 35 (1): 43–49. doi:10.3928/01477447-20111122-40.
- ↑
- ↑ Yuichiro Hirose; et al. (May 2008). "A Functional Polymorphism in THBS2 that Affects Alternative Splicing and MMP Binding Is Associated with Lumbar-Disc Herniation" (PDF). American Journal of Human Genetics. 82 (5): 1122–1129. doi:10.1016/j.ajhg.2008.03.013. PMC 2427305
. PMID 18455130. - 1 2 Peng B, Wu W, Li Z, Guo J, Wang X (Jan 2007). "Chemical radiculitis". Pain. 127 (1–2): 11–6. doi:10.1016/j.pain.2006.06.034. PMID 16963186.
- ↑ Marshall LL, Trethewie ER (Aug 1973). "Chemical irritation of nerve-root in disc prolapse". Lancet. 2 (7824): 320. doi:10.1016/S0140-6736(73)90818-0. PMID 4124797.
- ↑ McCarron RF, Wimpee MW, Hudkins PG, Laros GS (Oct 1987). "The inflammatory effect of nucleus pulposus. A possible element in the pathogenesis of low-back pain". Spine. 12 (8): 760–4. doi:10.1097/00007632-198710000-00009. PMID 2961088.
- ↑ Takahashi H, Suguro T, Okazima Y, Motegi M, Okada Y, Kakiuchi T (Jan 1996). "Inflammatory cytokines in the herniated disc of the lumbar spine". Spine. 21 (2): 218–24. doi:10.1097/00007632-199601150-00011. PMID 8720407.
- ↑ Igarashi T, Kikuchi S, Shubayev V, Myers RR (Dec 2000). "2000 Volvo Award winner in basic science studies: Exogenous tumor necrosis factor-alpha mimics nucleus pulposus-induced neuropathology. Molecular, histologic, and behavioral comparisons in rats". Spine. 25 (23): 2975–80. doi:10.1097/00007632-200012010-00003. PMID 11145807.
- ↑ Sommer C, Schäfers M (2004). "Mechanisms of neuropathic pain: the role of cytokines". Drug Discovery Today: Disease Mechanisms. 1 (4): 441–8. doi:10.1016/j.ddmec.2004.11.018.
- ↑ Igarashi A, Kikuchi S, Konno S, Olmarker K (Oct 2004). "Inflammatory cytokines released from the facet joint tissue in degenerative lumbar spinal disorders". Spine. 29 (19): 2091–5. doi:10.1097/01.brs.0000141265.55411.30. PMID 15454697.
- ↑ Sakuma Y, Ohtori S, Miyagi M, et al. (Aug 2007). "Up-regulation of p55 TNF alpha-receptor in dorsal root ganglia neurons following lumbar facet joint injury in rats". Eur Spine J. 16 (8): 1273–8. doi:10.1007/s00586-007-0365-3. PMC 2200776
. PMID 17468886. - ↑ Sekiguchi M, Kikuchi S, Myers RR (May 2004). "Experimental spinal stenosis: relationship between degree of cauda equina compression, neuropathology, and pain". Spine. 29 (10): 1105–11. doi:10.1097/00007632-200405150-00011. PMID 15131438.
- ↑ Séguin CA, Pilliar RM, Roughley PJ, Kandel RA (Sep 2005). "Tumor necrosis factor-alpha modulates matrix production and catabolism in nucleus pulposus tissue". Spine. 30 (17): 1940–8. doi:10.1097/01.brs.0000176188.40263.f9. PMID 16135983.
- 1 2 3 4 Moore, Keith L. Moore, Anne M.R. Agur ; in collaboration with and with content provided by Arthur F. Dalley II ; with the expertise of medical illustrator Valerie Oxorn and the developmental assistance of Marion E. (2007). Essential clinical anatomy (3rd ed.). Baltimore, MD: Lippincott Williams & Wilkins. p. 286. ISBN 0-7817-6274-X.
- ↑ "Symptoms of Herniated Cervical Disc".
- ↑ Cervical herniation at eMedicine
- ↑ Lumbar herniation at eMedicine
- ↑ Kobayashi, K (October 2014). "Intradural disc herniation: Radiographic findings and surgical results with a literature review". Clinical Neurology and Neurosurgery. 125: 47–51. doi:10.1016/j.clineuro.2014.06.033. Retrieved August 19, 2014.
- ↑ December 19, 2011. "Slipped discs: "they do not actually 'slip'..."". Emedicinehealth.com. Retrieved 2011-12-19.
- ↑ "Prolapsed disc". Spine-inc.com. Retrieved 2011-12-19.
- ↑ Ehealthmd.com FAQ: "...the entire disc does not 'slip' out of place."
- 1 2 Gerald L. Burke. "Backache: From Occiput to Coccyx". MacDonald Publishing. Retrieved 2008-03-14.
- ↑ Waddell G, McCulloch JA, Kummel E, Venner RM (1980). "Nonorganic physical signs in low-back pain". Spine. 5 (2): 117–25. doi:10.1097/00007632-198003000-00005. PMID 6446157.
- ↑ Rabin A, Gerszten PC, Karausky P, Bunker CH, Potter DM, Welch WC (2007). "The sensitivity of the seated straight-leg raise test compared with the supine straight-leg raise test in patients presenting with magnetic resonance imaging evidence of lumbar nerve root compression". Archives of physical medicine and rehabilitation. 88 (7): 840–3. doi:10.1016/j.apmr.2007.04.016. PMID 17601462.
- ↑ Deftereos SN, et al. (April–June 2009). "Localisation of cervical spinal cord compression by TMS and MRI". Funct Neurol. 24 (2): 99–105. PMID 19775538.
- ↑ Chen R, Cros D, Curra A, et al. (March 2008). "The clinical diagnostic utility of transcranial magnetic stimulation: report of an IFCN committee". Clin Neurophysiol. 119 (3): 504–32. doi:10.1016/j.clinph.2007.10.014. PMID 18063409.
- ↑ Jacobs WC, Arts MP, van Tulder MW, et al. (November 2012). "Surgical techniques for sciatica due to herniated disc, a systematic review". Eur Spine J. 21 (11): 2232–51. doi:10.1007/s00586-012-2422-9. PMC 3481105
. PMID 22814567. - ↑ Marrone, Lisa (2008). Overcoming Back and Neck Pain. Harvest House. p. 37.
- ↑ Marrone, Lisa (2008). Overcoming Back and Neck Pain. Harvest House. p. 31.
- ↑ Vroomen PC, de Krom MC, Knottnerus JA (Feb 2002). "Predicting the outcome of sciatica at short-term follow-up". Br J Gen Pract. 52 (475): 119–23. PMC 1314232
. PMID 11887877. - ↑ Pinto, RZ; Maher, CG; Ferreira, ML; Hancock, M; Oliveira, VC; McLachlan, AJ; Koes, B; Ferreira, PH (18 December 2012). "Epidural corticosteroid injections in the management of sciatica: a systematic review and meta-analysis.". Annals of Internal Medicine. 157 (12): 865–77. doi:10.7326/0003-4819-157-12-201212180-00564. PMID 23362516.
- ↑ Abbasi A, Malhotra G, Malanga G, Elovic EP, Kahn S (Sep 2007). "Complications of interlaminar cervical epidural steroid injections: a review of the literature". Spine. 32 (19): 2144–51. doi:10.1097/BRS.0b013e318145a360. PMID 17762818.
- ↑ "Epidural Corticosteroid Injection: Drug Safety Communication - Risk of Rare But Serious Neurologic Problems". 2014.
- ↑ Leininger B, Bronfort G, Evans R, Reiter T (2011). "Spinal manipulation or mobilization for radiculopathy: a systematic review". Phys Med Rehabil Clin N Am. 22 (1): 105–25. doi:10.1016/j.pmr.2010.11.002. PMID 21292148.
- ↑ Hahne AJ, Ford JJ, McMeeken JM (2010). "Conservative management of lumbar disc herniation with associated radiculopathy: a systematic review". Spine. 35 (11): E488–504. doi:10.1097/BRS.0b013e3181cc3f56. PMID 20421859.
- ↑ Snelling N (2006). "Spinal manipulation in patients with disc herniation: A critical review of risk and benefit". International Journal of Osteopathic Medicine. 9 (3): 77–84. doi:10.1016/j.ijosm.2006.08.001.
- ↑ Oliphant, D (2004). "Safety of Spinal Manipulation in the Treatment of Lumbar Disk Herniations: A Systematic Review and Risk Assessment". Journal of manipulative and physiological therapeutics. 27 (3): 197–210. doi:10.1016/j.jmpt.2003.12.023. PMID 15129202.
- ↑ WHO guidelines on basic training and safety in chiropractic. "2.1 Absolute contraindications to spinal manipulative therapy", p. 21. WHO
- ↑ Daniel, Dwain M (2007). "Non-surgical spinal decompression therapy: does the scientific literature support efficacy claims made in the advertising media?". Chiropractic and Osteopathy. 15 (1): 7. doi:10.1186/1746-1340-15-7. PMC 1887522
. PMID 17511872. - ↑ Be Wary of Spinal Decompression Therapy with VAX-D or Similar Devices, Stephen Barrett
- 1 2 3 4 Manusov, EG (September 2012). "Surgical treatment of low back pain.". Primary care. 39 (3): 525–31. doi:10.1016/j.pop.2012.06.010. PMID 22958562.
- ↑ Rasouli, MR; Rahimi-Movaghar, V; Shokraneh, F; Moradi-Lakeh, M; Chou, R (Sep 4, 2014). "Minimally invasive discectomy versus microdiscectomy/open discectomy for symptomatic lumbar disc herniation.". The Cochrane database of systematic reviews. 9: CD010328. doi:10.1002/14651858.CD010328.pub2. PMID 25184502.
- ↑ MedlinePlus Encyclopedia Herniated nucleus pulposus Frequency
- ↑ Leung VY, Chan D, Cheung KM (Aug 2006). "Regeneration of intervertebral disc by mesenchymal stem cells: potentials, limitations, and future direction". Eur Spine J. 15 Suppl 3 (Suppl 3): S406–13. doi:10.1007/s00586-006-0183-z. PMC 2335386
. PMID 16845553.
External links
| Wikimedia Commons has media related to Spinal disc herniation. |
- Spinal disc herniation at DMOZ
- Herniated Disc - WebMD
- Low Back Pain with Sciatica Infographic, information on spinal disc herniations - Mount Sinai Hospital, New York
