Histiocytoma (dog)

A histiocytoma in the dog is a benign tumor. It is an abnormal growth in the skin of histiocytes (histiocytosis), a cell that is part of the immune system. A similar disease in humans, Hashimoto-Pritzker disease, is also a Langerhans cell histiocytosis.[1] Dog breeds that may be more at risk for this tumor include Bulldogs, American Pit Bull Terriers, American Staffordshire Terriers, Scottish Terriers, Greyhounds, Boxers, and Boston Terriers. They also rarely occur in goats and cattle.[2]
Histiocytic disorders
A histiocyte is a differentiated tissue cell that has its origin in the bone marrow. The source for histiocytes is the monocyte/macrophage line. Monocytes (found in the blood) and macrophages (found in tissue) are responsible for phagocytosis (ingestion) of foreign material in the body. Langerhans cells are dendritic cells found in the skin and function by internalizing antigens (foreign particles) and presenting them to T cells. They arise from monocytes.[3] Histiocytic disorders refer to diseases that are caused by abnormal behavior of these cells. They include the following:
- Reactive diseases of Langerhans cells
- Histiocytomas
- Cutaneous histiocytosis
- Systemic histiocytosis
- Reactive diseases of macrophages
- Hemophagocytic syndrome - a condition where macrophages phagocytose myeloid and erythroid precursors (similar to hemophagocytic lymphohistiocytosis in humans)
- Malignant diseases of Langerhans cells
- Malignant histiocytosis - a condition found in Bernese Mountain Dogs
- Diffuse histiocytic sarcoma
- Localized histiocytic sarcoma
- Malignant diseases of macrophages
- Histiocytic lymphoma
Tumor biology
A histiocytoma originates from epidermal Langerhans cells of antigen-presenting cell lineage.[4] Spontaneous regression is common in these tumors, and it is mediated by infiltration of CD8-expressing T cells followed by expression of Type 1 T helper cell cytokines (such as Interferon-gamma) and recruitment of antitumour effector cells.[5]
Symptoms
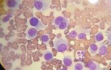
Most commonly histiocytomas are found in young dogs and appear as a small, solitary, hairless lump,[6] although Shar Peis may be predisposed to multiple histiocytomas.[7] They are most commonly found on the head, neck, ears, and limbs, and are usually less than 2.5 cm in diameter.[8] Ulceration of the mass is common. Diagnosis is made through cytology of the mass. Cytology reveals cells with clear to lightly basophilic cytoplasm and round or indented nuclei with fine chromatin and indistinct nucleoli.[9]
Treatment
Most histiocytomas will regress within two or three months.[6] Surgical removal may be necessary if the tumor does not regress or if it is growing rapidly to a large size. Histiocytomas should never be treated with an intralesional injection of a corticosteroid, as remission relies on recognition of the tumour by the body's immune system which is suppressed by steroids.
References
- ↑ Marchal T, Saint-André I, Magnol J, Dezutter-Dambuyant C, Schmitt D (1995). "[Dendritic cells in dogs and cats: models of study in human pathology]". Pathol. Biol. 43 (10): 910–20. PMID 8786898.
- ↑ "Tumors with Histiocytic Differentiation". The Merck Veterinary Manual. 2006. Retrieved 2007-04-29.
- ↑ Ginhoux F, Tacke F, Angeli V, Bogunovic M, Loubeau M, Dai XM, Stanley ER, Randolph GJ, Merad M (2006). "Langerhans cells arise from monocytes in vivo". Nat. Immunol. 7 (3): 265–73. doi:10.1038/ni1307. PMID 16444257.
- ↑ Moore P, Schrenzel M, Affolter V, Olivry T, Naydan D (1996). "Canine cutaneous histiocytoma is an epidermotropic Langerhans cell histiocytosis that expresses CD1 and specific beta 2-integrin molecules". Am. J. Pathol. 148 (5): 1699–708. PMC 1861573
. PMID 8623937. - ↑ Kaim U, Moritz A, Failing K, Baumgärtner W (2006). "The regression of a canine Langerhans cell tumour is associated with increased expression of IL-2, TNF-alpha, IFN-gamma and iNOS mRNA". Immunology. 118 (4): 472–82. doi:10.1111/j.1365-2567.2006.02394.x. PMC 1782326
. PMID 16764690. - 1 2 Morrison, Wallace B. (1998). Cancer in Dogs and Cats (1st ed.). Williams and Wilkins. ISBN 0-683-06105-4.
- ↑ Cronin, Kim (Dec 2006). "Deciphering the histiocytic code". DVM. Advanstar Communications: 1S–8S.
- ↑ Affolter, Verena K. (2004). "Histiocytic Proliferative Diseases in Dogs and Cats". Proceedings of the 29th World Congress of the World Small Animal Veterinary Association. Retrieved 2007-04-29.
- ↑ Raskin, R.E.; DeNicola, D. (2006). "Cytology of Neoplasia". Proceedings of the North American Veterinary Conference. Retrieved 2007-04-29.
External links
- Histiocytoma from The Pet Health Library
- Histiocytoma and Histiocytic Sarcoma in Cats and Dogs from Pet Cancer Center
- Photos of histiocytoma in a Shetland Sheepdog (Sheltie)