Hydropneumothorax
| Hydropneumothorax | |
|---|---|
![]() | |
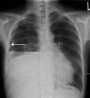
| A hydropneumothorax with white arrow point to the lung's pleura | |
| Classification and external resources | |
| Specialty | pulmonology, emergency medicine |
| ICD-10 | J94.8, S27.3 |
| ICD-9-CM | 511.8 |
| MeSH | D006872 |
Hydropneumothorax is defined as the presence of both air and fluid within the pleural space surrounding the lung. An upright chest x-ray will show air fluid levels. The horizontal fluid level is usually well defined and extends across the whole length of hemithorax.
Causes
- Iatrogenic: Introduction of air during pleural fluid aspiration in effusion.
- Presence of a gas forming organism.
- Thoracic Trauma
Signs
This can be remembered by 4 'S'
- Straight line dullness
- Shifting dullness
- Succussion splash
- Sound of coin
This article is issued from Wikipedia - version of the 9/4/2016. The text is available under the Creative Commons Attribution/Share Alike but additional terms may apply for the media files.
