Intravascular large B-cell lymphoma
| Intravascular large B-cell lymphoma | |
|---|---|
![]() | |
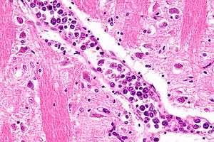
| Micrograph showing an intravascular large B-cell lymphoma in a blood vessel of the brain. H&E stain. | |
| Classification and external resources | |
| Specialty | Hematology and oncology |
| ICD-O | 9712/3 |
Intravascular large B-cell lymphoma (ILBCL), also referred to as angiotropic large-cell lymphoma,[1]:376 angiotropic large-cell lymphoma,[2] intralymphatic lymphomatosis,[1]:376[3] intravascular lymphomatosis,[3] and, less specifically, intravascular lymphoma[4][5] and malignant angioendotheliomatosis[1]:376[2] is a rare form of lymphoma.
Diagnosis
ILBCL presents with variable non-specific symptoms, the most common of which are rash, neurologic symptoms, and B symptoms, such as fever, weight loss, and night sweats.[1]:376[2]:742[6][7] It may be difficult to diagnose in a timely manner.[8] The disease is rare, with a prevalence of 1 person per million.[6] There are two forms of the disease; a Western form that has a cutaneous variant, and a form that is more common in east Asia.[6]
The diagnosis is established by the examination of tissue under the microscope (i.e. biopsy or autopsy) and immunohistochemical stains. Intravascular lymphomas have a large cell morphology, i.e. the malignant cells are two or more times the size of a normal lymphocyte, and typically have a prominent nucleolus.
Most intravascular lymphomas are of the B-cell lineage.[4][9] Most cases of intravascular lymphoma are caused by the infiltration of B-cells into the lumens of small blood vessels.[6]
Treatment
Intravacular lymphoma is an aggressive cancer that is rapidly fatal without treatment, but which can respond well to combination chemotherapy, usually some combination of Rituximab, Cyclophosphamide, Adriamycin, Oncovin, and prednisone (R-CHOP).[6]
History
It used to be known as malignant angioendotheliomatosis, as it was once thought to arise from the endothelium.[10]
See also
References
- 1 2 3 4 Jaffe, ES; Harris NL; Vardiman JW; Campo E; Arber, DA. (2011). Hematopathology (1st ed.). Elsevier Saunders. ISBN 9780721600406.
- 1 2 3 James, William D.; Berger, Timothy G.; et al. (2006). Andrews' Diseases of the Skin: clinical Dermatology. Saunders Elsevier. ISBN 0-7216-2921-0.
- 1 2 Rapini, Ronald P.; Bolognia, Jean L.; Jorizzo, Joseph L. (2007). Dermatology: 2-Volume Set. St. Louis: Mosby. ISBN 1-4160-2999-0.
- 1 2 Wang L, Li C, Gao T (March 2010). "Cutaneous intravascular anaplastic large cell lymphoma". J Cutan Pathol. 38 (2): 221–226. doi:10.1111/j.1600-0560.2010.01538.x. PMID 20337769.
- ↑ Lee BS, Frankfort BJ, Eberhart CG, Weinberg RS (October 2010). "Diagnosis of Intravascular Lymphoma by a Novel Biopsy Site". Ophthalmology. 118 (3): 586–590. doi:10.1016/j.ophtha.2010.08.001. PMID 21035865.
- 1 2 3 4 5 Orwat DE, Batalis NI (2012). "Intravascular large B-cell lymphoma.". Arch Pathol Lab Med. 136 (3): 333–8. doi:10.5858/arpa.2010-0747-RS. PMID 22372911.
- ↑ Lapkuviene O, Forchetti D, Roepke JE (October 2001). "Unusual sites of involvement by hematologic malignancies. Case 1. Intravascular large B-cell lymphoma presenting with CNS symptoms". J. Clin. Oncol. 19 (19): 3988–91. PMID 11579120.
- ↑ Ferry JA (April 2008). "Extranodal lymphoma". Arch. Pathol. Lab. Med. 132 (4): 565–78. doi:10.1043/1543-2165(2008)132[565:EL]2.0.CO;2. PMID 18384208.
- ↑ Christopher D. M. Fletcher (5 April 2007). Diagnostic histopathology of tumors. Elsevier Health Sciences. pp. 1204–. ISBN 978-0-443-07434-9. Retrieved 19 November 2010.
- ↑ Sheibani K, Battifora H, Winberg CD, et al. (April 1986). "Further evidence that "malignant angioendotheliomatosis" is an angiotropic large-cell lymphoma". N. Engl. J. Med. 314 (15): 943–8. doi:10.1056/NEJM198604103141502. PMID 3485768.
