Retroverted uterus
| Retroverted uterus | |
|---|---|
![]() | |
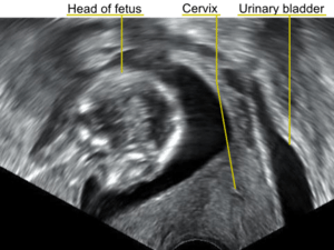
| A transvaginal ultrasonography showing a retroverted uterus during pregnancy. The cervix lies posteriorly to the urinary bladder, and the uterus normally extends superiorly from it, but the direction of the body of the fetus reveals that the uterus extends backwards. | |
| Classification and external resources | |
| Specialty | Gynecology |
| ICD-10 | N85.4 |
| ICD-9-CM | 621.6 |
| MeSH | D019687 |
A retroverted uterus (tilted uterus, tipped uterus) is a uterus that is tilted posteriorly. This is in contrast to the slightly "anteverted" uterus that most women have, which is tipped forward toward the bladder, with the anterior end slightly concave.
Between 1 in 3 and 1 in 5 women (depending on the source) has a retroverted uterus, which is tipped backwards towards the spine.
Related terms
The following table distinguishes among some of the terms used for the position of the uterus:
A retroverted uterus should be distinguished from the following:
| Distinction | More common | Less common |
| Position tipped | "anteverted": tipped forward | "retroverted": tipped backwards |
| Position of fundus | "anteflexed": the fundus is pointing forward relative to the cervix. Anterior of uterus is concave. | "retroflexed": the fundus is pointing backwards. Anterior of uterus is convex. |
Additional terms include:
- retrocessed uterus: both the superior and inferior ends of the uterus are pushed posteriorly
- severely anteflexed uterus: the uterus is in the same position as "normal" and bends in the same direction (concave is anterior) but the bend is much more pronounced
- vertical uterus: the fundus (top of the uterus) is straight up.
Causes
In most cases, a retroverted uterus is genetic and is perfectly normal but there are other factors that can cause the uterus to be retroverted.[1] Some cases are caused by pelvic surgery, pelvic adhesions, endometriosis, fibroids, pelvic inflammatory disease, or the labor of childbirth.
Diagnosis
A retroverted uterus is usually diagnosed during a routine pelvic examination or with an internal ultrasound.
It usually does not pose any medical problems, though it can be associated with dyspareunia (pain during sexual intercourse) and dysmenorrhea (pain during menstruation).
Fertility and pregnancy
Rarely, a sharply tilted uterus is due to a disease such as endometriosis, an infection or prior surgery. Although this may make it more challenging for the sperm to reach the egg, conception can still occur. [2] A tipped uterus will usually right itself during the 10th to 12th week of pregnancy. Rarely (1 in 3000 to 8000 pregnancies) a tipped uterus will cause painful and difficult urination, and can cause severe urinary retention. Treatment for this condition (called "incarcerated uterus") includes manual anteversion of the uterus, and usually requires intermittent or continuous catheter drainage of the bladder until the problem is rectified or spontaneously resolves by the natural enlargement of the uterus, which brings it out of the tipped position.[3] In addition to manual anteversion and bladder drainage, treatment of urinary retention due to retroverted uterus can require the use of a pessary, or even surgery, but often is as simple as having the pregnant mother sleep on her stomach for a day or two, to allow the retroverted uterus to move forward.[4]
If a uterus does not right itself, it may be labeled persistent.
Treatment
Treatment options are rarely needed, and include exercises, a pessary, manual repositioning, and surgery.
The most important retroverted uterus treatment is done by identifying the root cause of the problem and treating it gradually. This is important as sometimes, these underlying problems can transform into something extremely challenging.
Secondly, there are some exercises which can help in this condition but usually, this does not work for severe cases and the uterus might tilt backwards again.
Laparoscopic retroverted uterus treatment is also a preferable option as this can be done easily and with fair accuracy. For any kind of help on retroverted uterus, the patient's gynecologist is the best person for initial consultation.
The preferred way of treating retroverted uterus is through highlighting and treating the underlying condition, like endometriosis, adhesions, fibroids etc.
Hormonal treatments for such underlying conditions are very common, and they tend to produce good results with time. Laparoscopic methods have also become quite common in treating retroverted uterus and they tend to be quite effective.
Other than these medical methods, there are some pelvic exercises which can help if a patient has a retroverted uterus and pregnancy is desired.
References
- ↑ "Retroverted Uterus" Women's Health, 2009, Web. 5 Mar. 2010. <http://www.womens-health.co.uk/retrover.asp>.
- ↑ http://www.mayoclinic.org/tilted-uterus/expert-answers/faq-20058485
- ↑ Anatomic and Functional Changes of the Lower Urinary Tract During Pregnancy. Urologic Clinics of North America - Volume 34, Issue 1 (February 2007)
- ↑ http://www.2womenshealth.com/23-Pelvic-Pain-and-Painful-Periods/23-28-Retroverted-Uterus.htm
External links
- MedlinePlus Encyclopedia 001506
- Overview at mayoclinic.com
- Diagram at womens-health.co.uk
- Diagrams at mayamassage.co.uk (includes comparisons of retroverted, retroflexed, anteflexed, and retrocessed)
