Inverted follicular keratosis

Inverted follicular keratosis (Ackerman)

Inverted follicular keratosis is a skin condition characterized by asymptomatic, firm, white–tan to pink papules[1] and considered as a subtype of seborrheic keratosis.[2]

Diagnosis

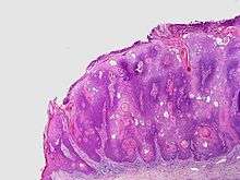
Microscopically, inverted follicular keratosis is characterized as a well-circumscribed inverted acanthotic squamous proliferation containing squamous eddies and without significant atypia.[3]

See also

References

  1. Rapini, Ronald P.; Bolognia, Jean L.; Jorizzo, Joseph L. (2007). Dermatology: 2-Volume Set. St. Louis: Mosby. p. 1666. ISBN 1-4160-2999-0.
  2. Busam Klaus J., Dermatopathology s.341; 2010 Saunders ISBN 978-0-443-06654-2
  3. "Journal of Skin Cancer". Simulators of Squamous Cell Carcinoma of the Skin: Diagnostic Challenges on Small Biopsies and Clinicopathological Correlation. Hindawi.


This article is issued from Wikipedia - version of the 6/10/2016. The text is available under the Creative Commons Attribution/Share Alike but additional terms may apply for the media files.