Iron overload
| Iron overload | |
|---|---|
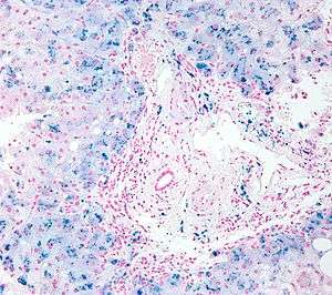
![]() | |
| Micrograph of haemosiderosis. Liver biopsy. Iron stain. | |
| Classification and external resources | |
| Specialty | Hematology |
| ICD-10 | E83.1 |
| ICD-9-CM | 275.03 |
| DiseasesDB | 5581 |
| MedlinePlus | 000327 |
| MeSH | D019190 |
Iron overload, also known as hemochromatosis or haemochromatosis, indicates accumulation of iron in the body from any cause. The most important causes are hereditary haemochromatosis (HHC), a genetic disorder, and transfusional iron overload, which can result from repeated blood transfusions.[1][2]
Signs and symptoms

Organs commonly affected by haemochromatosis are the liver, heart, and endocrine glands.[3]
Haemochromatosis may present with the following clinical syndromes:[4]
- Cirrhosis of the liver: Varies from zonal iron deposition[5] to fibrosis (cirrhosis).
- Diabetes due to selective iron deposition in pancreatic islet beta cells leading to functional failure and cell death.[2][6]
- Cardiomyopathy
- Arthritis, from calcium pyrophosphate deposition in joints. The most commonly affected joints are those of the hands, particularly the knuckles of the second and third fingers.[7]
- Testicular failure
- Bronzing of the skin
- Joint pain and bone pain[8]
Causes
The causes can be distinguished between primary cases (hereditary or genetically determined) and less frequent secondary cases (acquired during life).[9] People of Celtic (Irish, Scottish, Welsh, Cornish, Breton etc.), English, and Scandinavian origin[10] have a particularly high incidence of whom about 10% are carriers of the C282Y mutation on the HFE gene associated with HLA-A3 and 1% suffer from the condition.
Primary haemochromatosis
Although it was known most of the 20th century that most cases of haemochromatosis were inherited, they were incorrectly assumed to depend on a single gene.[11] The overwhelming majority depend on mutations of the HFE gene discovered in 1996, but since then others have been discovered and sometimes are grouped together as "non-classical hereditary haemochromatosis",[12] "non-HFE related hereditary haemochromatosis",[13] or "non-HFE haemochromatosis".[14]
| Description | OMIM | Mutation |
| Haemochromatosis type 1: "classical" haemochromatosis | 235200 | HFE |
| Haemochromatosis type 2A: juvenile haemochromatosis | 602390 | Haemojuvelin ("HJV", also known as RGMc and HFE2) |
| Haemochromatosis type 2B: juvenile haemochromatosis | 606464 | hepcidin antimicrobial peptide (HAMP) or HFE2B |
| Haemochromatosis type 3 | 604250 | transferrin receptor-2 (TFR2 or HFE3) |
| Haemochromatosis type 4/ African iron overload | 604653 | ferroportin (SLC11A3/SLC40A1) |
| Neonatal haemochromatosis | 231100 | (unknown) |
| Acaeruloplasminaemia (very rare) | 604290 | caeruloplasmin |
| Congenital atransferrinaemia (very rare) | 209300 | transferrin |
| GRACILE syndrome (very rare) | 603358 | BCS1L |
Most types of hereditary haemochromatosis have autosomal recessive inheritance, while type 4 has autosomal dominant inheritance.[15]
Secondary haemochromatosis
- Severe chronic haemolysis of any cause, including intravascular haemolysis and ineffective erythropoiesis (haemolysis within the bone marrow)
- Multiple frequent blood transfusions [2] (either whole blood or just red blood cells), which are usually needed either by individuals with hereditary anaemias (such as beta-thalassaemia major, sickle cell anaemia, and Diamond–Blackfan anaemia) or by older patients with severe acquired anaemias such as in myelodysplastic syndromes
- Excess parenteral iron supplements, such as what can acutely happen in iron poisoning
- Excess dietary iron
- Some disorders do not normally cause haemochromatosis on their own, but may do so in the presence of other predisposing factors. These include cirrhosis (especially related to alcohol abuse), steatohepatitis of any cause, porphyria cutanea tarda, prolonged haemodialysis, and post-portacaval shunting
Diagnosis
_in_pancreatic_islet_beta_cells(red)_from_transfusional_hemochromatosis_autopsy_cases_versus_that_of_controls_(right_lower_one).jpg)
There are several methods available for diagnosing and monitoring iron loading including:
- Serum ferritin: In males and postmenopausal females, a serum ferritin value of over 300 ng/mL (670 pmol/L) indicates iron overload.[16][17][18] In premenopausal females, a serum ferritin value of over 150[16] or 200[17] ng/mL (330 or 440 pmol/L)[18] indicates iron overload.
- Liver biopsy
- HFE
- MRI
Serum ferritin testing is a low-cost, readily available, and minimally invasive method for assessing body iron stores. However, the major problem with using it as an indicator of iron overload is that it can be elevated in a range of other medical conditions unrelated to iron levels including infection, inflammation, fever, liver disease, renal disease, and cancer. Also, total iron binding capacity may be low, but can also be normal.[19]
The standard of practice in diagnosis of haemochromatosis was recently reviewed by Pietrangelo.[20] Positive HFE analysis confirms the clinical diagnosis of haemochromatosis in asymptomatic individuals with blood tests showing increased iron stores, or for predictive testing of individuals with a family history of haemochromatosis. The alleles evaluated by HFE gene analysis are evident in ~80% of patients with haemochromatosis; a negative report for HFE gene does not rule out haemochromatosis. In a patient with negative HFE gene testing, elevated iron status for no other obvious reason, and family history of liver disease, additional evaluation of liver iron concentration is indicated. In this case, diagnosis of haemochromatosis is based on biochemical analysis and histologic examination of a liver biopsy. Assessment of the hepatic iron index (HII) is considered the "gold standard" for diagnosis of haemochromatosis.
Magnetic resonance imaging (MRI) is emerging as a noninvasive alternative to accurately estimate iron deposition levels in the liver as well as heart, joints, and pituitary gland.,[21][22][23][23]
Screening
Family members of those with primary haemochromatosis should be screened to determine if they are a carrier or if they could develop the disease. This can allow preventive measures to be taken.
Screening the general population is not recommended.[24]
Treatment
Routine treatment in an otherwise-healthy person consists of regularly scheduled phlebotomies (bloodletting or erythrocytapheresis). When first diagnosed, the phlebotomies may be fairly frequent, until iron levels can be brought to within normal range. Once iron and other markers are within the normal range, treatments may be scheduled every other month or every three months depending upon the underlying cause of the iron overload and the person's iron load. A phlebotomy session typically draws between 450 to 500 cc whole blood.[25]
For those unable to tolerate routine blood draws, there is a chelating agent available for use.[26] The drug deferoxamine binds with iron in the bloodstream and enhances its elimination in urine and faeces. Typical treatment for chronic iron overload requires subcutaneous injection over a period of 8–12 hours daily. Two newer iron chelating drugs that are licensed for use in patients receiving regular blood transfusions to treat thalassaemia (and, thus, who develop iron overload as a result) are deferasirox and deferiprone.[27][28]
Prognosis
Affected individuals over age 40 or who have high serum ferritin levels are at risk for developing cirrhosis. Iron overload increases the risk of hepatocellular carcinoma.[29] This risk is greater in those with cirrhosis but is still present in those without cirrhosis.[29] Significant problems occur in around one in ten.[24]
Epidemiology
It is most common in certain European populations (such as the Irish and Norwegians) and occurs in 0.6% of the population.[24] Men with the disease are 24 times more likely to experience symptoms than affected women.[24]
Terminology
Historically, the term haemochromatosis (spelled hemochromatosis in American English) was initially used to refer to what is now more specifically called haemochromatosis type 1 (or HFE-related hereditary haemochromatosis). Currently, haemochromatosis (without further specification) is mostly defined as iron overload with a hereditary/primary cause,[30][31] or originating from a metabolic disorder.[32] However, the term is currently also used more broadly to refer to any form of iron overload, thus requiring specification of the cause, for example, hereditary haemochromatosis. Hereditary haemochromatosis is an autosomal recessive disorder with estimated prevalence in the population of 1 in 200 among patients with European ancestry, with lower incidence in other ethnic groups.[33] The gene responsible for hereditary haemochromatosis (known as HFE gene) is located on chromosome 6; the majority of hereditary haemochromatosis patients have mutations in this HFE gene.
Hereditary haemochromatosis is characterized by an accelerated rate of intestinal iron absorption and progressive iron deposition in various tissues. This typically begins to be expressed in the third to fifth decades of life, but may occur in children. The most common presentation is hepatic (liver) cirrhosis in combination with hypopituitarism, cardiomyopathy, diabetes, arthritis, or hyperpigmentation. Because of the severe sequelae of this disorder if left untreated, and recognizing that treatment is relatively simple, early diagnosis before symptoms or signs appear is important.[20][34]
In general, the term haemosiderosis is used to indicate the pathological effect of iron accumulation in any given organ, which mainly occurs in the form of the iron-storage complex haemosiderin.[35][36] Sometimes, the simpler term siderosis is used instead.
Other definitions distinguishing haemochromatosis or haemosiderosis that are occasionally used include:
- Haemosiderosis is haemochromatosis caused by excessive blood transfusions, that is, haemosiderosis is a form of secondary haemochromatosis.[37][38]
- Haemosiderosis is haemosiderin deposition within cells, while haemochromatosis is haemosiderin within cells and interstitium.[39]
- Haemosiderosis is iron overload that does not cause tissue damage,[40] while haemochromatosis does.[41]
- Haemosiderosis is arbitrarily differentiated from haemochromatosis by the reversible nature of the iron accumulation in the reticuloendothelial system.[42]
See also
References
- ↑ Hider, Robert C.; Kong, Xiaole (2013). "Chapter 8. Iron: Effect of Overload and Deficiency". In Astrid Sigel, Helmut Sigel and Roland K. O. Sigel. Interrelations between Essential Metal Ions and Human Diseases. Metal Ions in Life Sciences. 13. Springer. pp. 229–294. doi:10.1007/978-94-007-7500-8_8.
- 1 2 3 Lu JP, Hayashi K. Selective iron deposition in pancreatic islet B cells of transfusional iron-overloaded autopsy cases. Pathol Int. 1994 Mar;44(3):194-9. PubMed PMID 8025661.
- ↑ Andrews, Nancy C. (1999). "Disorders of Iron Metabolism". New England Journal of Medicine. 341 (26): 1986–95. doi:10.1056/NEJM199912233412607. PMID 10607817.
- ↑ John Murtagh (2007). General Practice. McGraw Hill Australia. ISBN 0-07-470436-2.
- ↑ Lu JP, Hayashi K. Transferrin receptor distribution and iron deposition in the hepatic lobule of iron-overloaded rats. Pathol Int. 1995 Mar;45(3):202-6. PubMed PMID 7787990.
- ↑ Lu JP, Hayashi K. Transferrin receptor distribution and iron deposition in the hepatic lobule of iron-overloaded rats. Pathol Int. 1995 Mar;45(3):202-6. PubMed PMID 7787990.
- ↑ Bruce R Bacon, Stanley L Schrier. "Patient information: Hemochromatosis (hereditary iron overload) (Beyond the Basics)". UpToDate. Retrieved 2016-07-14. Literature review current through: Jun 2016. | This topic last updated: Apr 14, 2015.
- ↑ http://www.mayoclinic.com/health/hemochromatosis/DS00455/DSECTION=symptoms
- ↑ Pietrangelo, A (2003). "Haemochromatosis". Gut. 52 (90002): ii23–30. doi:10.1136/gut.52.suppl_2.ii23. PMC 1867747
. PMID 12651879. - ↑ The Atlantic: "The Iron in Our Blood That Keeps and Kills Us" by Bradley Wertheim January 10, 2013
- ↑ Cam Patterson; Marschall S. Runge (2006). Principles of molecular medicine. Totowa, NJ: Humana Press. p. 567. ISBN 1-58829-202-9.
- ↑ Mendes, Ana Isabel; Ferro, Ana; Martins, Rute; Picanço, Isabel; Gomes, Susana; Cerqueira, Rute; Correia, Manuel; Nunes, António Robalo; Esteves, Jorge; Fleming, Rita; Faustino, Paula (2008). "Non-classical hereditary hemochromatosis in Portugal: novel mutations identified in iron metabolism-related genes". Annals of Hematology. 88 (3): 229–34. doi:10.1007/s00277-008-0572-y. PMID 18762941.
- ↑ Maddrey, Willis C.; Schiff, Eugene R.; Sorrell, Michael F. (2007). Schiff's diseases of the liver. Hagerstwon, MD: Lippincott Williams & Wilkins. p. 1048. ISBN 0-7817-6040-2.
- ↑ Pietrangelo, Antonello (2005). "Non-HFE Hemochromatosis". Seminars in Liver Disease. 25 (4): 450–60. doi:10.1055/s-2005-923316. PMID 16315138.
- ↑ Franchini, Massimo (2006). "Hereditary iron overload: Update on pathophysiology, diagnosis, and treatment". American Journal of Hematology. 81 (3): 202–9. doi:10.1002/ajh.20493. PMID 16493621.
- 1 2 Ferritin by: Mark Levin, MD, Hematologist and Oncologist, Newark, NJ. Review provided by VeriMed Healthcare Network
- 1 2 Andrea Duchini. "Hemochromatosis Workup". Medscape. Retrieved 2016-07-14. Updated: Jan 02, 2016
- 1 2 Molar concentration is derived from mass value using molar mass of 450,000 g•mol−1 for ferritin
- ↑ labtestsonline.org > TIBC & UIBC, Transferrin Last reviewed on October 28, 2009.
- 1 2 Pietrangelo, Antonello (2010). "Hereditary Hemochromatosis: Pathogenesis, Diagnosis, and Treatment". Gastroenterology. 139 (2): 393–408. doi:10.1053/j.gastro.2010.06.013. PMID 20542038.
- ↑ Wood JC, Enriquez C, Ghugre N, Tyzka JM, Carson S, Nelson MD. MRI R2 and R2* mapping accurately estimates hepatic iron concentration in transfusion-dependent thalassemia and sickle cell disease patients. Blood. Aug 15 2005;106(4):1460-5
- ↑ Ghugre NR, Enriquez CM, Gonzalez I, et al. MRI detects myocardial iron in the human heart. Magn Reson Med. Sep 2006;56(3):681-6.
- 1 2 Sparacia G, Iaia A, Banco A, D'Angelo P, Lagalla R. Transfusional hemochromatosis: quantitative relation of MR imaging pituitary signal intensity reduction to hypogonadotropic hypogonadism. Radiology. Jun 2000;215(3):818-23
- 1 2 3 4 Crownover, BK; Covey, CJ (Feb 1, 2013). "Hereditary hemochromatosis.". American family physician. 87 (3): 183–90. PMID 23418762.
- ↑ Barton, James C. (1 December 1998). "Management of Hemochromatosis". Annals of Internal Medicine. 129 (11_Part_2): 932. doi:10.7326/0003-4819-129-11_Part_2-199812011-00003.
- ↑ Miller, Marvin J. (1989-11-01). "Syntheses and therapeutic potential of hydroxamic acid based siderophores and analogs". Chemical Reviews. 89 (7): 1563–1579. doi:10.1021/cr00097a011.
- ↑ Choudhry VP, Naithani R (2007). "Current status of iron overload and chelation with deferasirox". Indian J Pediatr. 74 (8): 759–64. doi:10.1007/s12098-007-0134-7. PMID 17785900.
- ↑ Hoffbrand, A. V. (20 March 2003). "Role of deferiprone in chelation therapy for transfusional iron overload". Blood. 102 (1): 17–24. doi:10.1182/blood-2002-06-1867.
- 1 2 Kowdley, KV (November 2004). "Iron, hemochromatosis, and hepatocellular carcinoma.". Gastroenterology. 127 (5 Suppl 1): S79–86. PMID 15508107.
- ↑ thefreedictionary.com > hemochromatosis, citing:
- The American Heritage Medical Dictionary, 2004 by Houghton Mifflin Company
- McGraw-Hill Concise Dictionary of Modern Medicine. 2002
- ↑ Merriam-Webster's Medical Dictionary > hemochromatosis Retrieved on Dec 11, 2009
- ↑ thefreedictionary.com, citing:
- Dorland's Medical Dictionary for Health Consumers, 2007
- Mosby's Medical Dictionary, 8th edition. 2009
- Jonas: Mosby's Dictionary of Complementary and Alternative Medicine. 2005.
- ↑ "Hemochromatosis".
- ↑ Brandhagen, D J; Fairbanks, V F; Batts, K P; Thibodeau, S N (1999). "Update on hereditary hemochromatosis and the HFE gene". Mayo Clinic Proceedings. 74 (9): 917–21. doi:10.4065/74.9.917. PMID 10488796.
- ↑ Merriam-Webster's Medical Dictionary > hemosideroses Retrieved on Dec 11, 2009
- ↑ thefreedictionary.com > hemosiderosis, citing:
- The American Heritage Medical Dictionary, 2004 by Houghton Mifflin Company
- Mosby's Medical Dictionary, 8th edition.
- ↑ eMedicine Specialties > Radiology > Gastrointestinal > Hemochromatosis Author: Sandor Joffe, MD. Updated: May 8, 2009
- ↑ thefreedictionary.com > hemosiderosis, citing:
- Gale Encyclopedia of Medicine. Copyright 2008
- ↑ Notecards on radiology gamuts, diseases, anatomy 2002, Charles E. Kahn, Jr., MD. Medical College of Wisconsin
- ↑ thefreedictionary.com > hemosiderosis, citing:
- Dorland's Medical Dictionary for Health Consumers, 2007
- Mosby's Dental Dictionary, 2nd edition.
- Saunders Comprehensive Veterinary Dictionary, 3rd ed. 2007
- ↑ The HealthScout Network > Health Encyclopedia > Diseases and Conditions > Hemochromatosis Retrieved on Dec 11, 2009
- ↑ thefreedictionary.com > hemosiderosis, citing:
- McGraw-Hill Concise Dictionary of Modern Medicine. 2002
Further reading
- Dlouhy, Adrienne C.; Outten, Caryn E. (2013). "Chapter 8 The Iron Metallome in Eukaryotic cells". In Banci, Lucia (Ed.). Metallomics and the Cell. Metal Ions in Life Sciences. 12. Springer. doi:10.1007/978-94-007-5561-1_8. ISBN 978-94-007-5560-4. electronic-book ISBN 978-94-007-5561-1 ISSN 1559-0836 electronic-ISSN 1868-0402
- Rodot, S; Lacour, JP; Dageville, C; Castanet, J; Boutté, P; Ortonne, JP (1994). "["Bronze baby" syndrome].". Annales de dermatologie et de vénéréologie. 121 (8): 568–70. PMID 7755316.
External links
| Wikimedia Commons has media related to Hemochromatosis. |
- Iron overload at DMOZ
- GeneReview/NCBI/NIH/UW entry on HFE-Associated Hereditary Hemochromatosis
- GeneReview/NCBI/NIH/UW entry on TFR2-Related Hereditary Hemochromatosis
- GeneReview/NCBI/NIH/UW entry on Juvenile Hereditary Hemochromatosis
- GeneReview/NCBI/NIH/UW entry on Aceruloplasminemia
