Juxtaoral organ of Chievitz
| Juxtaoral organ of Chievitz | |
|---|---|
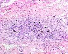
![]() The juxtaoral organ of Chievitz is composed of nests of benign squamoid epithelium closely associated with multiple nerve bundles. The deep location and squamous appearance can histologically mimic invasive squamous cell carcinoma. (Hematoxylin and Eosin stained section, 100x magnification) | |
| Details | |
| Precursor | ectoderm |
The Juxtaoral organ in humans is a small longish structure (10–14 mm in length, 1–2 mm in diameter), situated laterally of the buccal muscle in both cheeks. The organ consists of a central ramified cord of an epithelial parenchyma, embedded in connective tissue particularly rich in nerve fibers and sensory receptors. Close relations exist between epthelial cells and nerve endings. Histochemically, the parenchyma displays a characteristic pattern of various enzymes. Sporadically, epithelial follicles containing colloidal material can be found. The organ is surrounded by a dense, perineurium-like connective tissue.
Originally, the formation was known to embryologists only ("Chievitz Organ") and was considered to be a transient rudimentary structure, disappearing before birth. In 1953, Wolfgang Zenker proved that the formation shows further development and can be found in adult humans with regularity. Since then quite a number of studies have been performed on its comparative anatomy, histology, cytochemistry and on ultrastructural level. As soon as this structure had been shown to occur not only at all stages of human life but also in many other mammals and in reptiles and since no signs of involution could be detected in any of the species investigated, it was renamed – from a topographical point of view – as "Juxtaoral organ" by Zenker and Salzer 1962.
The results of the studies of Zenker and his group on this organ as well as the history of research are summarised in the monograph Juxtaoral Organ: Morphology and Clinical aspects, Urban&Schwarzenberg 1982.[1]
It can very rarely be the site of a tumor.[2][3][4][5] It was first noted in embryos by Johan Henrik Chievitz in 1885.[2]
References
- ↑ Wolfgang Zenker: Juxtaoral Organ: Morphology and Clinical Aspects, Urban & Schwarzenberg Baltimore-Munich 1982
- 1 2 Bouquot, Jerry (1999). "Juxtaoral organ of Chievitz". Bond's Book of Oral Diseases (4th ed.). The Maxillofacial Center for Diagnostics & Research.
- ↑ Pantanowitz L, Balogh K (May 2003). "Significance of the juxtaoral organ (of Chievitz)". Head & Neck. 25 (5): 400–5; discussion 400. doi:10.1002/hed.10209. PMID 12692878.
- ↑ Ide F, Mishima K, Saito I (October 2003). "Juxtaoral organ of Chievitz presenting clinically as a tumour". Journal of Clinical Pathology. 56 (10): 789–90. doi:10.1136/jcp.56.10.789. PMC 1770074
. PMID 14514788. - ↑ D'Andrea V, Malinovsky L, Biancari F, et al. (May 1999). "The Chievitz juxtaparotid organ". Il Giornale di chirurgia. 20 (5): 213–7. PMID 10380360.
