Line of Gennari
| Line of Gennari | |
|---|---|
![]() Cerebral cortex. To the left, the groups of cells; to the right, the systems of fibers. Quite to the left of the figure a sensory nerve fiber is shown. | |
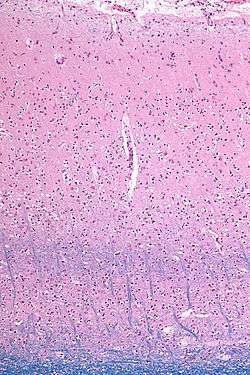
![]() Micrograph showing the visual cortex (predominantly pink). The blue, horizontal band in the lower half of the image are the bands of Baillarger/the line of Gennari. Subcortical white matter (predominantly blue) is seen at the very bottom of the image. HE-LFB stain. | |
| Details | |
| Identifiers | |
| Latin | stria occipitalis laminae granularis internae isocorticis |
| NeuroNames | ancil-163 |
The line of Gennari (also called the "band" or "stria" of Gennari) is a band of myelinated axons that run parallel to the surface of the cerebral cortex on the banks of the calcarine fissure in the occipital lobe. This formation is visible to the naked eye and the reason the primate V1 is also referred to as "striate cortex." The structure is named for its discoverer, Francesco Gennari, who first observed it in 1776 as a medical student at the University of Parma.[1] He described it in a book which he published six years later.[2] Although non-primate species have areas that are designated primary visual cortex, some (if not all) lack a stria of Gennari.[3]
See also
External links
References
- ↑ Glickstein M., Rizzolatti G. Francesco Gennari and the structure of the cerebral cortex Trends in Neurosciences, Volume 7, Issue 12, 464-467, 1 December 1984.
- ↑ F. Gennari. De Peculiari Structura Cerebri Parma Ex Regio Typographeo, 1782.
- ↑ Zilles and Wree. Isocortex in Paxinos (Ed.) The Rat Nervous System, 1985.
This article is issued from Wikipedia - version of the 5/14/2016. The text is available under the Creative Commons Attribution/Share Alike but additional terms may apply for the media files.

