Lipoblast

A lipoblast is a precursor cell for an adipocyte.[1]
Alternate terms include adipoblast[2] and preadipocyte.[3]
Early stages are almost indistinguishable from fibroblasts.[4]
Liposarcoma
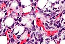
Lipoblasts are seen in liposarcoma[5] and characteristically have abundant multivacuolated clear cytoplasm and a dark staining (hyperchromatic), indented nucleus.
See also
References
- ↑ Barbara Young; Paul R. Wheater (2006). Wheater's functional histology: a text and colour atlas. Elsevier Health Sciences. pp. 74–. ISBN 978-0-443-06850-8. Retrieved 18 April 2010.
- ↑ Dani C (1999). "Embryonic stem cell-derived adipogenesis". Cells Tissues Organs (Print). 165 (3–4): 173–80. doi:10.1159/000016697. PMID 10592389.
- ↑ Coskun H, Summerfield TL, Kniss DA, Friedman A (April 2010). "Mathematical modeling of preadipocyte fate determination". J Theor Biol. 265 (1): 87–94. doi:10.1016/j.jtbi.2010.03.047. PMID 20385145.
- ↑ Ray C. Henrikson; Gordon I. Kaye; Joseph E. Mazurkiewicz (31 July 1997). Histology. Lippincott Williams & Wilkins. pp. 118–. ISBN 978-0-683-06225-0. Retrieved 18 April 2010.
- ↑ Lester J. Layfield (2002). Cytopathology of bone and soft tissue tumors. Oxford University Press US. pp. 83–. ISBN 978-0-19-513236-6. Retrieved 18 April 2010.
This article is issued from Wikipedia - version of the 10/12/2016. The text is available under the Creative Commons Attribution/Share Alike but additional terms may apply for the media files.