Metastatic liver disease
| Metastatic liver disease | |
|---|---|
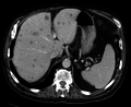
![]() | |
| Axial CT of the abdomen showing multiple liver metastases | |
| Classification and external resources | |
| ICD-10 | Xxx.x |
| ICD-9-CM | xxx |
A liver metastasis is a malignant tumor in the liver that has spread from another organ affected by cancer. The liver is a common site for metastatic disease because of its rich, dual blood supply (the liver receives blood via the hepatic artery and portal vein). Metastatic tumors in the liver are 20 times more common than primary tumors. In 50% of all cases the primary tumor is of the gastrointestinal tract, other common sites include the breast, ovaries, bronchus and kidney.
Tumor emboli entering the sinusoids through the liver blood supply appear to be physically obstructed by the Kupffer cells, but if tumor emboli are larger, they tend to become lodged in the portal venous branches.
Features
- Hepatomegaly - with a nodular free edge of liver
- Tenderness
- Cachexic
- Ascites
- Jaundice
- Pyrexia - up to 10% of patients
- Alkaline Phosphatase (ALP) and gamma glutamyl transpeptidase (GGT) elevated
- Ultrasound scan and CT scan - multiple filling defects.
Diagnosis
- Hemoglobin decrease
- Liver function test: ALP elevated, bilirubin elevated, albumin decrease
- Carcinoembryonic antigen for colorectal secondaries
- Ultrasound scan
- CT scan
- Biopsy under ultrasound control

Cross section of a human liver, taken at autopsy examination, showing multiple large pale tumor deposits. The tumor is an adenocarcinoma derived from a primary lesion in the body of the pancreas.
Main sites of metastases for some common cancer types, showing liver as the target for many types. Primary cancers are denoted by "...cancer" and their main metastasis sites are denoted by "...metastases".[1]
Metastatic disease to the liver
Treatment
Treatment can consist of surgery (hepatectomy), chemotherapy and/or therapies specifically aimed at the liver like: radiofrequency ablation, transcatheter arterial chemoembolization, selective internal radiation therapy and irreversible electroporation). For most patients no effective treatment exists --- because both lobes usually involved --- making surgical resection impossible. Younger patients with metastases from colorectal cancer, confined to one lobe of liver and up to 4 in number, may be treated by partial hepatectomy. In selected cases, chemotherapy may be given systematically or via hepatic artery.
In some tumors, notably arising from the colon and rectum, apparently solitary metastases/metastases to one or other lobes --- may be resected. Careful search for other metastases is required, including local recurrence of original primary tumor (e.g.:colonoscopy) and dissemination elsewhere (e.g.:CT of thorax) --- 5 year survival rates of 30-40% have been reported following resection.
References
- ↑ List of included entries and references is found on main image page in Commons: Commons:File:Metastasis sites for common cancers.svg#Summary
- ↑ Metastatic Liver Cancer: Tumors of the Liver: Merck Manual Home Health Handbook
- ↑ Treatment of metastatic liver cancer and colorectal cancer
- ↑ http://www.c2i2.org/winter2003/imaging_update_in_metastatic_abstract.asp
- ↑ http://www.healthcare.com/topic/metastatic-liver-disease
- ↑ en.diagnosispro.com/disease_information-for/metastatic-liver-disease/16554.html
- ↑ PMID 16586537
- ↑ http://www.ist-world.org/ResultPublicationDetails.aspx?ResultPublicationId=3fb68dcc8b7142b6afc25183a9aa2786
