In vivo magnetic resonance spectroscopy
In vivo (that is 'in the living organism') magnetic resonance spectroscopy (MRS) is a specialised technique associated with magnetic resonance imaging (MRI).[1][2]
Magnetic resonance spectroscopy (MRS), also known as nuclear magnetic resonance (NMR) spectroscopy, is a non-invasive, ionizing-radiation-free analytical technique that has been used to study metabolic changes in brain tumors, strokes, seizure disorders, Alzheimer's disease, depression and other diseases affecting the brain. It has also been used to study the metabolism of other organs such as muscles. In the case of muscles, NMR is used to measure the intramyocellular lipids content (IMCL).
Magnetic resonance spectroscopy is an analytical technique that can be used to complement the more common magnetic resonance imaging (MRI) in the characterization of tissue. Both techniques use signals from hydrogen protons (1H), but MRI uses the information to create 2-dimensional images of the brain, while MRS uses 1H signals to determine the relative concentrations of target brain metabolites.
History
Both MRI and MRS are based on nuclear magnetic resonance (NMR), a technique used by chemists and physicists in the analysis and characterization of small molecules in solid, liquid, and gel-like solutions. MRS can be used to detect nuclei such as carbon (13C), nitrogen (15N), fluorine (19F), sodium (23Na), phosphorus (31P) and hydrogen (1H), however only the latter two are present in significant abundance to be detected in humans. Hydrogen is the most commonly detected nucleus due to its high natural abundance, acute sensitivity to magnetic manipulation, well known simple technique, and relatively easily discernible spectra.
Data acquisition
Acquiring an MRS scan is very similar to that of MRI with a few additional steps preceding data acquisition. These steps include:
- Shimming the magnetic field: this step is taken to correct for the inhomogeneity of the magnetic field by tuning different pulses in the x, y, and z directions. This step is usually automated but can be performed manually.
- Suppressing the water signal: because water molecules contain hydrogen, and the relative concentration of water to metabolite is about 10,000:1, the water signal is often suppressed or the metabolite peaks will not be discernible in the spectra. This is achieved by adding water suppression pulses. Recent advances allow proton MRS without water suppression.[3]
- Choosing a spectroscopic technique: requires proper planning of what you need to measure
- Single Voxel Spectroscopy (SVS): has spatial resolution of 1–8 cm3, a time-efficient technique in which data can be used quantitatively
- Chemical Shift Imaging (CSI): a multi voxel technique that allows for measurement of larger volumes of tissue that can be divided into smaller voxels during the processing period
- Magnetic Resonance Spectroscopic Imaging (MRSI): a 2-dimensional CSI technique that requires longer acquisition and processing time.
The more common MRI is used to detect H2O molecules in the brain, however MRS is used to probe other molecules that are common to tumors by comparing MRS spectra with known "fingerprint" spectra.
Uses
MRS allows doctors and researchers to obtain biochemical information about the tissues of the human body in a non-invasive way (without the need for a biopsy), whereas MRI only gives them information about the structure of the body (the distribution of water and fat).
For example, whereas MRI can tell doctors where a tumor (cancer) is located within a patient's body, MRS can, in theory, tell them how aggressive (malignant) the tumor is.
MRS equipment can be tuned (just like a radio receiver) to pick up signals from different chemical nuclei within the body. The most common nuclei to be studied are protons (hydrogen), phosphorus, carbon, sodium and fluorine.
The types of biochemicals (metabolites) which can be studied include choline-containing compounds (which are used to make cell membranes), creatine (a chemical involved in energy metabolism), inositol and glucose (both sugars), N-acetylaspartate, and alanine and lactate which are elevated in some tumors.
At present MRS is mainly used as a tool by scientists (e.g. medical physicists and biochemists) for medical research projects, but it is becoming clear that it also has the ability to give doctors useful clinical information which can be helpful in diagnosis and treatment of disease.
MRS is currently used to investigate a number of diseases in the human body, most notably cancer (in brain, breast and prostate), epilepsy, Alzheimer's Disease, Parkinson's disease and Huntington's chorea. MRS has been used to diagnose pituitary tuberculosis.[4]
Prostate cancer: Combined with a magnetic resonance imaging (MRI) and given equal results, then the three-dimensional MRS can predict the prevalence of a malignant degeneration of prostate tissue by approximately 90%. The combination of both methods may be helpful in the planning of biopsies and therapies of the prostate, as well as to monitor the success of a therapy.[5]
Example
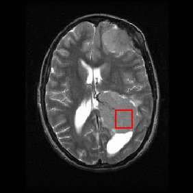
Shown below is an MRI brain scan (in the axial plane, that is slicing from front-to-back and side-to-side through the head) showing a brain tumor (meningioma) at the bottom right. The red box shows the volume of interest from which chemical information was obtained by MRS (a cube with 2 cm sides which produces a square when intersecting the 5 mm thick slice of the MRI scan).
Each biochemical, or metabolite, has a different peak in the spectrum which appears at a known frequency. The peaks corresponding to the amino acid alanine, are highlighted in red (at 1.4 ppm). This is an example of the kind of biochemical information which can help doctors to make their diagnosis. Other metabolites of note are choline (3.2 ppm) and creatine (3.0 ppm).

Both of the above images are kindly provided by The University of Hull Centre for Magnetic Resonance Investigations (http://www.hull.ac.uk/mri).
Applications of MRS
In 1H Magnetic Resonance Spectroscopy each proton can be visualized at a specific chemical shift (peak position along x-axis) depending on its chemical environment. This chemical shift is dictated by neighboring protons within the molecule. Therefore, metabolites can be characterized by their unique set of 1H chemical shifts. The metabolites that MRS probes for have known (1H) chemical shifts that have previously been identified in NMR spectra. These metabolites include:
- N-acetyl Aspartate (NAA): with its major resonance peak at 2.02 ppm, decrease in levels of NAA indicate loss or damage to neuronal tissue, which results from many types of insults to the brain. Its presence in normal conditions indicates neuronal and axonal integrity.
- Choline: with its major peak at 3.2 ppm, choline is known to be associated with membrane turnover, or increase in cell division. Increased choline indicates increase in cell production or membrane breakdown, which can suggest demyelination or presence of malignant tumors.
- Creatine and phosphocreatine: with its major peak at 3.0 ppm, creatine marks metabolism of brain energy. Gradual loss of creatine in conjunction with other major metabolites indicates tissue death or major cell death resulting from disease, injury or lack of blood supply. Increase in creatine concentration could be a response to cranialcerebral trauma. Absence of creatine may be indicative of a rare congenital disease.
- Lipids: with their major aliphatic peaks located in the 0.9–1.5 ppm range, increase in lipids is seen is also indicative of necrosis. These spectra are easily contaminated, as lipids are not only present in the brain, but also in other biological tissue such as the fat in the scalp and area between the scalp and skull.
- Lactate: reveals itself as a doublet (two symmetric peaks in one) at 1.33 ppm. Normally lactate is not visible, for its concentration is lower that the detection limit of MRS; however, presence of this peak indicates glycolysis has been initiated in an oxygen-deficient environment. Several causes of this include ischemia, hypoxia, mitochondrial disorders, and some types of tumors.
- Myo-inositol: with its major peak at 3.56 ppm, an increase in Myo-inositol has been seen in patients with Alzheimer's, dementia, and HIV patients.
- Glutamate and glutamine: these amino acids are marked by a series of resonance peaks between 2.2 and 2.4 ppm. Hyperammonemia, hepatic encephalopathy are two major conditions that result in elevated levels of glutamine and glutamate. MRS, used in conjunction with MRI or some other imaging technique, can be used to detect changes in the concentrations of these metabolites, or significantly abnormal concentrations of these metabolites.
See also
- Functional magnetic resonance spectroscopy of the brain
- Magnetic resonance imaging
- Magnetization transfer
- NMR
- NMR spectroscopy
References
- ↑ guest-ed.: M. Rudin. (1992). In-vivo magnetic resonance spectroscopy. Berlin: Springer-Verlag. ISBN 3-540-55029-1.
- ↑ Jansen JF, Backes WH, Nicolay K, Kooi ME (2006). "1H MR spectroscopy of the brain: absolute quantification of metabolites". Radiology. 240 (2): 318–32. doi:10.1148/radiol.2402050314. PMID 16864664.
- ↑ Dong, Zhengchao. "Proton MRS and MRSI of the brain without water suppression". Progress in Nuclear Magnetic Resonance Spectroscopy. 2015 (86-87): 65–79. doi:10.1016/j.pnmrs.2014.12.001. PMID 25919199.
- ↑ Saini KS, Patel AL, Shaikh WA, Magar LN, Pungaonkar SA (2007). "Magnetic resonance spectroscopy in pituitary tuberculoma". Singapore Med J. 48 (8): 783–6. PMID 17657390.
- ↑ U. G. Mueller-Lisse; M. Scherr (2003), "1H-MR-Spektroskopie der Prostata: Ein Überblick" (in German), Der Radiologe 43 (6): pp. 481–488, doi:10.1007/s00117-003-0902-y
- Preul, M. C., Caramanos, Z., Collins, D. L., Villemure, J., LeBlanc, R., Oliver, A., Pokrupa, R., & Arnold, D. L. (1996). Accurate, noninvasive diagnosis of human brain tumors by using proton magnetic resonance spectroscopy. Nature Medicine, 2(3), 323-325. Retrieved from http://www.nature.com/naturemedicine
- Gujar, MD, S. K., Maheshwari, MD, S., Bjorkman-Burtscher, MD, PhD, I., & Sundgren,MD, PhD, P. C. (2005). Magnetic resonance spectroscopy. J Neuro-Ophthalmol, 23(3), 217-226.