Mammary myofibroblastoma
| Mammary myofibroblastoma | |
|---|---|
![]() | |
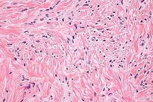
| Micrograph of mammary myofibroblastoma. H&E stain. | |
| Classification and external resources |
Mammary myofibroblastoma, abbreviated MMFB, (aka "Wargotz tumor") is a rare, benign tumor of the breast.
Symptoms
These tumors are painless masses that manifest as breast lumps and may be found on a mammogram.
Diagnosis
The diagnosis is based on examination under a microscope, by a pathologist. Radiologic findings may be suggestive, as these tumors are well-circumscribed and devoid of calcifications.
Pathology
Myofibroblastoma of the breast, first described by Wargotz et al. {Am J Surg Pathol. 1987 Jul;11(7):493-502} consist of bland spindle cells arranged in fascicles with interspersed thick bundles of collagen.[1] They typically stain with CD34 and desmin.[1]
In extra-mammary sites the tumour is known as a mammary-type myofibroblastoma, and may immunohistochemically and histomorphologically overlap with spindle cell lipoma.[2]
Treatment
Mammary myofibroblastomas are cured if completely excised.
See also
Additional images
Intermed. mag.
High mag.
References
- 1 2 Mele, M.; Jensen, V.; Wronecki, A.; Lelkaitis, G. (2011). "Myofibroblastoma of the breast: Case report and literature review.". Int J Surg Case Rep. 2 (6): 93–6. doi:10.1016/j.ijscr.2011.02.006. PMC 3199680
. PMID 22096693. - ↑ McMenamin, ME.; Fletcher, CD. (Aug 2001). "Mammary-type myofibroblastoma of soft tissue: a tumor closely related to spindle cell lipoma.". Am J Surg Pathol. 25 (8): 1022–9. doi:10.1097/00000478-200108000-00006. PMID 11474286.
