Metamyelocyte
| Metamyelocyte | |
|---|---|
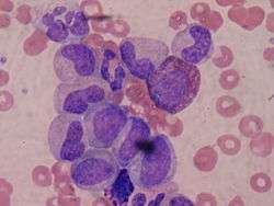
|
Four metamyelocytes, center of photo | |
| Identifiers | |
| Code | TH H2.00.04.3.04008 |

Basophilic

Eosonophilic

Neutrophilic
A metamyelocyte is a cell undergoing granulopoiesis, derived from a myelocyte, and leading to a band cell.
It is characterized by the appearance of a bent nucleus, cytoplasmic granules, and the absence of visible nucleoli. (If the nucleus is not yet bent, then it is likely a myelocyte.)
Additional images
Hematopoiesis
See also
External links
- Histology image: 01805ooa – Histology Learning System at Boston University - "Bone Marrow and Hemopoiesis: bone marrow smear, neutrophilic metamyelocyte and mature PMN"
- Histology image: 75_05 at the University of Oklahoma Health Sciences Center
- Histology at KUMC blood-blood11
- Histology at KUMC blood-blood12
- Interactive diagram at lycos.es
- Slide at marist.edu
- hematologyatlas.com
This article is issued from Wikipedia - version of the 6/9/2015. The text is available under the Creative Commons Attribution/Share Alike but additional terms may apply for the media files.