Niemann–Pick disease
| Niemann–Pick disease | |
|---|---|
| Classification and external resources | |
| Specialty | endocrinology |
| ICD-10 | E75.2 (ILDS E75.230) |
| ICD-9-CM | 272.7 |
| OMIM | 257200 257220 601015 607608 607616 607623 607625 |
| DiseasesDB | 33390 |
| MedlinePlus | 001207 |
| eMedicine | derm/699 |
| Patient UK | Niemann–Pick disease |
| MeSH | D009542 |
| GeneReviews | |
Niemann–Pick disease (/niːmənˈpɪk/ nee-mən-PIK)[1] is a group of inherited, severe metabolic disorders in which sphingomyelin accumulates in lysosomes in cells. The lysosomes normally transport material through and out of the cell.
The prognosis is individual, but the severe form is fatal in toddlerhood and, in some cases, patients with the milder forms may have normal lifespans.
This disease involves dysfunctional metabolism of sphingolipids, which are fats found in cell membranes, so it is a kind of sphingolipidosis. Sphingolipidoses, in turn, are included in the larger family of lysosomal storage diseases.[2]
Signs and symptoms
Symptoms are related to the organs in which sphingomyelin accumulates. Enlargement of the liver and spleen (hepatosplenomegaly) may cause reduced appetite, abdominal distension, and pain. Enlargement of the spleen (splenomegaly) may also cause low levels of platelets in the blood (thrombocytopenia).
Accumulation of sphingomyelin in the central nervous system (including the cerebellum) results in unsteady gait (ataxia), slurring of speech (dysarthria), and difficulty in swallowing (dysphagia). Basal ganglia dysfunction causes abnormal posturing of the limbs, trunk, and face (dystonia). Upper brainstem disease results in impaired voluntary rapid eye movements (supranuclear gaze palsy). More widespread disease involving the cerebral cortex and subcortical structures causes gradual loss of intellectual abilities, causing dementia and seizures.
Bones also may be affected: symptoms may include enlarged bone marrow cavities, thinned cortical bone, or a distortion of the hip bone called coxa vara. Sleep-related disorders, such as sleep inversion, sleepiness during the day and wakefulness at night, may occur. Gelastic cataplexy, the sudden loss of muscle tone when the affected patient laughs, also is seen.
Cause and genetics

Mutations in the SMPD1 gene cause Niemann–Pick disease types A and B. They produce a deficiency in the activity of the lysosomal enzyme acid sphingomyelinase, that breaks down the lipid sphingomyelin.[3]
Mutations in NPC1 or NPC2 cause Niemann–Pick disease, type C (NPC), which affects a protein used to transport lipids.[3]
Type D originally was separated from type C to delineate a group of patients with otherwise identical disorders who shared a common Nova Scotian ancestry. Patients in this group are known to share a specific mutation in the NPC1 gene, so NPC is used for both groups. Before the molecular defects were described, the terms "Niemann–Pick type I" and "Niemann–Pick type II" were proposed to separate the high- and low-sphingomyelin forms of the disease in the early 1980s.
Niemann–Pick disease is inherited in an autosomal recessive pattern, which means both copies, or alleles, of the gene must be defective to cause the disease. "Defective" means they are altered in a way that impairs their function. Most often, the parents of a child with an autosomal recessive disorder are carriers: they have one copy of the altered gene, but are not affected because the other copy produces the enzyme. If both parents are carriers, each pregnancy has a 25% chance of producing an affected child. Genetic counseling and genetic testing are recommended for families who may be carriers of Niemann–Pick.
Classification
- Niemann–Pick disease, SMPD1-associated, which includes types A and B
- Niemann–Pick disease type A: classic infantile
- Niemann–Pick disease type B: visceral
- Niemann–Pick disease, type C: subacute/juvenile, includes types C1 (95% of type C) and C2. Type C is the most common form of the disease[3] Type C2 is a rare form of the disease.[4]
Incidence
The incidence among Ashkenazi Jews is estimated to be about one in 40,000 for type A of Niemann–Pick disease.[3] The incidence of both Niemann–Pick disease types A and B in all other populations is estimated to be one in 250,000.[3] The incidence of Niemann–Pick disease type C is estimated to be one in 150,000.[3]
Pathophysiology

Niemann–Pick diseases are a subgroup of lipid storage disorders called sphingolipidoses in which harmful quantities of fatty substances, or lipids, accumulate in the spleen, liver, lungs, bone marrow, and brain.
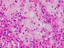
In the classic infantile type-A variant, a missense mutation causes complete deficiency of sphingomyelinase. Sphingomyelin is a component of cell membrane including the organellar membrane, so the enzyme deficiency blocks degradation of lipid, resulting in the accumulation of sphingomyelin within lysosomes in the macrophage-monocyte phagocyte lineage. Affected cells become enlarged, sometimes up to 90 μm in diameter, secondary to the distention of lysosomes with sphingomyelin and cholesterol. Histology shows lipid-laden macrophages in the marrow and "sea-blue histiocytes" on pathology. Numerous small vacuoles of relatively uniform size are created, giving the cytoplasm a foamy appearance.
Treatment
No specific treatment is known for type A, but symptoms are treated.
In adult patients with type B, physicians try to keep cholesterol levels down to normal levels. If statins are used, they monitor liver function. If the spleen is enlarged and platelet levels low, acute episodes of bleeding may require transfusions of blood products. If they have symptoms of interstitial lung disease, they may need oxygen.[5]
Anecdotally, organ transplant has been attempted with limited success. Future prospects include enzyme replacement and gene therapy. Bone marrow transplant has been tried for type B.[6]
In January 2009, Actelion announced the drug miglustat (Zavesca) had been approved in the European Union for the treatment of progressive neurological manifestations in adult patients and pediatric patients with NPC. The drug is available to patients in the United States on an experimental basis. In March 2010, the FDA requested additional preclinical and clinical information regarding Zavesca from Actelion before making a final decision on approving the drug in the United States for NPC.[7]
Prognosis
Type A Niemann–Pick disease (about 85% of cases)[8] has an extremely poor prognosis, with most cases being fatal by the age of 18 months.[9] Type B (adult onset) and type C (mutation affecting a different molecule) Niemann–Pick diseases have a better prognosis.[3]
History
Albert Niemann published the first description of what now is known as Niemann–Pick disease, type A, in 1914. Ludwig Pick described the pathology of the disease in a series of papers in the 1930s.[10][11][12]
In 1961, the classification of Niemann–Pick disease into types A, B, and C was introduced, and also contained a type D,[13][14] called the "Nova Scotian type". Genetic studies showed that type D is caused by the same gene as type C1, and the type D designation is no longer used.[3]
Research directions
Research has been ongoing to better understand the disease and treatments for it.
Pathology
Loss of myelin in the central nervous system is considered to be a main pathogenic factor. Research uses animal models carrying the underlying mutation for Niemann–Pick disease, e.g. a mutation in the NPC1 gene as seen in Niemann-Pick type C disease. In this model, the expression of myelin gene regulatory factor (MRF) has been shown to be significantly decreased.[15] MRF is a transcription factor of critical importance in the development and maintenance of myelin sheaths.[16] A perturbation of oligodendrocyte maturation and the myelination process might, therefore, be an underlying mechanism of the neurological deficits.[15]
In 2011, fibroblast cells derived from patients with Niemann-Pick type C1 disease were shown to be resistant to Ebola virus because of mutations in the NPC1 protein, which is needed for viral escape from the vesicular compartment.[17]
Other studies have unturned small molecules which inhibit the receptor and may be a potential therapeutic strategy.[18]
Treatments under investigation
Experimental use of arimoclomol
In 2014 the European Medicines Agency (EMA) granted orphan drug designation to arimoclomol for the treatment of Niemann-Pick type C.[19] This was followed in 2015 by the U.S. Food & Drug Administration (FDA).[20] Dosing in a placebo-controlled phase II/III clinical trial to investigate treatment for Niemann-Pick type C (for patients with both type C1 and C2) using arimoclomol began in 2016.[21]
Experimental use of 2-hydroxypropyl-β-cyclodextrin
Researchers at the University of Texas Southwestern Medical Center found, when Niemann–Pick type C mice were injected with 2-hydroxypropyl-β-cyclodextrin (HPbCD) when they were 7 days old, marked improvement in liver function tests, much less neurodegeneration, and, ultimately, significant prolongation of life occurred. These results suggest HPbCD acutely reverses the storage defect seen in NPC.[22]
In April 2011, the U.S. National Institutes of Health (NIH), in collaboration with the Therapeutics for Rare and Neglected Diseases Program (TRND),[23] announced they are developing a clinical trial using HPbCD for Niemann–Pick type C patients. The clinical trial is in the planning phase, not yet approved by the FDA.[24]
On September 20, 2011, the European Medicines Agency granted HPbCD orphan drug status and designated the compound as a potential treatment for type C Niemann–Pick disease.
See also
References
- ↑ "Niemann–Pick". Oxford English Dictionary (3rd ed.). Oxford University Press. September 2005. (Subscription or UK public library membership required.)
- ↑ James, William D.; Berger, Timothy G.; et al. (2006). Andrews' Diseases of the Skin: clinical Dermatology. Saunders Elsevier. p. 536. ISBN 0-7216-2921-0.
- 1 2 3 4 5 6 7 8 "Neimann-Pick Disease". Genetics Home Reference. NIH. January 2008. Retrieved 2 October 2012.
- ↑ Ierardi-Curto, Lynne (27 December 2012). "Sphingomyelinase Deficiency Treatment & Management". Medscape Reference: Drugs, Diseases & Procedures. Retrieved 22 June 2013.
|chapter=ignored (help) - ↑ Ierardi-Curto, Lynne (27 December 2012). "Sphingomyelinase Deficiency Treatment & Management". Medscape Reference: Drugs, Diseases & Procedures. Retrieved 22 June 2013.
|chapter=ignored (help) - ↑ Schuchman, Edward H.; Wasserstein, Melissa P. (2015). "Types A and B Niemann-Pick disease". Best Practice & Research Clinical Endocrinology & Metabolism. 29 (2): 237–247. doi:10.1016/j.beem.2014.10.002. ISSN 1521-690X.
- ↑ Actelion Press Release retrieved 10-31-2014
- ↑ Schwartz, Robert A. (25 April 2011). "Dermatologic Manifestations of Niemann–Pick Disease". Medscape.
- ↑ niemann at NINDS
- ↑ synd/1029 at Who Named It?
- ↑ Niemann, A. (1914). "Ein unbekanntes Krankheitsbild". Jahrbuch für Kinderheilkunde. Neue Folge. Berlin. 79: 1–10.
- ↑ Pick, L. (1926). "Der Morbus Gaucher und die ihm ähnlichen Krankheiten (die lipoidzellige Splenohepatomegalie Typus Niemann und die diabetische Lipoidzellenhypoplasie der Milz)". Ergebnisse der Inneren Medizin und Kinderheilkunde. Berlin. 29: 519–627.
- ↑ Crocker AC (April 1961). "The cerebral defect in Tay–Sachs disease and Niemann–Pick disease". Journal of Neurochemistry. 7: 69–80. doi:10.1111/j.1471-4159.1961.tb13499.x. PMID 13696518.
- ↑ Online Mendelian Inheritance in Man (OMIM) Niemann–Pick Disease, Type C1; NPC1 -257220
- 1 2 Yan, X.; Lukas, J.; Witt, M.; Wree, A.; Hubner, R.; Frech, M.; Kohling, R.; Rolfs, A.; Luo, J. (2011-09-23). "Decreased expression of myelin gene regulatory factor in Niemann-Pick type C 1 mouse". Metab Brain Dis. 26 (4): 299–306. doi:10.1007/s11011-011-9263-9. PMID 21938520.
- ↑ Koenning, Matthias; Jackson, Stacey; Hay, Curtis M.; Faux, Clare; Kilpatrick, Trevor J.; Willingham, Melanie; Emery, Ben (September 5, 2012). "Myelin Gene Regulatory Factor Is Required for Maintenance of Myelin and Mature Oligodendrocyte Identity in the Adult CNS". The Journal of Neuroscience. 32 (36): 12528–12542. doi:10.1523/JNEUROSCI.1069-12.2012. PMID 22956843.
- ↑ Carette JE, Raaben M, Wong AC, et al. (September 2011). "Ebola virus entry requires the cholesterol transporter Niemann-Pick C1". Nature. 477 (7364): 340–3. doi:10.1038/nature10348. PMC 3175325
. PMID 21866103. - ↑ Côté, Marceline; Misasi, John; Ren, Tao; Bruchez, Anna; Lee, Kyungae; Filone, Claire Marie; Hensley, Lisa; Li, Qi; Ory, Daniel; Chandran, Kartik; Cunningham, James (24 August 2011). "Small molecule inhibitors reveal Niemann–Pick C1 is essential for Ebola virus infection". Nature. 477 (7364): 344–348. doi:10.1038/nature10380. PMC 3230319
. PMID 21866101. - ↑ "European Medicines Agency - - EU/3/14/1376". www.ema.europa.eu.
- ↑ "Search Orphan Drug Designations and Approvals". www.accessdata.fda.gov.
- ↑ "Arimoclomol Prospective Study in Patients Diagnosed With NiemannPick Disease Type C - Full Text View - ClinicalTrials.gov". clinicaltrials.gov.
- ↑ Liu, Benny; et al. (2009). "Reversal of defective lysosomal transport in NPC disease ameliorates liver dysfunction and neurodegeneration in the npc1−/− mouse". Proc. Natl. Acad. Sci. U.S.A. 106 (7): 2377–82. doi:10.1073/pnas.0810895106. Cited in Chemical & Engineering News, 9 February 2009 p. 9
- ↑ "Therapeutics for Rare and Neglected Diseases Program". U.S. National Institutes of Health.
- ↑ Hempel, Chris (13 April 2011). "FDA Filing Made Requesting Use of Medtronic SynchroMed Pump To Deliver Cyclodextrin To Brain". Addi and Cassi blog. Retrieved 22 June 2013.
External links
| Wikimedia Commons has media related to Niemann–Pick disease. |
- niemann at NINDS
- National Niemann–Pick Disease Foundation (U.S.)
- Ara Parseghian Medical Research Foundation
- Niemann–Pick Disease Group (UK)
- Niemann–Pick Disease Group Canada
- Fight NPC, a website dedicated to providing information and resources on treating Niemann–Pick type C disease
- Clinical trial number NCT00344331 for "Evaluation of Biochemical Markers and Clinical Investigation of Niemann-Pick Disease, Type C" at ClinicalTrials.gov
- Genetics Home Reference on Niemann–Pick Disease
- Hide & Seek Foundation for Lysosomal Disease Research
- Detailed information about Niemann–Pick Type C for patients and Healthcare Professionals
- Pathology images and digital slides (HP:7983)
- This article incorporates public domain text from The U.S. National Library of Medicine