Olecranon fracture
| Olecranon fracture | |
|---|---|
![]() | |
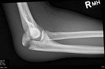
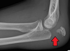
| Fracture of the olecranon | |
| Classification and external resources | |
| ICD-10 | Xxx.x |
| ICD-9-CM | xxx |
Olecranon fracture is a fracture of the bony portion of the elbow. The injury is fairly common and often occurs following a fall or direct trauma to the elbow. The olecranon is the proximal extremity of the ulna which is articulated with the humerus bone and constitutes a part of the elbow articulation. Its subcutaneous location makes it vulnerable to direct trauma. Powerful pull of the triceps muscle can also cause avulsion fractures.
Classifications
There are several classifications that describe different forms of olecranon fractures:
Mayo classification
Based on the stability, the displacement and the comminution of the fracture. It is composed of three types, and each type is divided in two subtypes: subtype A (non-comminuted) and subtype B (comminuted).
- Type I: Non-displaced fracture – It can be either non-comminuted ones (Type IA) or comminuted (Type IB).
- Type II: Displaced, stable fractures – In this pattern, the proximal fracture fragment is displaced more than 3 mm, but the collateral ligaments are intact. That is why there is no elbow instability. It can be either non-comminuted ones (Type IIA) or comminuted (Type IIB).
- Type III: Displaced instable fracture – In this case, the fracture fragments are displaced and the forearm is instable in relation to the humerus. It is a fracture -dislocation. It also may be either non-comminuted (Type IIIA) or comminuted (Type IIIB).
AO classification
This classification incorporates all fractures of the proximal ulna and radius into one group, subdivided into three patterns:
- Type A: Extra-articular fractures of the metadiaphysis of either the radius or the ulna
- Type B: Intra-articular fractures of either the radius or ulna
- Type C: Complex fractures of both the proximal radius and ulna
Signs and symptoms
People with olecranon fractures present with intense elbow pain after a direct blow or fall. Swelling over the bone site is seen and an inability to straighten the elbow is common. Examination brings out a palpable defect indicating a displaced fragment or a comminuted fracture.
Cause
Olecranon fractures are common. Typical causes include motor vehicle accidents, and falls. "Side-swipe" injury when driving a motor vehicle with an elbow projecting outside the vehicle resting on an open window's edge is an example.[1] Olecranon fractures usually occur without injury to other parts of the body, but can be part of a more complex elbow injury.
Direct trauma: This can happen in a fall with landing on the elbow or by being hit by a solid object. Trauma to the elbow often results in comminuted fractures of the olecranon.
Indirect trauma: by falling and landing with an outstretched arm.
Diagnosis

Frontal and lateral X-ray views of the elbow are typically done to investigate the possibility of an olecranon fracture. A standard lateral view of the elbow insufficient to diagnose olecranon fractures. A true lateral x-ray is essential to determine the fracture pattern, degree of displacement, comminution, and the degree of articular involvement.
Treatment

In fractures with little or no displacement, immobilization for 4 to 6 weeks may be sufficient, but other cases need surgery, using pins, wires for tension band wiring, screws only, or plates and screws.
Gallucci et al.[2] evaluated 28 patients with displaced olecranon fractures over the age of 70 years treated by early mobilization. Of these patients, 22 developed minimally symptomatic nonunion, with none requiring operative intervention. Patients had 15-140 degrees range of motion with an average pain score of 1/10. These authors concluded that non-surgical functional treatment was a reasonable treatment for elderly patients
Epidemiology
Olecranon fractures are rare in children, constituting only 5 to 7% of all elbow fractures. This is because in early life, olecranon is thick, short and much stronger than the lower extremity of the humerus.
However, olecranon fractures are a common injury in adults. This is partly due to its exposed position on the point of the elbow.
References
- ↑ Knapp, Kerry (2006). "The Elbow". In Hannon, Patrick; Knapp, Kerry. Forensic Biomechanics. Lawyers & Judges. pp. 243–8. ISBN 978-1-930056-27-5.
- ↑ Gallucci, G. L.; Piuzzi, N. S.; Slullitel, P. A. I.; Boretto, J. G.; Alfie, V. A.; Donndorff, A.; De Carli, P. (2014). "Non-surgical functional treatment for displaced olecranon fractures in the elderly". The Bone & Joint Journal. 96–B (4): 530–4. doi:10.1302/0301-620X.96B4.33339. PMID 24692623.
Further reading
- Carson, Sarah; Woolridge, Dale P.; Colletti, Jim; Kilgore, Kevin (2006). "Pediatric Upper Extremity Injuries". Pediatric Clinics of North America. 53 (1): 41–67, v. doi:10.1016/j.pcl.2005.10.003. PMID 16487784.
- Newman, S.D.S.; Mauffrey, C.; Krikler, S. (2009). "Olecranon fractures". Injury. 40 (6): 575–81. doi:10.1016/j.injury.2008.12.013. PMID 19394931.
- Veillette, Christian J.H.; Steinmann, Scott P. (2008). "Olecranon Fractures". Orthopedic Clinics of North America. 39 (2): 229–36, vii. doi:10.1016/j.ocl.2008.01.002. PMID 18374813.
- Olecranon Fractures at eMedicine
