Ollier disease

This article is about a disorder. For the French politician, see Patrick Ollier.
Ollier disease
Classification and external resources
Specialty medical genetics
ICD-10 Q78.4
ICD-9-CM 756.4
OMIM 166000
DiseasesDB 9212
eMedicine radio/247
MeSH D004687
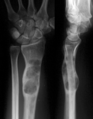
X-ray image showing enchondromas localized in the lower part of the radius of a 7-year-old girl with Ollier disease.
Enchondromas localized in the upper part of the humerus of the same patient

Ollier disease is a rare nonhereditary sporadic disorder where intraosseous benign cartilaginous tumors (enchondroma) develop close to growth plate cartilage. Prevalence is estimated at around 1 in 100,000.[1]

Eponyms

The disorder is named after French surgeon Louis Léopold Ollier.[2]

Clinical features

Nominally, the disease consists of multiple enchondromas which usually develop in childhood. The growth of these endochondromas usually stops after skeletal maturation.[3] The affected extremity is shortened (asymmetric dwarfism) and sometimes bowed due to epiphyseal fusion anomalies. Persons with Ollier disease are prone to breaking bones and normally have swollen, aching limbs.

Diagnosis

On radiographs, streaks of low density are seen projecting through the diaphyses into the epiphyses of the long bones, due to ectopic cartilage deposits. With age, the cartilage may calcify in the typical "snowflake" pattern.

Treatment

The deformities are managed surgically to preserve the function of the limb.[4]

Epidemiology

One person in every 100,000 is affected. Ollier disease is not normally diagnosed until toddler years because it is not very visible.

Associated conditions

Ollier disease carries a high risk of skeletal, visceral and brain malignancy which occurs in approximately 25% of patients. Regular systemic screening is recommended.[5] Juvenile granulosa cell tumour has been associated with the disease.[6] The incidence of secondary chondrosarcoma in Ollier disease is not known, but may be as high as 25%, pelvis and shoulder girdle being the commonest locations.[4] A related disorder called Maffucci syndrome named after Angelo Maffucci is characterized by enchondromas associated with multiple hemangiomas which usually occur in the hands and feet. Maffucci syndrome carries a higher risk for cancer.

Additional images

See also

References

  1. Silve C, Jüppner H (2006). "Ollier disease". Orphanet J Rare Dis. 1: 37. doi:10.1186/1750-1172-1-37. PMC 1592482Freely accessible. PMID 16995932.
  2. synd/1813 at Who Named It?
  3. Turek's orthopaedics principles and their application (6th ed.). Philadelphia: Lippincott Williams & Wilkins. 2005. p. 438. ISBN 9780781742986.
  4. 1 2 Lovell and Winter's pediatric orthopaedics. (3rd ed.). Philadelphia: Lippincott. 1990. ISBN 9780397509140.
  5. Walid MS, Troup EC (2008). "Cerebellar anaplastic astrocytoma in a teenager with Ollier disease". J Neurooncol. 89 (1): 59–62. doi:10.1007/s11060-008-9583-8. PMID 18414790.
  6. Stephen C. Rubin (2001). Ovarian cancer (2nd ed.). Philadelphia [u.a.]: Lippincott Williams and Wilkins. ISBN 9780781724081.
This article is issued from Wikipedia - version of the 11/4/2016. The text is available under the Creative Commons Attribution/Share Alike but additional terms may apply for the media files.