Oncocyte

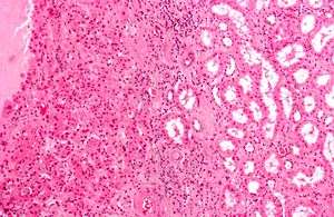
Oncocytes (left of image), as seen in a renal oncocytoma. H&E stain.
An oncocyte is an epithelial cell characterized by an excessive amount of mitochondria, resulting in an abundant acidophilic, granular cytoplasm. Oncocytes can be benign or can undergo malignancy.
Other names
Also known as:
- Hürthle cell (thyroid gland only)
- Oxyphilic cell,
- Askanazy cell,
- Apocrine metaplasia (breast gland only).
Etymology
Derived from the Greek root onco-, which means mass, bulk.
See also
- Oncocytoma, a tumour composed of oncocytes, may be found as a less common salivary gland neoplasm also known as Oxyphilic Adenoma.
- Renal oncocytoma, a kidney tumour composed of oncocytes.
- Hurthle cell carcinoma, a variant of follicular thyroid carcinoma).
External links
This article is issued from Wikipedia - version of the 12/31/2015. The text is available under the Creative Commons Attribution/Share Alike but additional terms may apply for the media files.