Ovarian serous cystadenoma
| Ovarian serous cystadenoma | |
|---|---|
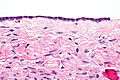
![]() | |
| Ovarian serous cystadenoma. The cystic space is at the top of the image. Ovarian parenchyma is seen at the bottom right. H&E stain. | |
| Classification and external resources | |
| ICD-O | 8442/1 |
| MeSH | D018293 |
Ovarian serous cystadenoma, also (less precisely) known as serous cystadenoma, is the most common ovarian neoplasm, representing 20% of ovarian neoplasms, and is benign.[1]
It has a very superficial resemblance to the most common type of ovarian cancer (serous carcinoma of the ovary) under the microscope; however, (1) it is virtually impossible to mix-up with its malignant counterpart (serous carcinoma), and (2) does not share genetic traits of indeterminate serous tumours, also called serous borderline tumours, that may transform into serous carcinoma.[2]
Serous cystadenomas (of the ovary) are not related to serous cystadenomas of the pancreas, i.e. the presence of an ovarian or pancreatic one does not suggest an increased risk for the other one.
Histopathology
Serous cystadenomas are diagnosed by histomorphologic examination, by pathologists. Grossly, they are, usually, unilocular cysts that contain clear, straw-coloured fluid. Microscopically, the cyst lining consists of a simple epithelium with cilia that may be columnar or flat.
Microscopical images
See also
References
- ↑ Human Reproduction. University of Utah Medpath http://library.med.utah.edu/kw/human_reprod/seminars/seminar4B2.html.
- ↑ Cheng, EJ.; Kurman, RJ.; Wang, M.; Oldt, R.; Wang, BG.; Berman, DM.; Shih, IeM. (Jun 2004). "Molecular genetic analysis of ovarian serous cystadenomas.". Lab Invest. 84 (6): 778–84. doi:10.1038/labinvest.3700103. PMID 15077125.






